免费电话:400-9961-933
邮箱:info@sabbiotech.com
欢迎光临本站
川博智能体 English
位置: 首页 > 多克隆抗体 > IL6 Antibody

IL6 Antibody#42709

是否有货: Yes
产品详情

产品名称IL6 Antibody

来源种属Rabbit

克隆性Polyclonal

纯化Antigen affinity purification.

应用IHC

种属反应性Human

特异性The antibody detects endogenous levels of total IL6 protein.

免疫原类型protein

免疫原描述Full length fusion protein of human IL6

基因/蛋白名称IL6

标记Unconjugated

别名HGF; HSF; BSF2; IL-6; IFNB2

数据库入口号Swiss-Prot#: P05231
Gene ID: 3569

Uniprot P05231

浓度0.2mg/ml

配方Rabbit IgG in pH7.4 PBS, 0.05% NaN3, 40% Glycerol.

保存Store at -20˚C

应用详情

Immunohistochemistry: 1:25-1:100
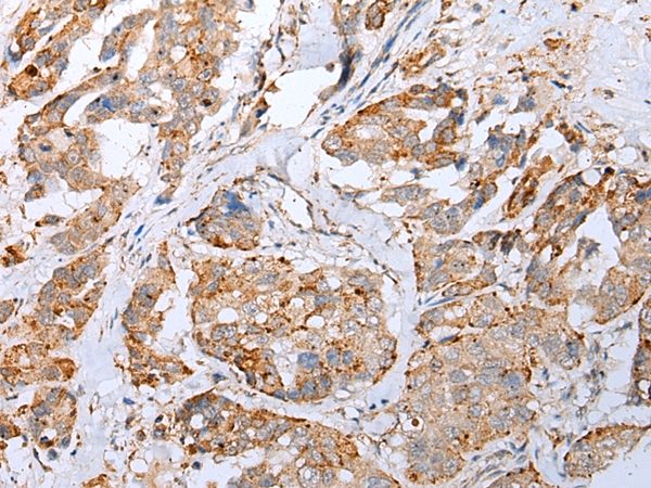
Immunohistochemical analysis of paraffin-embedded Human breast cancer tissue using #42709 at dilution 1/20.
Immunohistochemical analysis of paraffin-embedded Human thyroid cancer tissue using #42709 at dilution 1/20.
This gene encodes a cytokine that functions in inflammation and the maturation of B cells. In addition, the encoded protein has been shown to be an endogenous pyrogen capable of inducing fever in people with autoimmune diseases or infections. The protein is primarily produced at sites of acute and chronic inflammation, where it is secreted into the serum and induces a transcriptional inflammatory response through interleukin 6 receptor, alpha. The functioning of this gene is implicated in a wide variety of inflammation-associated disease states, including suspectibility to diabetes mellitus and systemic juvenile rheumatoid arthritis.?

如果您使用该产品42709发表了文章,请通知我们,让我们可以引用您的文献。

et al,The role of FTO in m6A RNA methylation and immune regulation in Staphylococcus aureus infection-related osteomyelitis. , (2025),
PMID: 39980685

注释

应用

  • WB免疫印迹
  • IHC免疫组化
  • IF免疫荧光
  • ICC免疫细胞化学
  • FC流式细胞
  • IP免疫沉淀
  • E酶联免疫吸附法
  • DB免疫斑点法
  • ChIP染色质免疫沉淀
  • GICA胶体金免疫层析法
  • NC阴性对照

种属反应性

  • Hu
  • Ms小鼠
  • Rt大鼠
  • Dm果蝇
  • C线虫
  • Mk
  • Rb
  • B
  • D
  • P
  • Hm仓鼠
  • ChHm中国仓鼠
  • Chk
;

联系我们

Location :

南京市高新开发区星火路10号人才大厦C座

Phone :

400-9961-933
025-58868422

Email Address

info@sabbiotech.com