免费电话:400-9961-933
邮箱:info@sabbiotech.com
欢迎光临本站
川博智能体 English
位置: 首页 > 重组兔单抗 > glut2 Antibody

glut2 Antibody#45050

是否有货: 有货
产品详情

产品名称glut2 Antibody

来源种属Rabbit

克隆性Monoclonal

纯化Protein A affinity chromatography

应用WB;IHC;IF;ELISA

种属反应性Human;Mouse;Rat

特异性Endogenous

基因/蛋白名称glut2

标记Unconjugated

别名glut2 Antibody

数据库入口号Swiss-Prot#: P11168
NCBI Gene ID:6514

Uniprot P11168

计算分子量57 kDa

浓度0.2 mg/ml

配方PBS, 50% glycerol, 0.05% Proclin 300, 0.05%BSA

保存Store at -20˚C

应用详情
WB 1:2000-1:10000; IHC 1:1000-1:400; IF 1:200-1:1000; ELISA 1:5000-1:20000
Various whole cell lysates were separated by 4-20% SDS-PAGE, and the membrane was blotted with Glut2 Antibody;
The HRP-conjugated Goat anti-Rabbit IgG (H + L) antibody was used to detect the antibody;
Lane 1: Mouse liver;
Lane 2: Rat liver;
Lane 3: HT-29;
Lane 4: A549
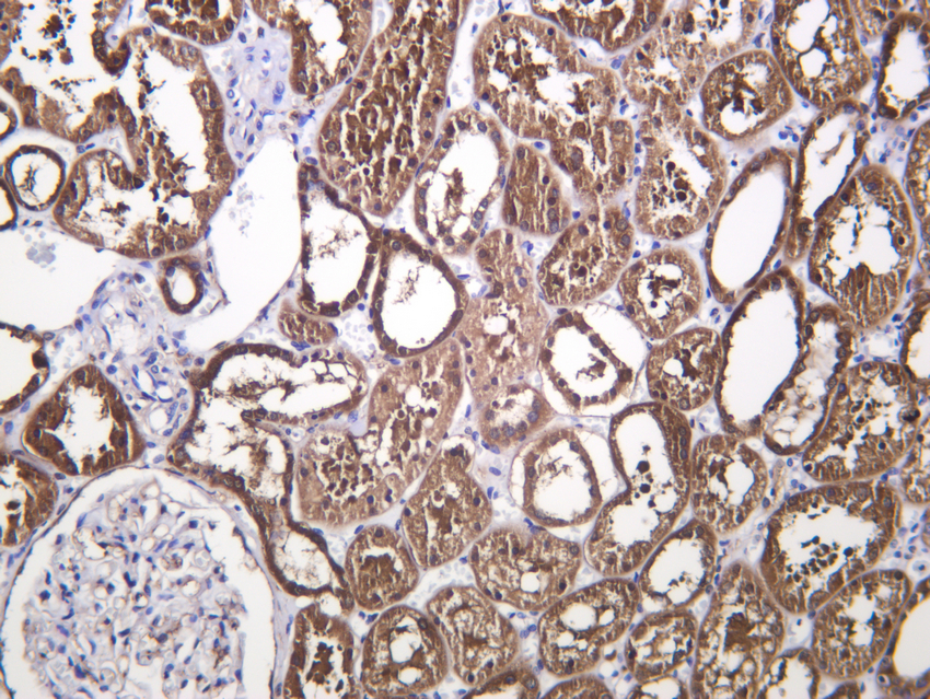
Human kidney was stained with Glut2 Antibody.

如果您使用该产品45050发表了文章,请通知我们,让我们可以引用您的文献。

et al,Kefir-derived exopolysaccharide ameliorates hyperglycemic control and beta cell integrity in a rat model of type 2 diabetes mellitus , (2025),
PMID: 40830335

注释

应用

  • WB免疫印迹
  • IHC免疫组化
  • IF免疫荧光
  • ICC免疫细胞化学
  • FC流式细胞
  • IP免疫沉淀
  • E酶联免疫吸附法
  • DB免疫斑点法
  • ChIP染色质免疫沉淀
  • GICA胶体金免疫层析法
  • NC阴性对照

种属反应性

  • Hu
  • Ms小鼠
  • Rt大鼠
  • Dm果蝇
  • C线虫
  • Mk
  • Rb
  • B
  • D
  • P
  • Hm仓鼠
  • ChHm中国仓鼠
  • Chk
;

联系我们

Location :

南京市高新开发区星火路10号人才大厦C座

Phone :

400-9961-933
025-58868422

Email Address

info@sabbiotech.com