免费电话:400-9961-933
邮箱:info@sabbiotech.com
欢迎光临本站
川博智能体 English
位置: 首页 > 多克隆抗体 > TGFB1 Rabbit Polyclonal Antibody

TGFB1 Rabbit Polyclonal Antibody#41494

是否有货: 有货
产品详情

产品名称TGFB1 Rabbit Polyclonal Antibody

来源种属Rabbit

克隆性Polyclonal

纯化The antibody was affinity-purified from rabbit antiserum by affinity-chromatography using epitope-specific immunogen.

应用WB IHC IF ELISA

种属反应性Human;Mouse;Rat

特异性TGFβ1 Polyclonal Antibody detects endogenous levels of TGFβ1 protein.

免疫原类型peptide

免疫原描述Synthesized peptide derived from the C-terminal region of human TGFβ1.

基因/蛋白名称TGFβ1

标记Unconjugated

别名TGFB1; TGFB; Transforming growth factor beta-1; TGF-beta-1

数据库入口号Swiss-Prot: P01137
NCBI Gene ID: 7040

Uniprot P01137

计算分子量44kDa

实际分子量12kD,44kD

浓度1mg/ml

配方Liquid in PBS containing 50% glycerol, 0.5% BSA and 0.02% sodium azide.

保存Store at -20˚C/1 year

应用详情
Western Blot: 1/500 - 1/2000.
Immunohistochemistry: 1/100 - 1/300.
Immunofluorescence: 1/200 - 1/1000.
ELISA: 1/20000.
Not yet tested in other applications.
Western Blot analysis of extracts from Mouse brain using TGFB1 Rabbit Polyclonal Antibody.
Western Blot analysis of extracts from HT29 cells using TGFB1 Rabbit Polyclonal Antibody.
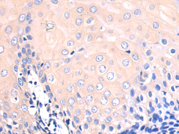
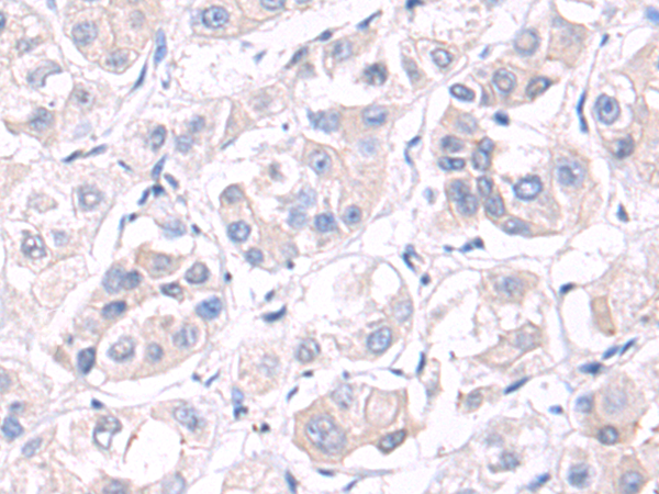
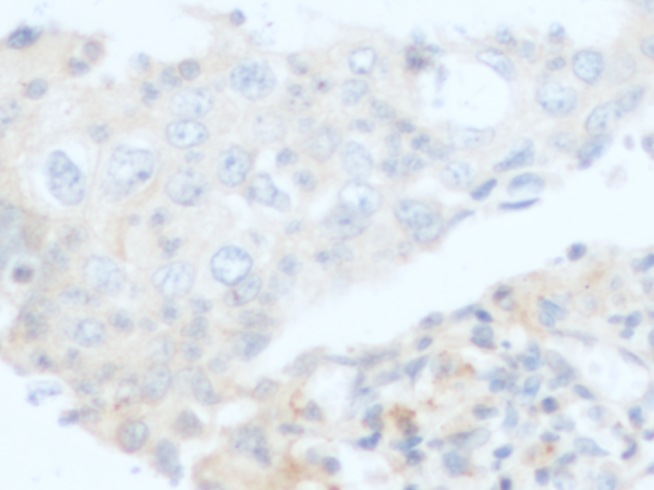
Immunohistochemical analysis of paraffin-embedded Human liver cancer tissue using TGFB1 Rabbit Polyclonal Antibody.
Immunohistochemical analysis of paraffin-embedded Human tonsil tissue using TGFB1 Rabbit Polyclonal Antibody.
Immunohistochemical analysis of paraffin-embedded Human cervical cancer tissue using TGFB1 Rabbit Polyclonal Antibody.
Immunohistochemical analysis of paraffin-embedded Mouse spleen tissue using TGFB1 Rabbit Polyclonal Antibody.
Immunohistochemical analysis of paraffin-embedded Rat jejunum tissue using TGFB1 Rabbit Polyclonal Antibody.
Immunofluorescence analysis of A549 cells using TGFB1 Rabbit Polyclonal Antibody(red).Blue: DAPI for nuclear staining.
Immunofluorescence analysis of NIH/3T3 cells using TGFB1 Rabbit Polyclonal Antibody(red).Blue: DAPI for nuclear staining.

