免费电话:400-9961-933
邮箱:info@sabbiotech.com
欢迎光临本站
川博智能体 English
位置: 首页 > 多克隆抗体 > GPANK1 Antibody

GPANK1 Antibody#46566

是否有货: Yes
产品详情

产品名称GPANK1 Antibody

来源种属Rabbit

克隆性Polyclonal

纯化Antigen affinity purification

应用IHC

种属反应性Human

特异性The antibody detects endogenous levels of total GPANK1 protein.

免疫原类型peptide

免疫原描述Synthetic protein corresponding to residues near the C terminal of human GPANK1

基因/蛋白名称GPANK1

标记Unconjugated

别名G5; BAT4; D6S54E; ANKRD59; GPATCH10

数据库入口号Swiss-Prot:O95872
NCBI Gene ID:7918
NCBI Protein:BC008783

Uniprot O95872

浓度0.6mg/ml

配方Rabbit IgG in pH7.4 PBS, 0.05% NaN3, 40% Glycerol.

保存Store at -20˚C

应用详情

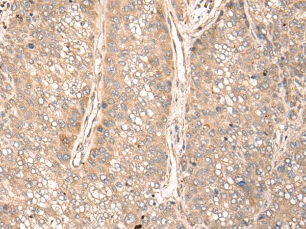
Immunohistochemistry: 1: 25-100
The image on the left is immunohistochemistry of paraffin-embedded Human liver cancer tissue using 46566(GPANK1 Antibody) at dilution 1/30, on the right is treated with fusion protein. (Original magnification: x200)
This gene is located in a cluster of HLA-B-associated transcripts, which is included in the human major histocompatability complex III region. This gene encodes a protein which is thought to play a role in immunity. Multiple alternatively spliced variants, encoding the same protein, have been identified.

如果您使用该产品46566发表了文章,请通知我们,让我们可以引用您的文献。

et al,LncRNA ZFAS1 Combined with SRSF1 Regulate CNPY2 Expression and Leads to Microglia Endoplasmic Reticulum Stress–Induced Spinal Cord Injury , (2025),
PMID: 40465066

注释

应用

  • WB免疫印迹
  • IHC免疫组化
  • IF免疫荧光
  • ICC免疫细胞化学
  • FC流式细胞
  • IP免疫沉淀
  • E酶联免疫吸附法
  • DB免疫斑点法
  • ChIP染色质免疫沉淀
  • GICA胶体金免疫层析法
  • NC阴性对照

种属反应性

  • Hu
  • Ms小鼠
  • Rt大鼠
  • Dm果蝇
  • C线虫
  • Mk
  • Rb
  • B
  • D
  • P
  • Hm仓鼠
  • ChHm中国仓鼠
  • Chk
;

联系我们

Location :

南京市高新开发区星火路10号人才大厦C座

Phone :

400-9961-933
025-58868422

Email Address

info@sabbiotech.com