免费电话:400-9961-933
邮箱:info@sabbiotech.com
欢迎光临本站
川博智能体 English
位置: 首页 > 多克隆抗体 > IL-1β Polyclonal Antibody

IL-1β Polyclonal Antibody#41059

是否有货: 有货
产品详情

产品名称IL-1β Polyclonal Antibody

来源种属Rabbit

克隆性Polyclonal

纯化The antibody was affinity-purified from rabbit antiserum by affinity-chromatography using epitope-specific immunogen.

应用WB IHC ELISA IF(paraffin section)

种属反应性Human;Mouse;Rat

特异性IL-1β Polyclonal Antibody detects endogenous levels of IL-1β protein.

免疫原描述Synthesized peptide derived from the Internal region of human IL-1β.

基因/蛋白名称IL-1β

标记Unconjugated

别名IL1B; IL1F2; Interleukin-1 beta; IL-1 beta; Catabolin

数据库入口号Swiss-Prot: P01584
NCBI Gene ID: 3553

Uniprot P01584

实际分子量17KD

浓度1mg/ml

配方Liquid in PBS containing 50% glycerol, 0.5% BSA and 0.02% sodium azide.

保存Store at -20˚C/1 year

应用详情

Western Blot: 1/500 - 1/2000.
Immunohistochemistry: 1/100 - 1/300.
ELISA: 1/5000.
Not yet tested in other applications.

Western blot analysis of lysate from THP-1/ Mouse brain/Mouse liver , using IL1B Antibody.
Immunofluorescence analysis of THP-1 cells using IL-1β antibody.
Immunohistochemical analysis of paraffin-embedded Rat-lung tissue.
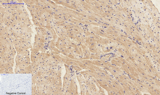
Immunohistochemical analysis of paraffin-embedded Mouse-heart tissue.
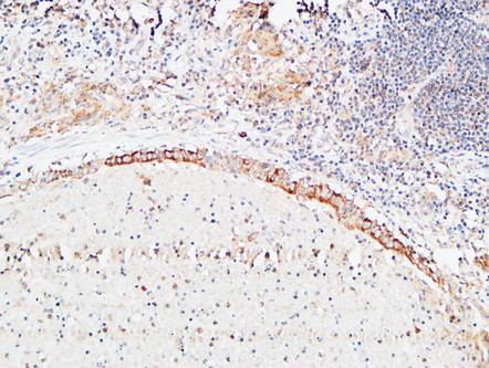
Immunohistochemical analysis of paraffin-embedded Human lung.

如果您使用该产品41059发表了文章,请通知我们,让我们可以引用您的文献。

et al,Inhibition of airway remodeling and inflammation by isoforskolin in PDGF-induced rat ASMCs and OVA-induced rat asthma model.In Biomed Pharmacother on 2017 Nov by Xin Liang, Jingjing Wang,et al..PMID: 28850927 , (2017),
PMID: 28850927
et al,Artemisinin Improved Neuronal Functions in Alzheimer's Disease Animal Model 3xtg Mice and Neuronal Cells via Stimulating the ERK/CREB Signaling Pathway. In Aging Dis on 2020 Jul 23 by Xia Zhao, Shuai Li,et al..PMID:32765947 , (2020),
PMID: 32765947
et al,Zinc-metal-organic frameworks with tunable UV diffuse-reflectance as sunscreens , (2022),
PMID: 35183191
et al,Dapagliflozin attenuates skeletal muscle atrophy in diabetic nephropathy mice through suppressing Gasdermin D-mediated pyroptosis. , (2025),
PMID: 39837016
et al,Lipopolysaccharide aggravating anaphylactoid reactions caused by traditional Chinese Medicine injections via p38/ERK/NF-κB signaling pathways. , (2025),
PMID: 39419299
et al,Adenosine A1 receptor agonist alleviates cerebral ischemia/reperfusion injury by inhibiting Nrf2/NLRP3 signaling‑mediated pyroptosis. , (2025),
PMID: 40162050
et al,mRNA-LNP hydrogels promote skeletal muscle regeneration in situ , (2025),
PMID: 40997951

注释

应用

  • WB免疫印迹
  • IHC免疫组化
  • IF免疫荧光
  • ICC免疫细胞化学
  • FC流式细胞
  • IP免疫沉淀
  • E酶联免疫吸附法
  • DB免疫斑点法
  • ChIP染色质免疫沉淀
  • GICA胶体金免疫层析法
  • NC阴性对照

种属反应性

  • Hu
  • Ms小鼠
  • Rt大鼠
  • Dm果蝇
  • C线虫
  • Mk
  • Rb
  • B
  • D
  • P
  • Hm仓鼠
  • ChHm中国仓鼠
  • Chk
;

联系我们

Location :

南京市高新开发区星火路10号人才大厦C座

Phone :

400-9961-933
025-58868422

Email Address

info@sabbiotech.com