免费电话:400-9961-933
邮箱:info@sabbiotech.com
欢迎光临本站
川博智能体 English
位置: 首页 > 多克隆抗体 > Caspase-8 Polyclonal Antibody

Caspase-8 Polyclonal Antibody#40674

是否有货: 有货
产品详情

产品名称Caspase-8 Polyclonal Antibody

来源种属Rabbit

克隆性Polyclonal

纯化The antibody was affinity-purified from rabbit antiserum by affinity-chromatography using epitope-specific immunogen.

应用WB;IHC;IF;ELISA

种属反应性Human;Mouse;Rat

特异性Caspase-8 Polyclonal Antibody detects endogenous levels of Caspase-8 protein.

免疫原类型peptide

免疫原描述Synthesized peptide derived from human Caspase-8 around the non-phosphorylation site of S347.

基因/蛋白名称Caspase-8

标记Unconjugated

别名CASP8; MCH5; Caspase-8; CASP-8; Apoptotic cysteine protease; Apoptotic protease Mch-5; CAP4; FADD-homologous ICE/ced-3-like protease; FADD-like ICE; FLICE; ICE-like apoptotic protease 5; MORT1-associated ced-3 homolog; MACH

数据库入口号Swiss-Prot: Q14790
NCBI Gene ID: 841

Uniprot Q14790

计算分子量55kDa

实际分子量55kDa

浓度1mg/ml

配方Liquid in PBS containing 50% glycerol, 0.5% BSA and 0.02% sodium azide.

保存Store at -20˚C/1 year

应用详情
WB 1:2000-1:10000; IHC 1:1000-1:4000; IF 1:200-1:1000; ELISA 1:5000-1:20000;
Western Blot analysis of extracts from various cell lines using Caspase-8 Polyclonal Antibody.
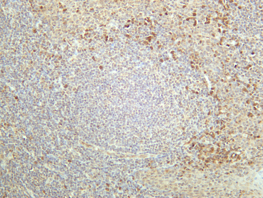
Immunohistochemical analysis of paraffin-embedded Human tonsil tissue using Caspase-8 Polyclonal Antibody.
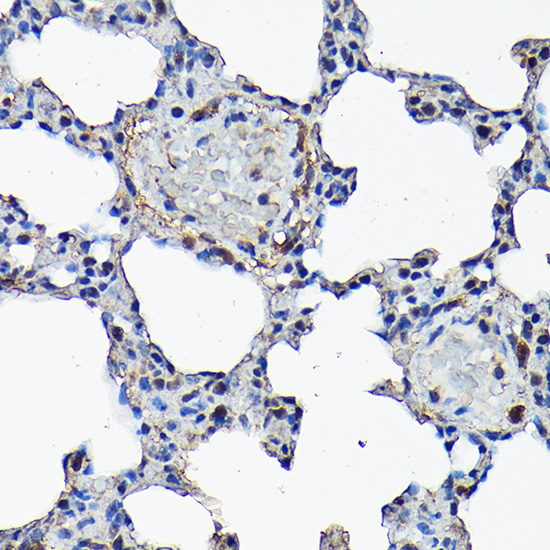
Immunohistochemical analysis of paraffin-embedded Rat lung tissue using Caspase-8 Polyclonal Antibody.
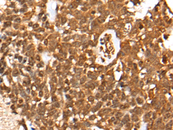
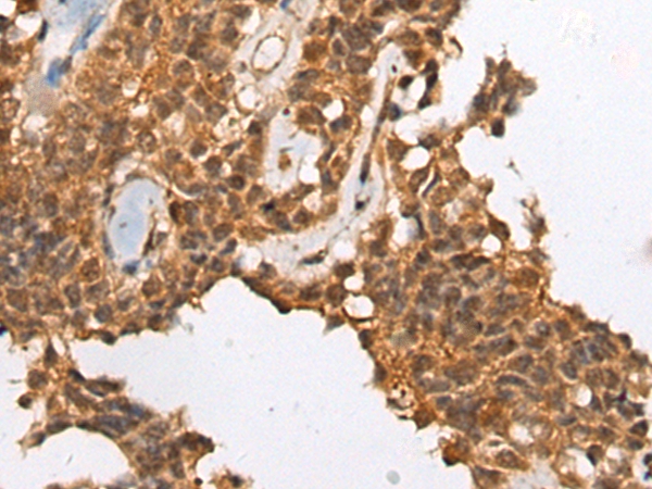
Immunohistochemical analysis of paraffin-embedded Human thyroid cancer tissue using Caspase-8 Polyclonal Antibody.
Immunohistochemical analysis of paraffin-embedded Human ovarian cancer tissue using Caspase-8 Polyclonal Antibody.
Immunofluorescence analysis of HeLa cells using Caspase-8 Polyclonal Antibody.Blue: DAPI for nuclear staining.
Immunofluorescence analysis of HepG2 cells using Caspase-8 Polyclonal Antibody.Blue: DAPI for nuclear staining.
Immunofluorescence analysis of NIH/3T3 cells using Caspase-8 Polyclonal Antibody.Blue: DAPI for nuclear staining.

如果您使用该产品40674发表了文章,请通知我们,让我们可以引用您的文献。

et al,Apoptosis sensitization by Euphorbia factor L1 in ABCB1-mediated multidrug resistant K562/ADR cells. In Molecules on 2013 Oct 16 by Tao Yi, Yi-Na Tang, et al..PMID: 24135937 , (2013),
PMID: 24135937
et al,Harmine Hydrochloride Triggers G2 Phase Arrest and Apoptosis in MGC锟?03 Cells and SMMC锟?721 Cells by Upregulating p21, Activating Caspase锟?/Bid, and Downregulating ERK/Bad Pathway.In Phytother Res on 2016 Jan by Peng Zhang , Chun-Rong Huang et al..PMID: 26549417 , (2016),
PMID: 26549417
et al,Differential apoptosis gene expressions of rhabdomyosarcoma cells in response to enterovirus 71 infection.In BMC Infect Dis on 2012 Nov 28 by Shi W, Li X,et al..PMID:23191987 , (2012),
PMID: 23191987
et al,BAD overexpression inhibits cell growth and induces apoptosis via mitochondrial-dependent pathway in non-small cell lung cancer.In Cancer Cell Int on 2013 Jun 1 by Jiang L, Luo M, et al..PMID:23725574 , (2013),
PMID: 23725574

注释

应用

  • WB免疫印迹
  • IHC免疫组化
  • IF免疫荧光
  • ICC免疫细胞化学
  • FC流式细胞
  • IP免疫沉淀
  • E酶联免疫吸附法
  • DB免疫斑点法
  • ChIP染色质免疫沉淀
  • GICA胶体金免疫层析法
  • NC阴性对照

种属反应性

  • Hu
  • Ms小鼠
  • Rt大鼠
  • Dm果蝇
  • C线虫
  • Mk
  • Rb
  • B
  • D
  • P
  • Hm仓鼠
  • ChHm中国仓鼠
  • Chk
;

联系我们

Location :

南京市高新开发区星火路10号人才大厦C座

Phone :

400-9961-933
025-58868422

Email Address

info@sabbiotech.com