免费电话:400-9961-933
邮箱:info@sabbiotech.com
欢迎光临本站
川博智能体 English
位置: 首页 > 多克隆抗体 > PRELP antibody

PRELP antibody#40410

是否有货: Yes
产品详情

产品名称PRELP antibody

来源种属Rabbit

克隆性Polyclonal

纯化Antigen affinity purification

应用WB, IHC

种属反应性Human;Mouse;Rat

免疫原描述Fusion protein of human PRELP

基因/蛋白名称PRELP

标记Unconjugated

别名MST161; SLRR2A; MSTP161

数据库入口号NCBI Protein#:BC032498

Uniprot P51888

Gene ID 5549

计算分子量44 kDa

浓度0.9mg/ml

配方pH7.4 PBS, 0.05% NaN3, 40% Glycerol

保存Store at -20˚C/1 year

应用详情
WB dilution:1:500-1:2000
IHC dilution:1:100-1:300
Gel: 8%SDS-PAGE, Lysate: 40 μg, Lane: Mouse heart tissue lysate, Primary antibody:PRELP Antibody at dilution 1/900, Secondary antibody: Goat anti rabbit IgG at 1/5000 dilution, Exposure time: 1 minute
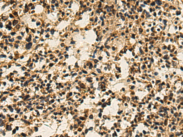
The image is immunohistochemistry of paraffin-embedded Human ovarian cancer tissue using (PRELP Antibody) at dilution 1/120.
The protein encoded by this gene is a leucine-rich repeat protein present in connective tissue extracellular matrix. This protein functions as a molecule anchoring basement membranes to the underlying connective tissue. This protein has been shown to bind type I collagen to basement membranes and type II collagen to cartilage. It also binds the basement membrane heparan sulfate proteoglycan perlecan. This protein is suggested to be involved in the pathogenesis of Hutchinson-Gilford progeria (HGP), which is reported to lack the binding of collagen in basement membranes and cartilage. Alternatively spliced transcript variants encoding the same protein have been observed. [provided by RefSeq, Jul 2008]

如果您使用该产品40410发表了文章,请通知我们,让我们可以引用您的文献。

et al,PRELP inhibits colorectal cancer progression by suppressing epithelial-mesenchymal transition and angiogenesis via the inactivation of the FGF1/PI3K/AKT pathway. In Apoptosis on 2024 Sep 6 by Xiaoqing Li, Zhongxiang Jiang,et al..PMID:39242474 , (2024),
PMID: 39242474
et al,Molecular Imaging of B7–H3–Targeting Bispecific T Cell–Engaging Antibody MGD009 in Glioblastoma Models , (2025),
PMID: 40183579

注释

应用

  • WB免疫印迹
  • IHC免疫组化
  • IF免疫荧光
  • ICC免疫细胞化学
  • FC流式细胞
  • IP免疫沉淀
  • E酶联免疫吸附法
  • DB免疫斑点法
  • ChIP染色质免疫沉淀
  • GICA胶体金免疫层析法
  • NC阴性对照

种属反应性

  • Hu
  • Ms小鼠
  • Rt大鼠
  • Dm果蝇
  • C线虫
  • Mk
  • Rb
  • B
  • D
  • P
  • Hm仓鼠
  • ChHm中国仓鼠
  • Chk
;

联系我们

Location :

南京市高新开发区星火路10号人才大厦C座

Phone :

400-9961-933
025-58868422

Email Address

info@sabbiotech.com