免费电话:400-9961-933
邮箱:info@sabbiotech.com
欢迎光临本站
川博智能体 English
位置: 首页 > 多克隆抗体 > FGA Polyclonal Antibody

FGA Polyclonal Antibody#42168

是否有货: 货期1周
产品详情

产品名称FGA Polyclonal Antibody

来源种属Rabbit

克隆性Polyclonal

纯化Caprylic Acid Ammonium Sulfate Precipitation purified

应用IHC

种属反应性Human

特异性The antibody detects endogenous level of total FGA polyclonal antibody.

免疫原类型protein

免疫原描述Recombinant human FGA protein£¨36-218aa£©

基因/蛋白名称FGA

标记Unconjugated

别名FGA protein

数据库入口号Swiss-Prot#: Q8WW76

Uniprot Q8WW76

配方Preservative: 0.03% Proclin 300 Constituents: 50% Glycerol, 0.01M PBS, PH 7.4

保存Store at -20˚C

应用详情

Immunohistochemistry: 1:20 - 1:200
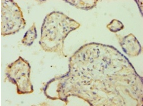
Immunohistochemical analysis of paraffin-embedded human placenta using #42168 at dilution of 1:100.

如果您使用该产品42168发表了文章,请通知我们,让我们可以引用您的文献。

et al,GPCPD1 is regulated by METTL3/IGF2BP3 dependent m6A modification to affect pig muscle fiber type conversion , (2025),
PMID: 40404071

注释

应用

  • WB免疫印迹
  • IHC免疫组化
  • IF免疫荧光
  • ICC免疫细胞化学
  • FC流式细胞
  • IP免疫沉淀
  • E酶联免疫吸附法
  • DB免疫斑点法
  • ChIP染色质免疫沉淀
  • GICA胶体金免疫层析法
  • NC阴性对照

种属反应性

  • Hu
  • Ms小鼠
  • Rt大鼠
  • Dm果蝇
  • C线虫
  • Mk
  • Rb
  • B
  • D
  • P
  • Hm仓鼠
  • ChHm中国仓鼠
  • Chk
;

联系我们

Location :

南京市高新开发区星火路10号人才大厦C座

Phone :

400-9961-933
025-58868422

Email Address

info@sabbiotech.com