免费电话:400-9961-933
邮箱:info@sabbiotech.com
欢迎光临本站
川博智能体 English
位置: 首页 > 多克隆抗体 > Cleaved Caspase-3 p17 Polyclonal Antibody

Cleaved Caspase-3 p17 Polyclonal Antibody#40500

是否有货: 有货
产品详情

产品名称Cleaved Caspase-3 p17 Polyclonal Antibody

来源种属Rabbit

克隆性Polyclonal

纯化The antibody was affinity-purified from rabbit antiserum by affinity-chromatography using epitope-specific immunogen.

应用WB;IHC;IF

种属反应性Human;Mouse;Rat

特异性Cleaved-Caspase-3 p17 (D175) Polyclonal Antibody detects endogenous levels of fragment of activated Caspase-3 p17 protein resulting from cleavage adjacent to D175.

免疫原描述Synthesized peptide derived from the Internal region of human Caspase-3 p17.

基因/蛋白名称Cleaved-Caspase-3 p17

标记Unconjugated

别名CASP3; CPP32; Caspase-3; CASP-3; Apopain; Cysteine protease CPP32; CPP-32; Protein Yama; SREBP cleavage activity 1; SCA-1

数据库入口号Swiss-Prot: P42574
NCBI Gene ID: 836

Uniprot P42574

计算分子量32 kDa

实际分子量17 kDa

浓度1mg/ml

配方Liquid in PBS containing 50% glycerol, 0.5% BSA and 0.02% sodium azide.

保存Store at -20˚C/1 year

应用详情

Western Blot: 1/500 - 1/2000.
Immunohistochemistry: 1/100 - 1/300.
Immunofluorescence: 1:100~1:200 
Not yet tested in other applications.

Western Blot analysis of 293 cells using Cleaved-Caspase-3 p17 (D175) Polyclonal Antibody
Immunofluorescence staining of methanol-fixed Human lung cancer cells using Cleaved Caspase-3 p17 Polyclonal Antibody.
Immunofluorescence staining of methanol-fixed Mouse liver cells using Cleaved Caspase-3 p17 Polyclonal Antibody.
Immunofluorescence staining of methanol-fixed Rat liver cells using Cleaved Caspase-3 p17 Polyclonal Antibody.
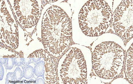
Immunohistochemistry of paraffin-embedded Rat-testis tissue using Cleaved Caspase-3 p17 Polyclonal Antibody.
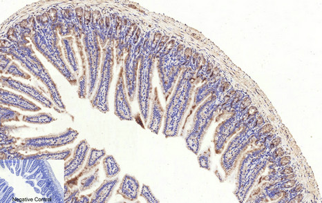
Immunohistochemistry of paraffin-embedded Mouse-colon tissue using Cleaved Caspase-3 p17 Polyclonal Antibody.
Immunohistochemistry of paraffin-embedded Human-lung tissue using Cleaved Caspase-3 p17 Polyclonal Antibody.

如果您使用该产品40500发表了文章,请通知我们,让我们可以引用您的文献。

et al,Baicalin induces cellular senescence in human colon cancer cells via upregulation of DEPP and the activation of Ras/Raf/MEK/ERK signaling.Incell Death Dis. On 2018 Feb 13 by Wang Z, Ma L et al..PMID:29440765 , (2018),
PMID: 29440765
et al,Neuronal SH2B1 attenuates apoptosis in an MPTP mouse model of Parkinson's disease via promoting PLIN4 degradation. In Redox Biol on 2022 Jun by Xiaojuan Han, Yuan Liu, et al..PMID: 35390677 , (2022),
PMID: 35390677
et al,BDNF-TrkB/proBDNF-p75NTR pathway regulation by lipid emulsion rescues bupivacaine-induced central neurotoxicity in ratsInSci RepOn2023;byDanting Jia,#1?Fang Wang et al..PMID:?37884604 , (2023),
PMID: 37884604

注释

应用

  • WB免疫印迹
  • IHC免疫组化
  • IF免疫荧光
  • ICC免疫细胞化学
  • FC流式细胞
  • IP免疫沉淀
  • E酶联免疫吸附法
  • DB免疫斑点法
  • ChIP染色质免疫沉淀
  • GICA胶体金免疫层析法
  • NC阴性对照

种属反应性

  • Hu
  • Ms小鼠
  • Rt大鼠
  • Dm果蝇
  • C线虫
  • Mk
  • Rb
  • B
  • D
  • P
  • Hm仓鼠
  • ChHm中国仓鼠
  • Chk
;

联系我们

Location :

南京市高新开发区星火路10号人才大厦C座

Phone :

400-9961-933
025-58868422

Email Address

info@sabbiotech.com