免费电话:400-9961-933
邮箱:info@sabbiotech.com
欢迎光临本站
川博智能体 English
位置: 首页 > 多克隆抗体 > EGFR Polyclonal Antibody

EGFR Polyclonal Antibody#40868

是否有货: 有货
产品详情

产品名称EGFR Polyclonal Antibody

来源种属Rabbit

克隆性Polyclonal

纯化The antibody was affinity-purified from rabbit antiserum by affinity-chromatography using epitope-specific immunogen.

应用WB;IHC;IF;ELISA

种属反应性Human;Mouse;Rat

特异性EGFR Polyclonal Antibody detects endogenous levels of EGFR protein.

免疫原类型peptide

免疫原描述Synthesized peptide derived from human EGFR around the non-phosphorylation site of Y869.

基因/蛋白名称EGFR

标记Unconjugated

别名EGFR; ERBB; ERBB1; HER1; Epidermal growth factor receptor; Proto-oncogene c-ErbB-1; Receptor tyrosine-protein kinase erbB-1

数据库入口号Swiss-Prot: P00533
NCBI Gene ID: 1956

Uniprot P00533

计算分子量134 kDa

实际分子量175 kDa

浓度1mg/ml

配方Liquid in PBS containing 50% glycerol, 0.5% BSA and 0.02% sodium azide.

保存Store at -20˚C/1 year

应用详情
Western Blot: 1/500 - 1/2000.
Immunohistochemistry: 1/100 - 1/300.
Immunofluorescence: 1/200 - 1/1000.
ELISA: 1/10000.
Not yet tested in other applications.
Western Blot analysis of HUVEC and AD293 cells using EGFR Polyclonal Antibody.
Immunohistochemistry analysis of paraffin-embedded human breast carcinoma tissue using EGFR Antibody. The picture on the right is blocked with the synthesized peptide.
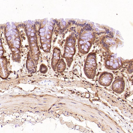
Immunohistochemical analysis of paraffin-embedded Mouse intestine, using the Antibody at 1:100 dilution.
Immunohistochemical analysis of paraffin-embedded Rat stomach, using the Antibody at 1:100 dilution.
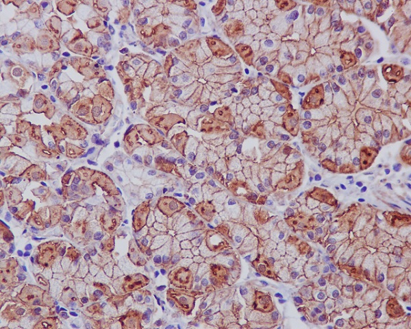
Immunohistochemical analysis of paraffin-embedded human stomach cancer, using EGFR (ErbB 1) Antibody.
Immunofluorescence staining of Hela cells using EGFR (ErbB 1) Antibody.

如果您使用该产品40868发表了文章,请通知我们,让我们可以引用您的文献。

et al,Identification of biomarkers associated with synovitis in rheumatoid arthritis by bioinformatics analyses. In Biosci Rep on 2020 Sep 30 by Zhaoyan Li, Meng Xu, et al..PMID: 32840301 , (2020),
PMID: 32840301
et al,A thiazole-derived oridonIn analogue exhibits antitumor activity by directly and allosterically InhibitIng STAT3. In J Biol Chem on 2019 Nov 15;by Shen X, Zhao L,et al..PMID:31594861 , (2019),
PMID: 31594861
et al,Renal Cell Carcinoma With Synchronous Ipsilateral Urothelial Carcinoma of the Renal Pelvis.In Oncol Lett on 2017 Jun by Qun Lu , Junlong Zhuang,et al..PMID: 28588718 , (2017),
PMID: 28588718

注释

应用

  • WB免疫印迹
  • IHC免疫组化
  • IF免疫荧光
  • ICC免疫细胞化学
  • FC流式细胞
  • IP免疫沉淀
  • E酶联免疫吸附法
  • DB免疫斑点法
  • ChIP染色质免疫沉淀
  • GICA胶体金免疫层析法
  • NC阴性对照

种属反应性

  • Hu
  • Ms小鼠
  • Rt大鼠
  • Dm果蝇
  • C线虫
  • Mk
  • Rb
  • B
  • D
  • P
  • Hm仓鼠
  • ChHm中国仓鼠
  • Chk
;

联系我们

Location :

南京市高新开发区星火路10号人才大厦C座

Phone :

400-9961-933
025-58868422

Email Address

info@sabbiotech.com