免费电话:400-9961-933
邮箱:info@sabbiotech.com
欢迎光临本站
川博智能体 English
位置: 首页 > 多克隆抗体 > ERK2 Polyclonal Antibody

ERK2 Polyclonal Antibody#40904

是否有货: 有货
产品详情

产品名称ERK2 Polyclonal Antibody

来源种属Rabbit

克隆性Polyclonal

纯化The antibody was affinity-purified from rabbit antiserum by affinity-chromatography using epitope-specific immunogen.

应用WB;IHC;IF;ELISA

种属反应性Human;Mouse;Rat

特异性ERK 2 Polyclonal Antibody detects endogenous levels of ERK 2 protein.

免疫原描述Synthesized peptide derived from the Internal region of human ERK 2.

基因/蛋白名称ERK 2

标记Unconjugated

别名MAPK1; ERK2; PRKM1; PRKM2; Mitogen-activated protein kinase 1; MAP kinase 1; MAPK 1; ERT1; Extracellular signal-regulated kinase 2; ERK-2; MAP kinase isoform p42; p42-MAPK; Mitogen-activated protein kinase 2; MAP kinase 2; MAPK 2

数据库入口号Swiss-Prot: P28482
NCBI Gene ID: 5594

Uniprot P28482

计算分子量41kDa

实际分子量42kDa

浓度1mg/ml

配方Liquid in PBS containing 50% glycerol, 0.5% BSA and 0.02% sodium azide.

保存Store at -20˚C/1 year

应用详情

Western Blot: 1/500 - 1/2000.
Immunohistochemistry: 1/100 - 1/300.
Immunofluorescence: 1/200 - 1/1000.
ELISA: 1/5000.
Not yet tested in other applications.

Western Blot analysis of Hela and MCF7 cells using ERK2 Polyclonal Antibody.
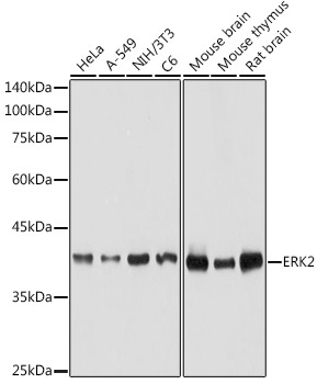
Western blot analysis of extracts from various cell lines using ERK2 Polyclonal Antibody.
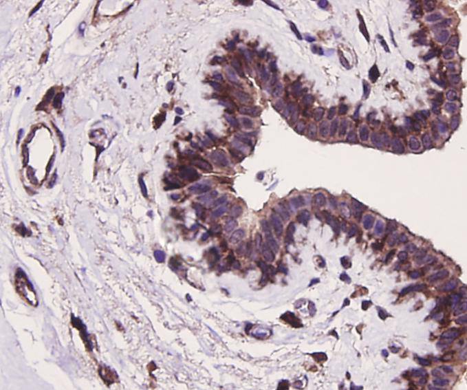
Immunohistochemical analysis of paraffin-embedded Human esophagus cancer tissue using ERK2 Polyclonal Antibody.
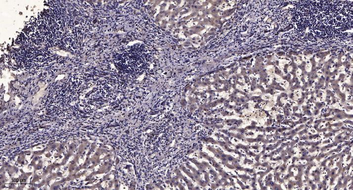
Immunohistochemical analysis of paraffin-embedded human liver cancer tissue using ERK2 Polyclonal Antibody.
Immunohistochemical analysis of paraffin-embedded Mouse liver tissue using ERK2 Polyclonal Antibody.
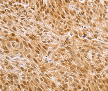
Immunohistochemical analysis of paraffin-embedded human breast carcinoma tissue using ERK2 Polyclonal Antibody.
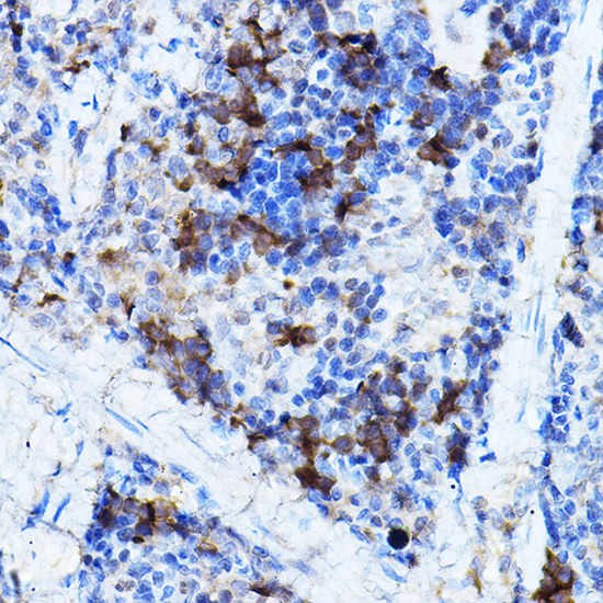
Immunohistochemical analysis of paraffin-embedded rat spleen tissue using ERK2 Polyclonal Antibody.
Immunofluorescence analysis of C6 cells using ERK2 Polyclonal Antibody(red). Blue: DAPI for nuclear staining..
Immunofluorescence analysis of NIH-3T3 cells using ERK2 Polyclonal Antibody(red). Blue: DAPI for nuclear staining..
Immunofluorescence analysis of U2OS cells using ERK2 Polyclonal Antibody(red). Blue: DAPI for nuclear staining..
Immunofluorescence analysis of MCF7 cells using ERK2 Polyclonal Antibody(red). Blue: DAPI for nuclear staining..

如果您使用该产品40904发表了文章,请通知我们,让我们可以引用您的文献。

et al,Adipocytes affect castration-resistant prostate cancer cells to develop the resistance to cytotoxic action of NK cells with alterations of PD-L1/NKG2D ligand levels in tumor cells.In Prostate.On 2018 Apr by Xu L, Shen M et al..PMID: 29330929 , (2018),
PMID: 29330929

注释

应用

  • WB免疫印迹
  • IHC免疫组化
  • IF免疫荧光
  • ICC免疫细胞化学
  • FC流式细胞
  • IP免疫沉淀
  • E酶联免疫吸附法
  • DB免疫斑点法
  • ChIP染色质免疫沉淀
  • GICA胶体金免疫层析法
  • NC阴性对照

种属反应性

  • Hu
  • Ms小鼠
  • Rt大鼠
  • Dm果蝇
  • C线虫
  • Mk
  • Rb
  • B
  • D
  • P
  • Hm仓鼠
  • ChHm中国仓鼠
  • Chk
;

联系我们

Location :

南京市高新开发区星火路10号人才大厦C座

Phone :

400-9961-933
025-58868422

Email Address

info@sabbiotech.com