免费电话:400-9961-933
邮箱:info@sabbiotech.com
欢迎光临本站
川博智能体 English
位置: 首页 > 多克隆抗体 > GSK3 alpha/beta Polyclonal Antibody

GSK3 alpha/beta Polyclonal Antibody#40988

是否有货: 有货
产品详情

产品名称GSK3 alpha/beta Polyclonal Antibody

来源种属Rabbit

克隆性Polyclonal

纯化The antibody was affinity-purified from rabbit antiserum by affinity-chromatography using epitope-specific immunogen.

应用WB;IHC;IF;IP;ELISA

种属反应性Human;Mouse;Rat

特异性GSK3α/β Polyclonal Antibody detects endogenous levels of GSK3α/β protein.

免疫原类型peptide

免疫原描述Synthesized peptide derived from human GSK3α/β around the non-phosphorylation site of Y279/216.

基因/蛋白名称GSK3α/β

标记Unconjugated

别名GSK3A; Glycogen synthase kinase-3 alpha; GSK-3 alpha; Serine/threonine-protein kinase GSK3A; GSK3B; Glycogen synthase kinase-3 beta; GSK-3 beta; Serine/threonine-protein kinase GSK3B

数据库入口号Swiss-Prot: P49840/P49841
NCBI Gene ID: 2931

Uniprot P49840/P49841

计算分子量46,51kDa

实际分子量46,51kDa

浓度1mg/ml

配方Liquid in PBS containing 50% glycerol, 0.5% BSA and 0.02% sodium azide.

保存Store at -20˚C/1 year

应用详情
WB 1:2000-1:10000; IHC 1:400-1:800; IF 1:200-1:1000; ELISA 1:5000-1:20000; IP 1:50-1:200;
Western Blot analysis of extracts from Hela and Jurkat cells using GSK3 alpha/beta Antibody.
Western Blot analysis of extracts from 293 cells using GSK3 alpha/beta Antibody.
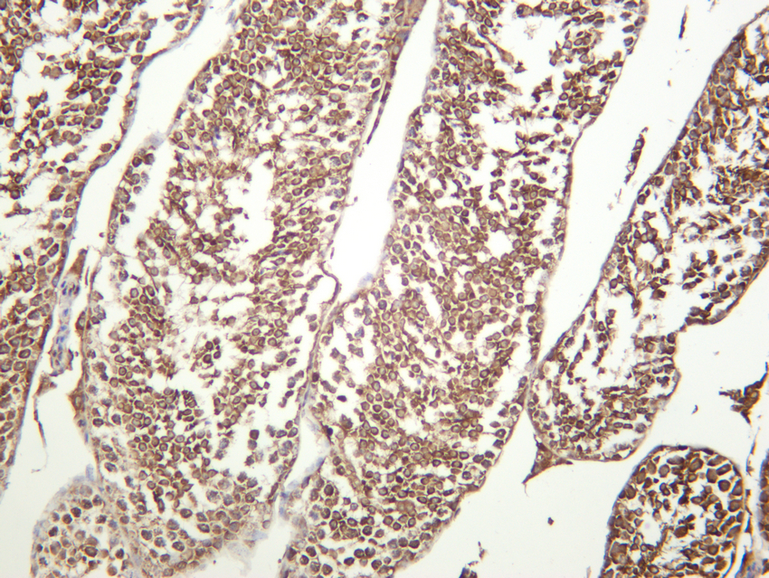
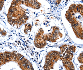
Immunohistochemical analysis of paraffin-embedded Human colon cancer tissue using GSK3 alpha/beta Antibody.
Immunohistochemical analysis of paraffin-embedded Human ovarian cancer tissue using GSK3 alpha/beta Antibody.
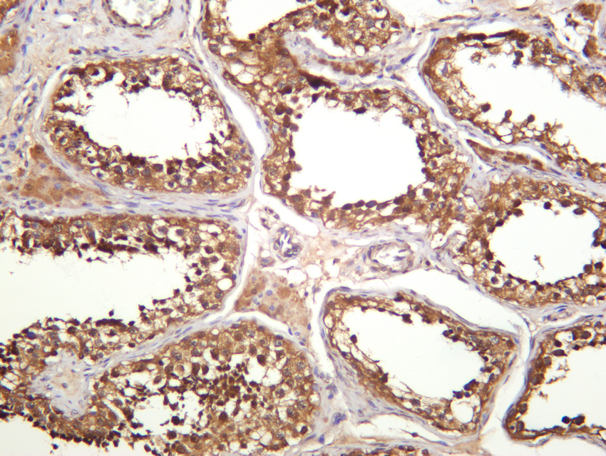
Immunohistochemical analysis of paraffin-embedded Mouse testis tissue using GSK3 alpha/beta Antibody.
Immunohistochemical analysis of paraffin-embedded Human testis tissue using GSK3 alpha/beta Antibody.
Immunohistochemical analysis of paraffin-embedded human breast carcinoma tissue using GSK3 alpha/beta Antibody(left) or the same antibody preincubated with blocking peptide(right).
Immunofluorescence analysis of HEK293 using GSK3 alpha/beta Antibody.Picture A: Target (red). Picture B: DAPI (blue). Picture C: Merge of A+B

如果您使用该产品40988发表了文章,请通知我们,让我们可以引用您的文献。

et al,GSK-3β activation accelerates early-stage consumption of Hippocampal Neurogenesis in senescent mice. In Theranostics on 2020 Aug 1 by Fei Liu, Na Tian,et al..PMID:32863953 , (2020),
PMID: 32863953
et al,Effect of electrical stimulation combIned with diet therapy on InsulIn resistance via mTOR signalIng. In Mol Med Rep on 2019 Dec by Huang S, Tang N, et al..PMID:31702811 , (2019),
PMID: 31702811

注释

应用

  • WB免疫印迹
  • IHC免疫组化
  • IF免疫荧光
  • ICC免疫细胞化学
  • FC流式细胞
  • IP免疫沉淀
  • E酶联免疫吸附法
  • DB免疫斑点法
  • ChIP染色质免疫沉淀
  • GICA胶体金免疫层析法
  • NC阴性对照

种属反应性

  • Hu
  • Ms小鼠
  • Rt大鼠
  • Dm果蝇
  • C线虫
  • Mk
  • Rb
  • B
  • D
  • P
  • Hm仓鼠
  • ChHm中国仓鼠
  • Chk
;

联系我们

Location :

南京市高新开发区星火路10号人才大厦C座

Phone :

400-9961-933
025-58868422

Email Address

info@sabbiotech.com