免费电话:400-9961-933
邮箱:info@sabbiotech.com
欢迎光临本站
川博智能体 English
位置: 首页 > 多克隆抗体 > ABCA1 Antibody

ABCA1 Antibody#43463

是否有货: Yes
产品详情

产品名称ABCA1 Antibody

来源种属Rabbit

克隆性Polyclonal

纯化Antigen affinity purification.

应用IHC

种属反应性Human

特异性The antibody detects endogenous levels of total ABCA1 protein.

免疫原描述Synthetic peptide of human ABCA1

基因/蛋白名称ABCA1

标记Unconjugated

别名TGD; ABC1; CERP; ABC-1; HDLDT1

数据库入口号Swiss-Prot#: O95477
Gene ID: 19

Uniprot O95477

浓度2mg/ml

配方Rabbit IgG in pH7.4 PBS, 0.05% NaN3, 40% Glycerol.

保存Store at -20˚C

应用详情

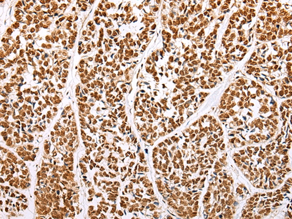
Immunohistochemistry: 1:20-1:100

Immunohistochemical analysis of paraffin-embedded Human esophagus cancer tissue using #43463 at dilution 1/35.
Immunohistochemical analysis of paraffin-embedded Human tonsil tissue using #43463 at dilution 1/35.

The membrane-associated protein encoded by this gene is a member of the superfamily of ATP-binding cassette (ABC) transporters. ABC proteins transport various molecules across extra- and intracellular membranes. ABC genes are divided into seven distinct subfamilies (ABC1, MDR/TAP, MRP, ALD, OABP, GCN20, White). This protein is a member of the ABC1 subfamily. Members of the ABC1 subfamily comprise the only major ABC subfamily found exclusively in multicellular eukaryotes. With cholesterol as its substrate, this protein functions as a cholesteral efflux pump in the cellular lipid removal pathway. Mutations in this gene have been associated with Tangier's disease and familial high-density lipoprotein deficiency.

如果您使用该产品43463发表了文章,请通知我们,让我们可以引用您的文献。

et al,Niacin-induced lysosomal free cholesterol efflux via LXRα-mediated signaling pathways in macrophages retards the progression of atherosclerosis , (2025),
PMID:

注释

应用

  • WB免疫印迹
  • IHC免疫组化
  • IF免疫荧光
  • ICC免疫细胞化学
  • FC流式细胞
  • IP免疫沉淀
  • E酶联免疫吸附法
  • DB免疫斑点法
  • ChIP染色质免疫沉淀
  • GICA胶体金免疫层析法
  • NC阴性对照

种属反应性

  • Hu
  • Ms小鼠
  • Rt大鼠
  • Dm果蝇
  • C线虫
  • Mk
  • Rb
  • B
  • D
  • P
  • Hm仓鼠
  • ChHm中国仓鼠
  • Chk
;

联系我们

Location :

南京市高新开发区星火路10号人才大厦C座

Phone :

400-9961-933
025-58868422

Email Address

info@sabbiotech.com