免费电话:400-9961-933
邮箱:info@sabbiotech.com
欢迎光临本站
川博智能体 English
位置: 首页 > 多克隆抗体 > PTEN Polyclonal Antibody

PTEN Polyclonal Antibody#41367

是否有货: 有货
产品详情

产品名称PTEN Polyclonal Antibody

来源种属Rabbit

克隆性Polyclonal

纯化The antibody was affinity-purified from rabbit antiserum by affinity-chromatography using epitope-specific immunogen.

应用WB;IHC;IF;ELISA

种属反应性Human;Mouse;Rat

特异性PTEN Polyclonal Antibody detects endogenous levels of PTEN protein.

免疫原类型peptide

免疫原描述Synthesized peptide derived from human PTEN around the non-phosphorylation site of S385.

基因/蛋白名称PTEN

标记Unconjugated

别名PTEN; MMAC1; TEP1; Phosphatidylinositol 3; 4,5-trisphosphate 3-phosphatase and dual-specificity protein phosphatase PTEN; Mutated in multiple advanced cancers 1; Phosphatase and tensin homolog

数据库入口号Swiss-Prot: P60484
NCBI Gene ID: 5728

Uniprot P60484

计算分子量47kDa

实际分子量54kDa

浓度1mg/ml

配方Liquid in PBS containing 50% glycerol, 0.5% BSA and 0.02% sodium azide.

保存Store at -20˚C/1 year

应用详情
Western Blot: 1/500 - 1/2000.
Immunohistochemistry: 1/100 - 1/300.
Immunofluorescence: 1/200 - 1/1000.
ELISA: 1/40000.
Not yet tested in other applications.
Western Blot analysis of extracts from Hela cells using PTEN Polyclonal Antibody.
Western Blot analysis of extracts from L929, COLO, 293T, Hela and Mouse brain cells using PTEN Polyclonal Antibody.
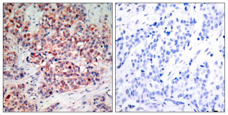
Immunohistochemical analysis of paraffin-embedded human breast carcinoma tissue using PTEN Polyclonal Antibody(left) or the same antibody preincubated with blocking peptide(right).
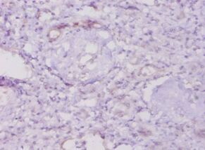
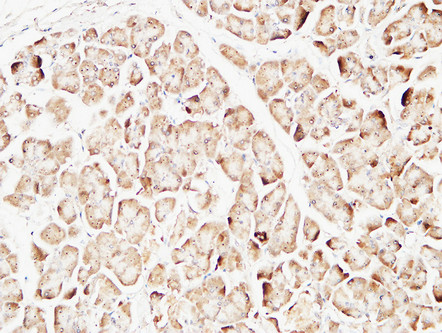
Immunohistochemical analysis of paraffin-embedded Human pancreas using PTEN Polyclonal Antibody.
Immunohistochemical analysis of paraffin-embedded human kidney using PTEN Polyclonal Antibody.
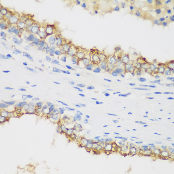
Immunohistochemical analysis of paraffin-embedded human prostate using PTEN Polyclonal Antibody.
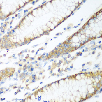
Immunohistochemical analysis of paraffin-embedded human stomach using PTEN Polyclonal Antibody.
Immunofluorescence staining of methanol-fixed Human panreas using PTEN Polyclonal Antibody.
Immunofluorescence staining of methanol-fixed HEK293 cells using PTEN Polyclonal Antibody.Picture A: PTEN antibody (red). Picture B: DAPI (blue). Picture C: Merge of A+B
Immunofluorescence staining of methanol-fixed human lung tissue using PTEN Polyclonal Antibody.Picture A:Target. Picture B: DAPI. Picture C: merge of A+B
Immunofluorescence staining of methanol-fixed rat spleen tissue using PTEN Polyclonal Antibody.Picture A:Target. Picture B: DAPI. Picture C: merge of A+B
Immunofluorescence analysis of U2OS cells using PTEN Polyclonal Antibody.Blue: DAPI for nuclear staining.

如果您使用该产品41367发表了文章,请通知我们,让我们可以引用您的文献。

et al,Inhibition of miRNA?21 attenuates the proliferation and metastasis of human osteosarcoma by upregulating PTEN.In Exp Ther Med.On 2018 Jan by Li C, Xu B et al..PMID:29434694 , (2018),
PMID: 29434694

注释

应用

  • WB免疫印迹
  • IHC免疫组化
  • IF免疫荧光
  • ICC免疫细胞化学
  • FC流式细胞
  • IP免疫沉淀
  • E酶联免疫吸附法
  • DB免疫斑点法
  • ChIP染色质免疫沉淀
  • GICA胶体金免疫层析法
  • NC阴性对照

种属反应性

  • Hu
  • Ms小鼠
  • Rt大鼠
  • Dm果蝇
  • C线虫
  • Mk
  • Rb
  • B
  • D
  • P
  • Hm仓鼠
  • ChHm中国仓鼠
  • Chk
;

联系我们

Location :

南京市高新开发区星火路10号人才大厦C座

Phone :

400-9961-933
025-58868422

Email Address

info@sabbiotech.com