免费电话:400-9961-933
邮箱:info@sabbiotech.com
欢迎光临本站
川博智能体 English
位置: 首页 > 多克隆抗体 > UBE2W Antibody

UBE2W Antibody#43601

是否有货: Yes
产品详情

产品名称UBE2W Antibody

来源种属Rabbit

克隆性Polyclonal

纯化Antigen affinity purification

应用IHC WB

种属反应性Human;Rat

特异性The antibody detects endogenous levels of total UBE2W protein.

免疫原类型protein

免疫原描述Full length fusion protein

基因/蛋白名称UBE2W

标记Unconjugated

别名UBC16; UBC-16

数据库入口号Swiss-Prot#: Q96B02
NCBI Gene ID: 55284

Uniprot Q96B02

计算分子量17kd

浓度1.4mg/ml

配方Rabbit IgG in pH7.4 PBS, 0.05% NaN3, 40% Glycerol.

保存Store at -20˚C

应用详情
Western blotting: 1:500-2000
Immunohistochemistry: 1: 100-250
Gel: 12%SDS-PAGE
Lysate: 40 μg, Lane 1-2: 231 cell and Human cerebrum tissue lysates,
Primary antibody:UBE2W antibody at dilution 1/550,
Secondary antibody: Goat anti rabbit IgG at 1/8000 dilution,
Exposure time: 4 minutes
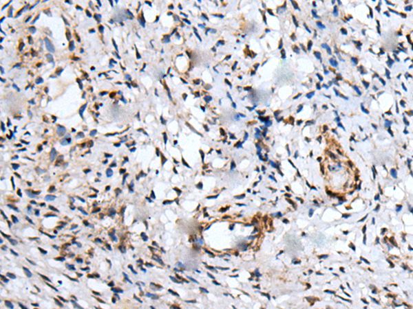
The image on the left is immunohistochemistry of paraffin-embedded Human cervical cancer tissue using UBE2W Antibody at dilution 1/100, on the right is treated with fusion protein. (Original magnification: x200)
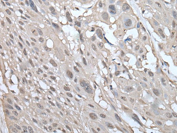
The image on the left is immunohistochemistry of paraffin-embedded Human esophagus cancer tissue using UBE2W Antibody at dilution 1/100, on the right is treated with fusion protein. (Original magnification: x200)
This gene encodes a nuclear-localized ubiquitin-conjugating enzyme (E2) that, along with ubiquitin-activating (E1) and ligating (E3) enzymes, coordinates the addition of a ubiquitin moiety to existing proteins. The encoded protein promotes the ubiquitination of Fanconi anemia complementation group proteins and may be important in the repair of DNA damage. There is a pseudogene for this gene on chromosome 1. Alternative splicing results in multiple transcript variants.?

如果您使用该产品43601发表了文章,请通知我们,让我们可以引用您的文献。

et al,Genetic code expansion reveals aminoacylated lysine ubiquitination mediated by UBE2W , (2023),
PMID: 36593310

注释

应用

  • WB免疫印迹
  • IHC免疫组化
  • IF免疫荧光
  • ICC免疫细胞化学
  • FC流式细胞
  • IP免疫沉淀
  • E酶联免疫吸附法
  • DB免疫斑点法
  • ChIP染色质免疫沉淀
  • GICA胶体金免疫层析法
  • NC阴性对照

种属反应性

  • Hu
  • Ms小鼠
  • Rt大鼠
  • Dm果蝇
  • C线虫
  • Mk
  • Rb
  • B
  • D
  • P
  • Hm仓鼠
  • ChHm中国仓鼠
  • Chk
;

联系我们

Location :

南京市高新开发区星火路10号人才大厦C座

Phone :

400-9961-933
025-58868422

Email Address

info@sabbiotech.com