免费电话:400-9961-933
邮箱:info@sabbiotech.com
欢迎光临本站
川博智能体 English
位置: 首页 > 多克隆抗体 > HIF1A Polyclonal Antibody

HIF1A Polyclonal Antibody#41005

是否有货: 有货
产品详情

产品名称HIF1A Polyclonal Antibody

来源种属Rabbit

克隆性Polyclonal

纯化The antibody was affinity-purified from rabbit antiserum by affinity-chromatography using epitope-specific immunogen.

应用WB;IHC;IF;IP;ELISA

种属反应性Human;Mouse;Rat

特异性HIF-1α Polyclonal Antibody detects endogenous levels of HIF-1α protein.

免疫原描述Synthesized peptide derived from the Internal region of human HIF-1α

基因/蛋白名称HIF-1α

标记Unconjugated

别名HIF1A; BHLHE78; MOP1; PASD8; Hypoxia-inducible factor 1-alpha; HIF-1-alpha; HIF1-alpha; ARNT-interacting protein; Basic-helix-loop-helix-PAS protein MOP1; Class E basic helix-loop-helix protein 78; bHLHe78; Member of PAS protein 1; PAS doma

数据库入口号Swiss-Prot: Q16665
NCBI Gene ID: 3091

Uniprot Q16665

计算分子量93kDa

实际分子量110-120KD

浓度1mg/ml

配方Liquid in PBS containing 50% glycerol, 0.5% BSA and 0.02% sodium azide.

保存Store at -20˚C/1 year

应用详情
WB 1:500-1:2000; IHC 1:100-1:300; IF 1:50-200; ELISA 1:40000; IP 1:50-1:200
Western blot analysis of extracts from HeLa cells treated with CoCl2 (100 μM) at 37℃ for 4 hours using HIF1A Polyclonal Antibody.
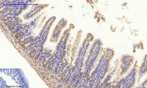
Immunohistochemical analysis of paraffin-embedded Mouse colon tissue using HIF1A Polyclonal Antibody.Negative control was used by secondary antibody only.
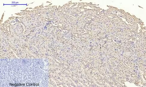
Immunohistochemical analysis of paraffin-embedded Rat kidney tissue using HIF1A Polyclonal Antibody.Negative control was used by secondary antibody only.
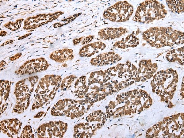
Immunohistochemical analysis of paraffin-embedded Human esophagus cancer tissue using HIF1A Polyclonal Antibody.
Immunohistochemical analysis of paraffin-embedded Human brain tissue using HIF1A Polyclonal Antibody.

如果您使用该产品41005发表了文章,请通知我们,让我们可以引用您的文献。

et al,Heparanase released from mesenchymal stem cells activates integrin beta1/HIF锟?alpha/F lk锟? signaling and promotes endothelial cell migration and angiogenesis.In Stem Cells on 2015 Jun by Xinyang Hu , Ling Zhang et al..PMID:25754303 , (2015),
PMID: 25754303
et al,H2O2 treatment or serum deprivation induces autophagy and apoptosis in naked mole-rat skin fibroblasts by inhibiting the PI3K/Akt signaling pathway.In Oncotarget on 2016 Dec 20 by Shanmin Zhao, Li Li et al..PMID:27863375 , (2016),
PMID: 27863375
et al,Regulatory circuit of PKM2/NF-魏B/miR-148a/152-modulated tumor angiogenesis and cancer progression. In Oncogene on 2015 Oct by Q Xu, L-Z Liu,et al..PMID:25703326 , (2015),
PMID: 25703326
et al,Ferroptosis related genes participate in the pathogenesis of spinal cord injury via HIF-1 signaling pathwayInBrain Res BullOn2023 JanbyHaoru Dong 1, Chi Zhang et al..PMID: 36414158 , (2023),
PMID: 36414158
et al,Iridium nanozyme-mediated photoacoustic imaging-guided NIR-II photothermal therapy and tumor microenvironment regulation for targeted eradication of cancer stem cellsInActa BiomaterOn2023 DecbyYuying Yao , Zhuangzhuang Zhao et al..PMID:37852456 , (2023),
PMID: 37852456
et al,Multifunctional manganese-based nanogels catalyze immune energy metabolism to promote bone repair , (2025),
PMID:
et al,Biodegradable iridium coordinated nanodrugs potentiate photodynamic therapy and immunotherapy of lung cancer. , (2025),
PMID: 39488900
查看更多
et al,FGL1-mediated lymph node metastasis in stage T1 non-small cell lung cancer: therapeutic targeting , (2025),
PMID: 41024301

注释

应用

  • WB免疫印迹
  • IHC免疫组化
  • IF免疫荧光
  • ICC免疫细胞化学
  • FC流式细胞
  • IP免疫沉淀
  • E酶联免疫吸附法
  • DB免疫斑点法
  • ChIP染色质免疫沉淀
  • GICA胶体金免疫层析法
  • NC阴性对照

种属反应性

  • Hu
  • Ms小鼠
  • Rt大鼠
  • Dm果蝇
  • C线虫
  • Mk
  • Rb
  • B
  • D
  • P
  • Hm仓鼠
  • ChHm中国仓鼠
  • Chk
;

联系我们

Location :

南京市高新开发区星火路10号人才大厦C座

Phone :

400-9961-933
025-58868422

Email Address

info@sabbiotech.com