免费电话:400-9961-933
邮箱:info@sabbiotech.com
欢迎光临本站
川博智能体 English
位置: 首页 > 多克隆抗体 > SREBP-1 Polyclonal Antibody

SREBP-1 Polyclonal Antibody#41458

是否有货: 有货
产品详情

产品名称SREBP-1 Polyclonal Antibody

来源种属Rabbit

克隆性Polyclonal

纯化The antibody was affinity-purified from rabbit antiserum by affinity-chromatography using epitope-specific immunogen.

应用WB IHC ELISA IF

种属反应性Human;Mouse;Rat

特异性SREBP-1 Polyclonal Antibody detects endogenous levels of SREBP-1 protein.

免疫原描述Synthesized peptide derived from human SREBP-1 around the non-phosphorylation site of S439.

基因/蛋白名称SREBP-1

标记Unconjugated

别名SREBF1; BHLHD1; SREBP1; Sterol regulatory element-binding protein 1; SREBP-1; Class D basic helix-loop-helix protein 1; bHLHd1; Sterol regulatory element-binding transcription factor 1

数据库入口号Swiss-Prot: P36956
NCBI Gene ID: 6720

Uniprot P36956

计算分子量122kd

浓度1mg/ml

配方Liquid in PBS containing 50% glycerol, 0.5% BSA and 0.02% sodium azide.

保存Store at -20˚C/1 year

应用详情

Western Blot: 1/500 - 1/2000.
Immunohistochemistry: 1/100 - 1/300.
ELISA: 1/20000.
IF 1:50-200
Not yet tested in other applications.

Various whole cell lysates were separated by 4-20% SDS-PAGE, and the membrane was blotted with anti-SREBP-1 antibody. The HRP-conjugated Goat anti-Rabbit IgG (H + L) antibody was used to detect the antibody. Lane 1: Hela Lane 2: A549 Lane 3: WB-F344 Predicted band size: 122kDa Observed band size: 125kDa
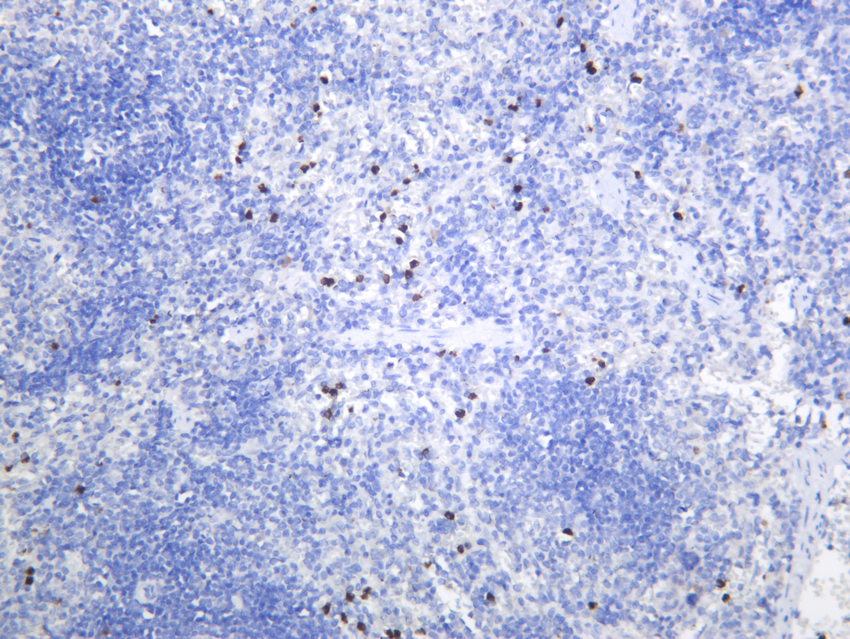
Rat spleen was stained with anti-SREBP-1 Rabbit antibody

如果您使用该产品41458发表了文章,请通知我们,让我们可以引用您的文献。

et al,Potential Mechanisms for Shenling Baizhu Powder in the Treatment of MAFLD Based on Network Pharmacology and Experimental Validation , (2025),
PMID:

注释

应用

  • WB免疫印迹
  • IHC免疫组化
  • IF免疫荧光
  • ICC免疫细胞化学
  • FC流式细胞
  • IP免疫沉淀
  • E酶联免疫吸附法
  • DB免疫斑点法
  • ChIP染色质免疫沉淀
  • GICA胶体金免疫层析法
  • NC阴性对照

种属反应性

  • Hu
  • Ms小鼠
  • Rt大鼠
  • Dm果蝇
  • C线虫
  • Mk
  • Rb
  • B
  • D
  • P
  • Hm仓鼠
  • ChHm中国仓鼠
  • Chk
;

联系我们

Location :

南京市高新开发区星火路10号人才大厦C座

Phone :

400-9961-933
025-58868422

Email Address

info@sabbiotech.com