免费电话:400-9961-933
邮箱:info@sabbiotech.com
欢迎光临本站
川博智能体 English
位置: 首页 > 多克隆抗体 > TKTL1 Antibody

TKTL1 Antibody#40152

是否有货: Yes
产品详情

产品名称TKTL1 Antibody

来源种属Rabbit

克隆性Polyclonal

纯化Antigen affinity purification.

应用IHC

种属反应性Human

特异性The antibody detects endogenous levels of total TKTL1 protein.

免疫原类型Protein

免疫原描述Fusion protein corresponding to residues near the C terminal of human transketolase-like 1

基因/蛋白名称TKTL1

标记Unconjugated

别名TKR; TKT2

数据库入口号Swiss-Prot:P51854
Gene Accssion:BC025382

Uniprot P51854

浓度2.2mg/ml

配方Rabbit IgG in pH7.4 PBS, 0.05% NaN3, 40% Glycerol.

保存Store at -20˚C

应用详情
Immunohistochemistry:1:30-1:150
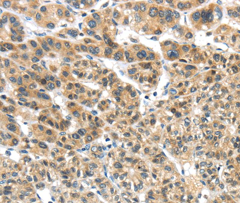
Immunohistochemical analysis of paraffin-embedded Human liver cancer tissue using #40152 at dilution 1/40.
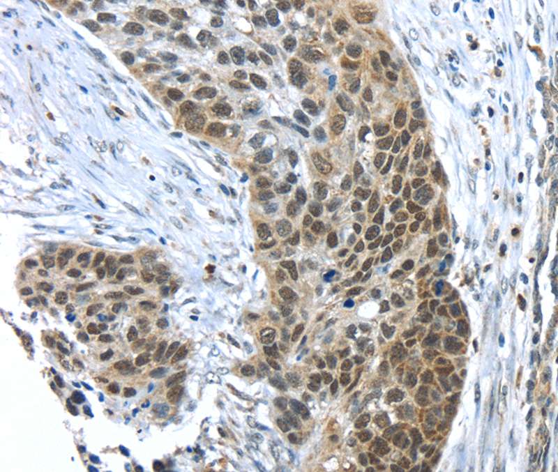
Immunohistochemical analysis of paraffin-embedded Human esophagus cancer tissue using #40152 at dilution 1/40.
The protein encoded by this gene is a transketolase that acts as a homodimer and catalyzes the conversion of sedoheptulose 7-phosphate and D-glyceraldehyde 3-phosphate to D-ribose 5-phosphate and D-xylulose 5-phosphate. This reaction links the pentose phosphate pathway with the glycolytic pathway. Variations in this gene may be the cause of Wernicke-Korsakoff syndrome. Three transcript variants encoding different isoforms have been found for this gene.

如果您使用该产品40152发表了文章,请通知我们,让我们可以引用您的文献。

et al,Single-Cell RNA Sequencing Reveals an Atlas of Meihua Pig Testis Cells. , (2025),
PMID: 40076035

注释

应用

  • WB免疫印迹
  • IHC免疫组化
  • IF免疫荧光
  • ICC免疫细胞化学
  • FC流式细胞
  • IP免疫沉淀
  • E酶联免疫吸附法
  • DB免疫斑点法
  • ChIP染色质免疫沉淀
  • GICA胶体金免疫层析法
  • NC阴性对照

种属反应性

  • Hu
  • Ms小鼠
  • Rt大鼠
  • Dm果蝇
  • C线虫
  • Mk
  • Rb
  • B
  • D
  • P
  • Hm仓鼠
  • ChHm中国仓鼠
  • Chk
;

联系我们

Location :

南京市高新开发区星火路10号人才大厦C座

Phone :

400-9961-933
025-58868422

Email Address

info@sabbiotech.com