免费电话:400-9961-933
邮箱:info@sabbiotech.com
欢迎光临本站
川博智能体 English
位置: 首页 > 多克隆抗体 > CSF1 Antibody

CSF1 Antibody#43751

是否有货: Yes
产品详情

产品名称CSF1 Antibody

来源种属Rabbit

克隆性Polyclonal

纯化Antigen affinity purification

应用IHC WB

种属反应性Human

特异性The antibody detects endogenous levels of total CSF1 protein.

免疫原类型peptide

免疫原描述Synthetic peptide of human CSF1

基因/蛋白名称CSF1

标记Unconjugated

别名MCSF; CSF-1

数据库入口号Swiss-Prot#: P09603
NCBI Gene ID: 1435

Uniprot P09603

计算分子量60kd

浓度0.7mg/ml

配方Rabbit IgG in pH7.4 PBS, 0.05% NaN3, 40% Glycerol.

保存Store at -20˚C

应用详情
Western blotting: 1:200-1000
Immunohistochemistry: 1: 20-100
Gel: 6%SDS-PAGE
Lysate: 40 μg, Lane: Human spleen tissue lysate,
Primary antibody:CSF1 antibody at dilution 1/250 dilution,
Secondary antibody: Goat anti rabbit IgG at 1/8000 dilution,
Exposure time: 3 minutes
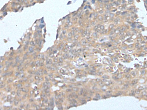
The image on the left is immunohistochemistry of paraffin-embedded Human ovarian cancer tissue using CSF1 Antibody at dilution 1/25, on the right is treated with synthetic peptide. (Original magnification: x200)
The image on the left is immunohistochemistry of paraffin-embedded Human tonsil tissue using CSF1 Antibody at dilution 1/25, on the right is treated with synthetic peptide. (Original magnification: x200)
The protein encoded by this gene is a cytokine that controls the production, differentiation, and function of macrophages. The active form of the protein is found extracellularly as a disulfide-linked homodimer, and is thought to be produced by proteolytic cleavage of membrane-bound precursors. The encoded protein may be involved in development of the placenta. Alternate splicing results in multiple transcript variants.

如果您使用该产品43751发表了文章,请通知我们,让我们可以引用您的文献。

et al,METTL3 regulates m6A in endometrioid epithelial ovarian cancer independently of METTl14 and WTAP , (2020),
PMID: 32869897

注释

应用

  • WB免疫印迹
  • IHC免疫组化
  • IF免疫荧光
  • ICC免疫细胞化学
  • FC流式细胞
  • IP免疫沉淀
  • E酶联免疫吸附法
  • DB免疫斑点法
  • ChIP染色质免疫沉淀
  • GICA胶体金免疫层析法
  • NC阴性对照

种属反应性

  • Hu
  • Ms小鼠
  • Rt大鼠
  • Dm果蝇
  • C线虫
  • Mk
  • Rb
  • B
  • D
  • P
  • Hm仓鼠
  • ChHm中国仓鼠
  • Chk
;

联系我们

Location :

南京市高新开发区星火路10号人才大厦C座

Phone :

400-9961-933
025-58868422

Email Address

info@sabbiotech.com