免费电话:400-9961-933
邮箱:info@sabbiotech.com
欢迎光临本站
川博智能体 English
位置: 首页 > 多克隆抗体 > CES4A Antibody

CES4A Antibody#43923

是否有货: Yes
产品详情

产品名称CES4A Antibody

来源种属Rabbit

克隆性Polyclonal

纯化Antigen affinity purification

应用IHC

种属反应性Human

特异性The antibody detects endogenous levels of total CES4A protein.

免疫原类型peptide

免疫原描述Synthetic peptide of human CES4A

基因/蛋白名称CES4A

标记Unconjugated

别名CES6; CES8

数据库入口号Swiss-Prot#: Q5XG92
NCBI Gene ID: 283848

Uniprot Q5XG92

浓度0.5mg/ml

配方Rabbit IgG in pH7.4 PBS, 0.05% NaN3, 40% Glycerol.

保存Store at -20˚C

应用详情

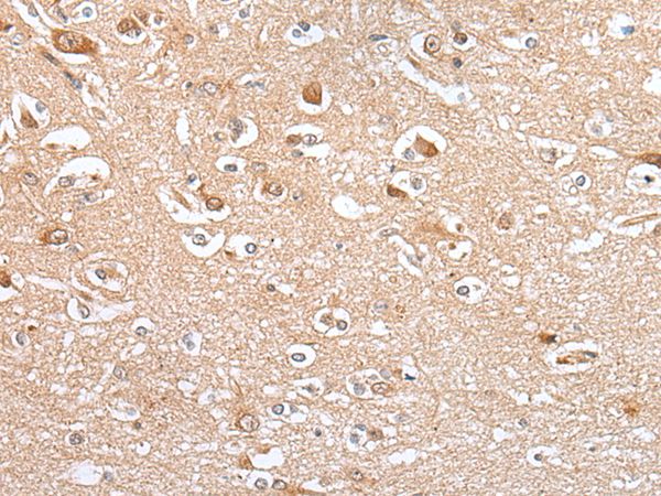
Immunohistochemistry: 1: 20-100
The image on the left is immunohistochemistry of paraffin-embedded Human brain tissue using CES4A Antibody at dilution 1/20, on the right is treated with synthetic peptide. (Original magnification: x200)
This gene encodes a member of the carboxylesterase large family. The family members are responsible for the hydrolysis or transesterification of various xenobiotics, such as cocaine and heroin, and endogenous substrates with ester, thioester, or amide bonds. They also participate in fatty acyl and cholesterol ester metabolism, and may play a role in the blood-brain barrier system. This gene, also called CES6, encodes a secreted enzyme, and may play a role in the detoxification of drugs and xenobiotics in neural and other tissues of the body and in the cerebrospinal fluid. Multiple transcript variants encoding different isoforms have been reported, but the full-length nature and/or biological validity of some variants have not been determined.

如果您使用该产品43923发表了文章,请通知我们,让我们可以引用您的文献。

et al,Carboxylesterase 4A Inhibits the Malignant Biological Behavior of Nasopharyngeal Carcinoma via the PI3K/AKT Pathway. , (2025),
PMID: 39912257

注释

应用

  • WB免疫印迹
  • IHC免疫组化
  • IF免疫荧光
  • ICC免疫细胞化学
  • FC流式细胞
  • IP免疫沉淀
  • E酶联免疫吸附法
  • DB免疫斑点法
  • ChIP染色质免疫沉淀
  • GICA胶体金免疫层析法
  • NC阴性对照

种属反应性

  • Hu
  • Ms小鼠
  • Rt大鼠
  • Dm果蝇
  • C线虫
  • Mk
  • Rb
  • B
  • D
  • P
  • Hm仓鼠
  • ChHm中国仓鼠
  • Chk
;

联系我们

Location :

南京市高新开发区星火路10号人才大厦C座

Phone :

400-9961-933
025-58868422

Email Address

info@sabbiotech.com