免费电话:400-9961-933
邮箱:info@sabbiotech.com
欢迎光临本站
川博智能体 English
位置: 首页 > 多克隆抗体 > CCDC137 Antibody

CCDC137 Antibody#46419

是否有货: Yes
产品详情

产品名称CCDC137 Antibody

来源种属Rabbit

克隆性Polyclonal

纯化Antigen affinity purification

应用WB IHC

种属反应性Human

特异性The antibody detects endogenous levels of total CCDC137 protein.

免疫原类型peptide

免疫原描述Full length fusion protein of human CCDC137

基因/蛋白名称CCDC137

标记Unconjugated

别名RaRF

数据库入口号Swiss-Prot:Q6PK04
NCBI Gene ID:339230
NCBI Protein:BC009369

Uniprot Q6PK04

计算分子量33 kDa

浓度0.9mg/ml

配方Rabbit IgG in pH7.4 PBS, 0.05% NaN3, 40% Glycerol.

保存Store at -20˚C

应用详情
Western blotting: 1:200-1:1000
Immunohistochemistry: 1: 30-150
Gel: 8%SDS-PAGE
lysate: 40 ¦Ìg, Lane: 293T cell lysate,
Primary antibody: 46419£¨CCDC137 Antibody) at dilution 1/350
Secondary antibody: Goat anti rabbit IgG at 1/8000 dilution,
Exposure time: 20 seconds
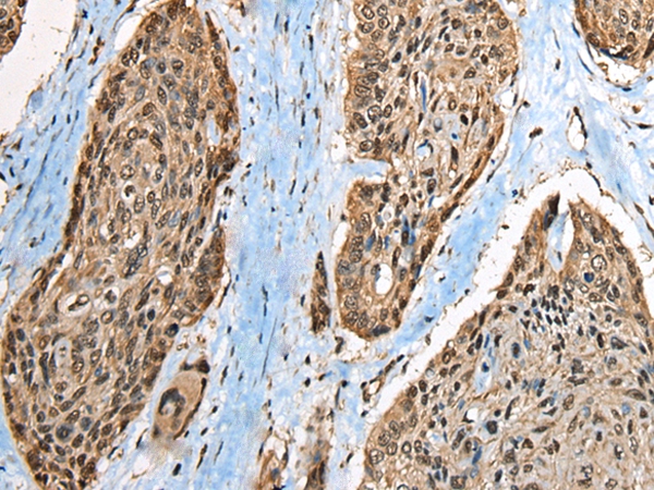
The image on the left is immunohistochemistry of paraffin-embedded Human esophagus cancer tissue using 46419(CCDC137 Antibody) at dilution 1/35, on the right is treated with fusion protein. (Original magnification: x200)
The function of this protein remains unknown.

如果您使用该产品46419发表了文章,请通知我们,让我们可以引用您的文献。

et al,CCDC137 knockdown suppresses bladder cancer progression by downregulating SCD , (2025),
PMID: 40993629

注释

应用

  • WB免疫印迹
  • IHC免疫组化
  • IF免疫荧光
  • ICC免疫细胞化学
  • FC流式细胞
  • IP免疫沉淀
  • E酶联免疫吸附法
  • DB免疫斑点法
  • ChIP染色质免疫沉淀
  • GICA胶体金免疫层析法
  • NC阴性对照

种属反应性

  • Hu
  • Ms小鼠
  • Rt大鼠
  • Dm果蝇
  • C线虫
  • Mk
  • Rb
  • B
  • D
  • P
  • Hm仓鼠
  • ChHm中国仓鼠
  • Chk
;

联系我们

Location :

南京市高新开发区星火路10号人才大厦C座

Phone :

400-9961-933
025-58868422

Email Address

info@sabbiotech.com