免费电话:400-9961-933
邮箱:info@sabbiotech.com
欢迎光临本站
川博智能体 English
位置: 首页 > 多克隆抗体 > CADM2 Antibody

CADM2 Antibody#46390

是否有货: Yes
产品详情

产品名称CADM2 Antibody

来源种属Rabbit

克隆性Polyclonal

纯化Antigen affinity purification

应用WB IHC

种属反应性Human;Mouse;Rat

特异性The antibody detects endogenous levels of total CADM2 protein.

免疫原类型peptide

免疫原描述Synthetic peptide corresponding to residues near the C terminal of human CADM2

基因/蛋白名称CADM2

标记Unconjugated

别名NECL3; IGSF4D; Necl-3; synCAM2; SynCAM 2

数据库入口号Swiss-Prot:Q8N3J6
NCBI Gene ID:253559
NCBI Protein:NP_001161146

Uniprot Q8N3J6

计算分子量48 kDa

浓度1.2mg/ml

配方Rabbit IgG in pH7.4 PBS, 0.05% NaN3, 40% Glycerol.

保存Store at -20˚C

应用详情
Western blotting: 1:1000-1:5000
Immunohistochemistry: 1: 30-150
Gel: 8%SDS-PAGE
lysate: 20 ¦Ìg, Lane: Human cerebella tissue lysate,
Primary antibody: 46390£¨CADM2 Antibody) at dilution 1/2000
Secondary antibody: Goat anti rabbit IgG at 1/8000 dilution,
Exposure time: 1 second
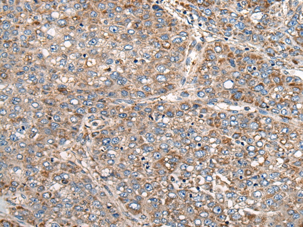
The image on the left is immunohistochemistry of paraffin-embedded Human liver cancer tissue using 46390(CADM2 Antibody) at dilution 1/40, on the right is treated with synthetic peptide. (Original magnification: x200)
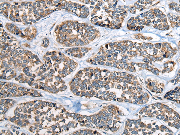
The image on the left is immunohistochemistry of paraffin-embedded Human esophagus cancer tissue using 46390(CADM2 Antibody) at dilution 1/40, on the right is treated with synthetic peptide. (Original magnification: x200)
This gene encodes a member of the synaptic cell adhesion molecule 1 (SynCAM) family which belongs to the immunoglobulin (Ig) superfamily. The encoded protein has three Ig-like domains and a cytosolic protein 4.1 binding site near the C-terminus. Proteins belonging to the protein 4.1 family crosslink spectrin and interact with other cytoskeletal proteins. Multiple transcript variants encoding different isoforms have been found for this gene.

如果您使用该产品46390发表了文章,请通知我们,让我们可以引用您的文献。

et al,Genome-Wide Profiling Reveals HPV Integration Pattern and Activated Carcinogenic Pathways in Penile Squamous Cell Carcinoma , (2021),
PMID: 34885212

注释

应用

  • WB免疫印迹
  • IHC免疫组化
  • IF免疫荧光
  • ICC免疫细胞化学
  • FC流式细胞
  • IP免疫沉淀
  • E酶联免疫吸附法
  • DB免疫斑点法
  • ChIP染色质免疫沉淀
  • GICA胶体金免疫层析法
  • NC阴性对照

种属反应性

  • Hu
  • Ms小鼠
  • Rt大鼠
  • Dm果蝇
  • C线虫
  • Mk
  • Rb
  • B
  • D
  • P
  • Hm仓鼠
  • ChHm中国仓鼠
  • Chk
;

联系我们

Location :

南京市高新开发区星火路10号人才大厦C座

Phone :

400-9961-933
025-58868422

Email Address

info@sabbiotech.com