免费电话:400-9961-933
邮箱:info@sabbiotech.com
欢迎光临本站
川博智能体 English
位置: 首页 > 多克隆抗体 > REG4 Antibody

REG4 Antibody#40321

是否有货: Yes
产品详情

产品名称REG4 Antibody

来源种属Rabbit

克隆性Polyclonal

纯化Antigen affinity purification.

应用IHC

种属反应性Human

特异性The antibody detects endogenous levels of total REG4 protein.

免疫原类型Protein

免疫原描述Fusion protein corresponding to residues near the C terminal of human regenerating islet-derived family, member 4

基因/蛋白名称REG4

标记Unconjugated

别名GISP; RELP; REG-IV

数据库入口号Swiss-Prot:Q9BYZ8
Gene Accssion:BC017089

Uniprot Q9BYZ8

浓度1.4mg/ml

配方Rabbit IgG in pH7.4 PBS, 0.05% NaN3, 40% Glycerol.

保存Store at -20˚C

应用详情
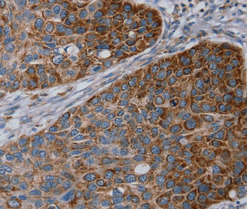
Immunohistochemistry:1:10-1:50
Immunohistochemical analysis of paraffin-embedded Human esophagus cancer tissue using #40321 at dilution 1/25.
Calcium-independent lectin displaying mannose-binding specificity and able to maintain carbohydrate recognition activity in an acidic environment. May be involved in inflammatory and metaplastic responses of the gastrointestinal epithelium.

如果您使用该产品40321发表了文章,请通知我们,让我们可以引用您的文献。

et al,Colorectal cancer patients-derived immunity-organoid platformunveils cancer-specific tissue markers associated withimmunotherapy resistance. In Cell Death Dis on 2024 Dec 4 by A Esposito, A Agostini,et al..PMID:39632825 , (2024),
PMID: 39632825

注释

应用

  • WB免疫印迹
  • IHC免疫组化
  • IF免疫荧光
  • ICC免疫细胞化学
  • FC流式细胞
  • IP免疫沉淀
  • E酶联免疫吸附法
  • DB免疫斑点法
  • ChIP染色质免疫沉淀
  • GICA胶体金免疫层析法
  • NC阴性对照

种属反应性

  • Hu
  • Ms小鼠
  • Rt大鼠
  • Dm果蝇
  • C线虫
  • Mk
  • Rb
  • B
  • D
  • P
  • Hm仓鼠
  • ChHm中国仓鼠
  • Chk
;

联系我们

Location :

南京市高新开发区星火路10号人才大厦C座

Phone :

400-9961-933
025-58868422

Email Address

info@sabbiotech.com