免费电话:400-9961-933
邮箱:info@sabbiotech.com
欢迎光临本站
川博智能体 English
位置: 首页 > 多克隆抗体 > PDGFR-β Polyclonal Antibody

PDGFR-β Polyclonal Antibody#41327

是否有货: 有货
产品详情

产品名称PDGFR-β Polyclonal Antibody

来源种属Rabbit

克隆性Polyclonal

纯化The antibody was affinity-purified from rabbit antiserum by affinity-chromatography using epitope-specific immunogen.

应用WB IHC IF ELISA

种属反应性Human;Mouse;Rat

特异性PDGFR-β Polyclonal Antibody detects endogenous levels of PDGFR-β protein.

免疫原类型peptide

免疫原描述Synthesized peptide derived from human PDGFR-β around the non-phosphorylation site of Y751.

基因/蛋白名称PDGFR-β

标记Unconjugated

别名PDGFRB; PDGFR; PDGFR1; Platelet-derived growth factor receptor beta; PDGF-R-beta; PDGFR-beta; Beta platelet-derived growth factor receptor; Beta-type platelet-derived growth factor receptor; CD140 antigen-like family member B; Platelet-deri

数据库入口号Swiss-Prot: P09619
NCBI Gene ID: 5159

Uniprot P09619

实际分子量124kd

浓度1mg/ml

配方Liquid in PBS containing 50% glycerol, 0.5% BSA and 0.02% sodium azide.

保存Store at -20˚C/1 year

应用详情
Western Blot: 1/500 - 1/2000.
Immunohistochemistry: 1/100 - 1/300.
Immunofluorescence: 1/200 - 1/1000.
ELISA: 1/40000.
Not yet tested in other applications.
Western blot analysis of PDGFR beta expression in SP2/0 (A), H9C2 (B), PC12 (C) whole cell lysates.
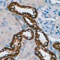
Immunohistochemical analysis of PDGFR beta staining in rat kidney formalin fixed paraffin embedded tissue section. The section was pre-treated using heat mediated antigen retrieval with sodium citrate buffer (pH 6.0).
Immunofluorescent analysis of PDGFR beta staining in NIH3T3 cells. Formalin-fixed cells were permeabilized with 0.1% Triton X-100 in TBS for 5-10 minutes and blocked with 3% BSA-PBS for 30 minutes at room temperature. Cells were probed with the primary antibody in 3% BSA-PBS and incubated overnight at 4 °C in a humidified chamber. Cells were washed with PBST and incubated with a AF594-conjugated secondary antibody (red) in PBS at room temperature in the dark. DAPI was used to stain the cell nuclei (blue).

如果您使用该产品41327发表了文章,请通知我们,让我们可以引用您的文献。

et al,Cancer-associated fibroblasts promote lymphatic metastasis in cholangiocarcinoma via the PDGF-BB/PDGFR-β mediated paracrine signaling network. In Aging Dis on 2024 Feb 1 by Jian Yan, Gang Xiao,et al..PMID:37307823 , (2024),
PMID: 37307823
et al,ROS-responsive injectable hydrogels loaded with exosomes carrying miR-4500 reverse liver fibrosis. , (2025),
PMID: 39405826

注释

应用

  • WB免疫印迹
  • IHC免疫组化
  • IF免疫荧光
  • ICC免疫细胞化学
  • FC流式细胞
  • IP免疫沉淀
  • E酶联免疫吸附法
  • DB免疫斑点法
  • ChIP染色质免疫沉淀
  • GICA胶体金免疫层析法
  • NC阴性对照

种属反应性

  • Hu
  • Ms小鼠
  • Rt大鼠
  • Dm果蝇
  • C线虫
  • Mk
  • Rb
  • B
  • D
  • P
  • Hm仓鼠
  • ChHm中国仓鼠
  • Chk
;

联系我们

Location :

南京市高新开发区星火路10号人才大厦C座

Phone :

400-9961-933
025-58868422

Email Address

info@sabbiotech.com