免费电话:400-9961-933
邮箱:info@sabbiotech.com
欢迎光临本站
川博智能体 English
位置: 首页 > 多克隆抗体 > SLC8A1 Antibody

SLC8A1 Antibody#43934

是否有货: Yes
产品详情

产品名称SLC8A1 Antibody

来源种属Rabbit

克隆性Polyclonal

纯化Antigen affinity purification

应用IHC

种属反应性Human;Mouse;Rat

特异性The antibody detects endogenous levels of total SLC8A1 protein.

免疫原类型peptide

免疫原描述Synthetic peptide of human SLC8A1

基因/蛋白名称SLC8A1

标记Unconjugated

别名NCX1

数据库入口号Swiss-Prot#: P32418
NCBI Gene ID: 6546

Uniprot P32418

浓度1mg/ml

配方Rabbit IgG in pH7.4 PBS, 0.05% NaN3, 40% Glycerol.

保存Store at -20˚C

应用详情

Immunohistochemistry: 1: 20-100
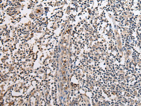
The image on the left is immunohistochemistry of paraffin-embedded Human brain tissue using SLC8A1 Antibody at dilution 1/25, on the right is treated with synthetic peptide. (Original magnification: x200)
The image on the left is immunohistochemistry of paraffin-embedded Human tonsil tissue using SLC8A1 Antibody at dilution 1/25, on the right is treated with synthetic peptide. (Original magnification: x200)
In cardiac myocytes, Ca(2+) concentrations alternate between high levels during contraction and low levels during relaxation. The increase in Ca(2+) concentration during contraction is primarily due to release of Ca(2+) from intracellular stores. However, some Ca(2+) also enters the cell through the sarcolemma (plasma membrane). During relaxation, Ca(2+) is sequestered within the intracellular stores. To prevent overloading of intracellular stores, the Ca(2+) that entered across the sarcolemma must be extruded from the cell. The Na(+)-Ca(2+) exchanger is the primary mechanism by which the Ca(2+) is extruded from the cell during relaxation. In the heart, the exchanger may play a key role in digitalis action. The exchanger is the dominant mechanism in returning the cardiac myocyte to its resting state following excitation.

如果您使用该产品43934发表了文章,请通知我们,让我们可以引用您的文献。

et al,Identification and study of mood-related biomarkers and potential molecular mechanisms in type 2 diabetes mellitus. , (2025),
PMID: 39915429

注释

应用

  • WB免疫印迹
  • IHC免疫组化
  • IF免疫荧光
  • ICC免疫细胞化学
  • FC流式细胞
  • IP免疫沉淀
  • E酶联免疫吸附法
  • DB免疫斑点法
  • ChIP染色质免疫沉淀
  • GICA胶体金免疫层析法
  • NC阴性对照

种属反应性

  • Hu
  • Ms小鼠
  • Rt大鼠
  • Dm果蝇
  • C线虫
  • Mk
  • Rb
  • B
  • D
  • P
  • Hm仓鼠
  • ChHm中国仓鼠
  • Chk
;

联系我们

Location :

南京市高新开发区星火路10号人才大厦C座

Phone :

400-9961-933
025-58868422

Email Address

info@sabbiotech.com