如果您使用该产品41494发表了文章,请通知我们,让我们可以引用您的文献。

et al,DL-3-n-Butylphthalide reduces atrial fibrillation susceptibility by inhibiting atrial structural remodeling in rats with heart failure.In Naunyn Schmiedebergs Arch Pharmacol.On 2018 Mar by Qiu H, Wu H et al..PMID:29290021 , (2018),
PMID: 29290021
et al,TGF β1 mediated Smad signaling pathway and EMT in hepatic fibrosis induced by Nano NiO in vivo and in vitro.In Environ Toxicol on 2020 Apr by Zhang Q, Chang X ,et al..PMID: 31737983 , (2020),
PMID: 31737983
et al,Protective response against type 1 diabetes in nonobese diabetic mice after coimmunization with insulin and DNA encoding proinsulin. In Hum Gene Ther on 2010 Feb by Wenjuan Zhang, Huali Jin, et al..PMID: 19788384 , (2010),
PMID: 19788384
et al,Angiotensin II Induces Connective Tissue Growth Factor Expression in Human Hepatic Stellate Cells by a Transforming Growth Factor 尾-Independent Mechanism.In Sci Rep on 2017 Aug 10 by Ao Li Jingyao Zhang,et al..PMID: 28798388 , (2017),
PMID: 28798388
et al,High glucose increases Cdk5 activity in podocytes via transforming growth factor-尾1 signaling pathway.In Exp Cell Res on 2014 Aug 15 by Yue Zhang, Hongbo Li et al..PMID: 24768698 , (2014),
PMID: 24768698
et al,Soluble advanced glycosylation receptor is apotential target for the treatment of neutrophilic asthma. , (2020),
PMID:
et al,Decorin: a potential therapeutic candidate for ligamentum flavum hypertrophy by antagonizing TGF-β1InExp Mol MedOn2023 JulbyShanxi Wang 1, Yunkun Qu 1, et al..PMID: 37394592 , (2023),
PMID: 37394592
查看更多
et al,Promotion effect of TGF-β-Zfp423-ApoD pathway on lip sensory recovery after nerve sacrifice caused by nerve collateral compensationInInt J Oral SciOn2023 Jun 8byPingchuan Ma?#?1,?Gaowei Zhang? et al..PMID: 37286538 , (2023),
PMID: 37286538
et al,Expression Patterns of TGF-β1 , TβR-I , TβR-II, and Smad2 Reveal Insights into Heterosis for Growth of Hybrid Offspring between Acanthopagrus schlegelii and Pagrus major , (2024),
PMID:
et al,The combination of Lonicerae Japonicae Flos and Forsythiae Fructus herb-pair alleviated inflammation in liver fibrosis , (2022),
PMID: 36059967

注释

应用

  • WB免疫印迹
  • IHC免疫组化
  • IF免疫荧光
  • ICC免疫细胞化学
  • FC流式细胞
  • IP免疫沉淀
  • E酶联免疫吸附法
  • DB免疫斑点法
  • ChIP染色质免疫沉淀
  • GICA胶体金免疫层析法
  • NC阴性对照

种属反应性

  • Hu
  • Ms小鼠
  • Rt大鼠
  • Dm果蝇
  • C线虫
  • Mk
  • Rb
  • B
  • D
  • P
  • Hm仓鼠
  • ChHm中国仓鼠
  • Chk
;

联系我们

Location :

南京市高新开发区星火路10号人才大厦C座

Phone :

400-9961-933
025-58868422

Email Address

info@sabbiotech.com