免费电话:400-9961-933
邮箱:info@sabbiotech.com
欢迎光临本站
川博智能体 English
位置: 首页 > 多克隆抗体 > NFkB-p100 Polyclonal Antibody

NFkB-p100 Polyclonal Antibody#41224

是否有货: 有货
产品详情

产品名称NFkB-p100 Polyclonal Antibody

来源种属Rabbit

克隆性Polyclonal

纯化The antibody was affinity-purified from rabbit antiserum by affinity-chromatography using epitope-specific immunogen.

应用WB;IHC;IP;IF;ELISA

种属反应性Human;Mouse;Rat

特异性NFκB-p100 Polyclonal Antibody detects endogenous levels of NFκB-p100 protein.

免疫原类型peptide

免疫原描述Synthesized peptide derived from human NFκB-p100 around the non-phosphorylation site of S869.

基因/蛋白名称NFκB-p100

标记Unconjugated

别名NFKB2; LYT10; Nuclear factor NF-kappa-B p100 subunit; DNA-binding factor KBF2; H2TF1; Lymphocyte translocation chromosome 10 protein; Nuclear factor of kappa light polypeptide gene enhancer in B-cells 2; Oncogene Lyt-10; Lyt10

数据库入口号Swiss-Prot: Q00653
NCBI Gene ID: 4791

Uniprot Q00653

计算分子量97kDa

实际分子量110-120kDa

浓度1mg/ml

配方Liquid in PBS containing 50% glycerol, 0.5% BSA and 0.02% sodium azide.

保存Store at -20˚C/1 year

应用详情
WB 1:500-1:2000; IHC 1:100-1:300; IF 1:50-300; IP 2-5ug/mg lysate; ELISA 1:20000;
Western Blot analysis of extracts from HT29 and SKOV3 cells using NFkB-p100 Antibody.
Western Blot analysis of extracts from Jurkat cells using NFkB-p100 Antibody.
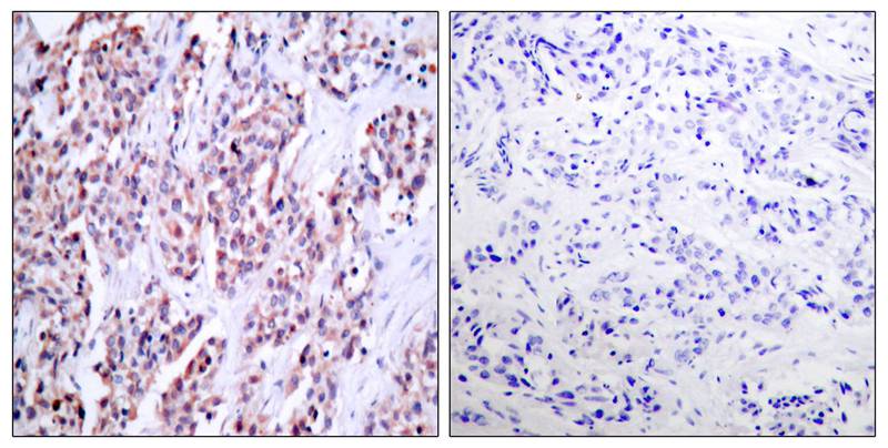
Immunohistochemical analysis of paraffin-embedded human breast carcinoma tissue using NFkB-p100 Antibody(left) or the same antibody preincubated with blocking peptide(right).
Immunohistochemical analysis of paraffin-embedded Human prostate cancer tissue using NFkB-p100 Antibody.
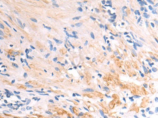
Immunohistochemical analysis of paraffin-embedded Human breast tissue using NFkB-p100 Antibody.
Immunohistochemical analysis of paraffin-embedded Mouse testis tissue using NFkB-p100 Antibody.
Immunofluorescence staining of methanol-fixed U2OS cells using NFkB-p100 Antibody(green).The nuclear counter stain is DAPI (blue).
Immunofluorescence analysis of HEK293 using NFkB-p100 Antibody.Picture A: Target (red). Picture B: DAPI (blue). Picture C: Merge of A+B

如果您使用该产品41224发表了文章,请通知我们,让我们可以引用您的文献。

et al,Single-cell analysis reveals the immune heterogeneity and interactions in lungs undergoing hepatic ischemia-reperfusionInInt ImmunopharmacolOn2023 NovbyChen Zhang1,Mingwei Sheng2, et al..PMID:37844464 , (2023),
PMID: 37844464

注释

应用

  • WB免疫印迹
  • IHC免疫组化
  • IF免疫荧光
  • ICC免疫细胞化学
  • FC流式细胞
  • IP免疫沉淀
  • E酶联免疫吸附法
  • DB免疫斑点法
  • ChIP染色质免疫沉淀
  • GICA胶体金免疫层析法
  • NC阴性对照

种属反应性

  • Hu
  • Ms小鼠
  • Rt大鼠
  • Dm果蝇
  • C线虫
  • Mk
  • Rb
  • B
  • D
  • P
  • Hm仓鼠
  • ChHm中国仓鼠
  • Chk
;

联系我们

Location :

南京市高新开发区星火路10号人才大厦C座

Phone :

400-9961-933
025-58868422

Email Address

info@sabbiotech.com