免费电话:400-9961-933
邮箱:info@sabbiotech.com
欢迎光临本站
川博智能体 English
位置: 首页 > 多克隆抗体 > Caspase-9 Polyclonal Antibody

Caspase-9 Polyclonal Antibody#40675

是否有货: 有货
产品详情

产品名称Caspase-9 Polyclonal Antibody

来源种属Rabbit

克隆性Polyclonal

纯化The antibody was affinity-purified from rabbit antiserum by affinity-chromatography using epitope-specific immunogen.

应用WB;IHC;IF;ELISA

种属反应性Human;Mouse;Rat

特异性Caspase-9 Polyclonal Antibody detects endogenous levels of Caspase-9 protein.

免疫原类型peptide

免疫原描述Synthesized peptide derived from human Caspase-9 around the non-phosphorylation site of T125.

基因/蛋白名称Caspase-9

标记Unconjugated

别名CASP9; MCH6; Caspase-9; CASP-9; Apoptotic protease Mch-6; Apoptotic protease-activating factor 3; APAF-3; ICE-like apoptotic protease 6; ICE-LAP6

数据库入口号Swiss-Prot: P55211
NCBI Gene ID: 842

Uniprot P55211

计算分子量17kDa/30kDa/36kDa/46kDa

实际分子量46kDa

浓度1mg/ml

配方Liquid in PBS containing 50% glycerol, 0.5% BSA and 0.02% sodium azide.

保存Store at -20˚C/1 year

应用详情
Western Blot: 1/500 - 1/2000.
Immunohistochemistry: 1/100 - 1/300.
Immunofluorescence: 1/200 - 1/1000.
ELISA: 1/5000.
Not yet tested in other applications.
Western Blot analysis of extracts from 3T3 cells using Caspase-9 Polyclonal Antibody.
Western Blot analysis of extracts from L929 cells, rat-muscle, mouse-brain and rat-kidney using Caspase-9 Polyclonal Antibody.
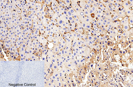
Immunohistochemistry of paraffin-embedded Human liver cancer tissue using Caspase-9 Polyclonal Antibody.
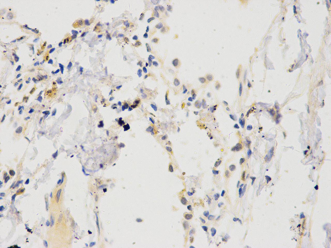
Immunohistochemistry of paraffin-embedded Mouse kidney tissue using using Caspase-9 Polyclonal Antibody.
Immunofluorescence analysis of C6 cells using Caspase-9 Polyclonal Antibody .
Immunofluorescence analysis of U-2 OS cells using Caspase-9 Polyclonal Antibody at dilution of 1:100.
Immunofluorescence analysis of NIH/3T3 cells using Caspase-9 Polyclonal Antibody at dilution of 1:100.

如果您使用该产品40675发表了文章,请通知我们,让我们可以引用您的文献。

et al,Quercetin induces apoptosis via the mitochondrial pathway in KB and KBv200 cells.In J Agric Food Chem on 2013 Mar 6 by Zhang JY, Yi T,et al..PMID:23410218 , (2013),
PMID: 23410218
et al,Apoptosis sensitization by Euphorbia factor L1 in ABCB1-mediated multidrug resistant K562/ADR cells. In Molecules on 2013 Oct 16 by Tao Yi, Yi-Na Tang, et al..PMID: 24135937 , (2013),
PMID: 24135937
et al,Sulforaphane鈥恑nduced apoptosis in X uanwei lung adenocarcinoma cell line XWLC锟?5.In Thorac Cancer on 2017 Jan by Lan Zhou, Qian Yao,et al..PMID: 27878984 , (2017),
PMID: 27878984
et al,miR-137 and miR-197 induce apoptosis and suppress tumorigenicity by targeting MCL-1 in multiple myeloma.In Clin Cancer Res on 2015 May 15 by Yijun Yang , Fei Li et al..PMID:25724519 , (2015),
PMID: 25724519
et al,Harmine Hydrochloride Triggers G2 Phase Arrest and Apoptosis in MGC锟?03 Cells and SMMC锟?721 Cells by Upregulating p21, Activating Caspase锟?/Bid, and Downregulating ERK/Bad Pathway.In Phytother Res on 2016 Jan by Peng Zhang , Chun-Rong Huang et al..PMID: 26549417 , (2016),
PMID: 26549417
et al,Exosomes released from mesenchymal stem cells overexpressing microRNA-30e ameliorate heart failure in rats with myocardial infarction. In Am J Transl Res on 2021 May 15 by Lianmei Pu, Xiangyun Kong,et al..PMID:34149995 , (2021),
PMID: 34149995
et al,Xinyin tablets affect mitophagy and cardiomyocyte apoptosis to alleviate chronic heart failure by regulating histone deacetylase 3(HDAC3)-mediated PTEN induced putative kinase 1(PINK1)/Parkin signaling pathway. , (2025),
PMID: 40122315
查看更多
et al,Bruceine D induces apoptosis in human chronic myeloid leukemia K562 cells via mitochondrial pathway.In Am J Cancer Res on 2016 Mar 15 by Jian-Ye Zhang, Min-Ting Lin et al..PMID: 27186433 , (2016),
PMID: 27186433

注释

应用

  • WB免疫印迹
  • IHC免疫组化
  • IF免疫荧光
  • ICC免疫细胞化学
  • FC流式细胞
  • IP免疫沉淀
  • E酶联免疫吸附法
  • DB免疫斑点法
  • ChIP染色质免疫沉淀
  • GICA胶体金免疫层析法
  • NC阴性对照

种属反应性

  • Hu
  • Ms小鼠
  • Rt大鼠
  • Dm果蝇
  • C线虫
  • Mk
  • Rb
  • B
  • D
  • P
  • Hm仓鼠
  • ChHm中国仓鼠
  • Chk
;

联系我们

Location :

南京市高新开发区星火路10号人才大厦C座

Phone :

400-9961-933
025-58868422

Email Address

info@sabbiotech.com