免费电话:400-9961-933
邮箱:info@sabbiotech.com
欢迎光临本站
川博智能体 English
位置: 首页 > 多克隆抗体 > CTSS Antibody

CTSS Antibody#43650

是否有货: Yes
产品详情

产品名称CTSS Antibody

来源种属Rabbit

克隆性Polyclonal

纯化Antigen affinity purification

应用IHC WB

种属反应性Human;Mouse

特异性The antibody detects endogenous levels of total CTSS protein.

免疫原描述Synthetic peptide of human CTSS

基因/蛋白名称CTSS

标记Unconjugated

数据库入口号Swiss-Prot#: P25774
NCBI Gene ID: 1520

Uniprot P25774

浓度0.5mg/ml

配方Rabbit IgG in pH7.4 PBS, 0.05% NaN3, 40% Glycerol.

保存Store at -20˚C

应用详情

WB:500-2000
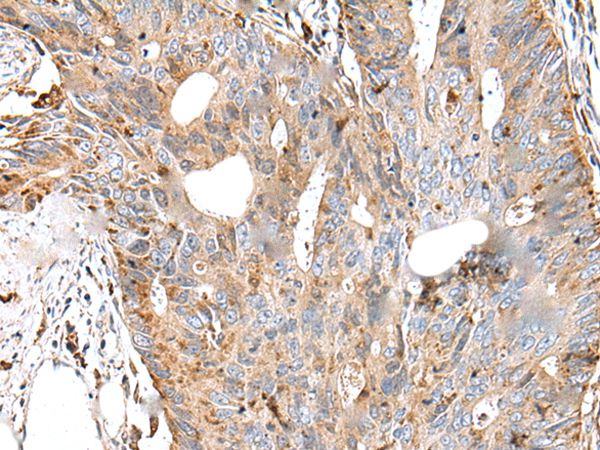
Immunohistochemistry: 1: 20-100

The image on the left is immunohistochemistry of paraffin-embedded Human colorectal cancer tissue using CTSS Antibody at dilution 1/30, on the right is treated with synthetic peptide. (Original magnification: x200)
Gel: 12%SDS-PAGE, Lysate: 40 μg, Lane 1-3: Jurkat, 231 cell, Mouse brain tissue lysates, Primary antibody: CTSS Antibody at dilution 1/1000, Secondary antibody: Goat anti rabbit IgG at 1/5000 dilution, Exposure time: 3 minutes

The protein encoded by this gene, a member of the peptidase C1 family, is a lysosomal cysteine proteinase that may participate in the degradation of antigenic proteins to peptides for presentation on MHC class II molecules. The encoded protein can function as an elastase over a broad pH range in alveolar macrophages. Alternatively spliced transcript variants encoding distinct isoforms have been found for this gene.?

如果您使用该产品43650发表了文章,请通知我们,让我们可以引用您的文献。

et al,Multi-omics analysis reveals that low cathepsin S expression aggravates sepsis progression and worse prognosis via inducing monocyte polarization. , (2025),
PMID: 40115073

注释

应用

  • WB免疫印迹
  • IHC免疫组化
  • IF免疫荧光
  • ICC免疫细胞化学
  • FC流式细胞
  • IP免疫沉淀
  • E酶联免疫吸附法
  • DB免疫斑点法
  • ChIP染色质免疫沉淀
  • GICA胶体金免疫层析法
  • NC阴性对照

种属反应性

  • Hu
  • Ms小鼠
  • Rt大鼠
  • Dm果蝇
  • C线虫
  • Mk
  • Rb
  • B
  • D
  • P
  • Hm仓鼠
  • ChHm中国仓鼠
  • Chk
;

联系我们

Location :

南京市高新开发区星火路10号人才大厦C座

Phone :

400-9961-933
025-58868422

Email Address

info@sabbiotech.com