免费电话:400-9961-933
邮箱:info@sabbiotech.com
欢迎光临本站
川博智能体 English
位置: 首页 > 多克隆抗体 > CFAP45 Antibody

CFAP45 Antibody#40364

是否有货: Yes
产品详情

产品名称CFAP45 Antibody

来源种属Rabbit

克隆性Polyclonal

纯化Antigen affinity purification.

应用IHC

种属反应性Human

特异性The antibody detects endogenous levels of total CFAP45 protein.

免疫原类型Peptide

免疫原描述Synthetic peptide corresponding to residues near the N terminal of human cilia and flagella associated protein 45

基因/蛋白名称CFAP45

标记Unconjugated

别名NESG1; CCDC19

数据库入口号Swiss-Prot:Q9UL16
Gene Accssion:NP_036469

Uniprot Q9UL16

浓度1.5mg/ml

配方Rabbit IgG in pH7.4 PBS, 0.05% NaN3, 40% Glycerol.

保存Store at -20˚C

应用详情
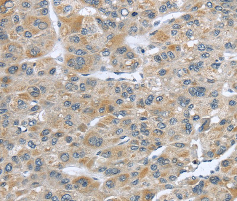
Immunohistochemistry:1:25-1:100
Immunohistochemical analysis of paraffin-embedded Human liver cancer tissue using #40364 at dilution 1/25.
CCDC19 is a 466 amino acid protein encoded by a gene mapping to human chromosome 1. Chromosome 1 is the largest human chromosome, spanning about 260 million base pairs and making up 8% of the human genome. There are about 3,000 genes on chromosome 1 and, considering the great number of genes, there are also a large number of diseases associated with chromosome 1. Notably, the rare aging disease Hutchinson-Gilford progeria is associated with the LMNA gene which encodes Lamin A. When defective, the LMNA gene product can build up in the nucleus and cause characteristic nuclear blebs. The mechanism of rapidly enhanced aging is unclear and is a topic of continuing exploration. The MUTYH gene is located on chromosome 1 and is partially responsible for familial adenomatous polyposis. Stickler syndrome, Parkinson¡¯s, Gaucher disease and Usher syndrome are also associated with chromosome 1.

如果您使用该产品40364发表了文章,请通知我们,让我们可以引用您的文献。

et al,E3 ubiquitin ligase Smurf1 promotes cardiomyocyte pyroptosis by mediating ubiquitin-dependent degradation of TRIB2 in a rat model of heart failure , (2025),
PMID: 39749701

注释

应用

  • WB免疫印迹
  • IHC免疫组化
  • IF免疫荧光
  • ICC免疫细胞化学
  • FC流式细胞
  • IP免疫沉淀
  • E酶联免疫吸附法
  • DB免疫斑点法
  • ChIP染色质免疫沉淀
  • GICA胶体金免疫层析法
  • NC阴性对照

种属反应性

  • Hu
  • Ms小鼠
  • Rt大鼠
  • Dm果蝇
  • C线虫
  • Mk
  • Rb
  • B
  • D
  • P
  • Hm仓鼠
  • ChHm中国仓鼠
  • Chk
;

联系我们

Location :

南京市高新开发区星火路10号人才大厦C座

Phone :

400-9961-933
025-58868422

Email Address

info@sabbiotech.com