免费电话:400-9961-933
邮箱:info@sabbiotech.com
欢迎光临本站
川博智能体 English
位置: 首页 > 多克隆抗体 > CCNY Antibody

CCNY Antibody#46944

是否有货: 有货
产品详情

产品名称CCNY Antibody

来源种属Rabbit

克隆性Polyclonal

纯化Antigen affinity purification

应用IHC

种属反应性Human

特异性The antibody detects endogenous levels of total CCNY protein.

免疫原类型peptide

免疫原描述Synthetic peptide of human CCNY

基因/蛋白名称CCNY

标记Unconjugated

别名CCNX; CFP1; CBCP1; C10orf9

数据库入口号Swiss-Prot#:Q8ND76
NCBI Gene ID:219771
Gene Accssion:NP_659449

Uniprot Q8ND76

浓度1mg/ml

配方Rabbit IgG in pH7.4 PBS, 0.05% NaN3, 40% Glycerol.

保存Store at -20C

应用详情

Immunofluorescence:1: 25-100
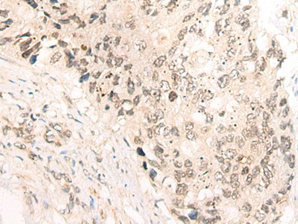
The image is immunohistochemistry of paraffin-embedded Human liver cancer tissue using 46944(CCNY Antibody) at dilution 1/35. (Original magnification: ?00)
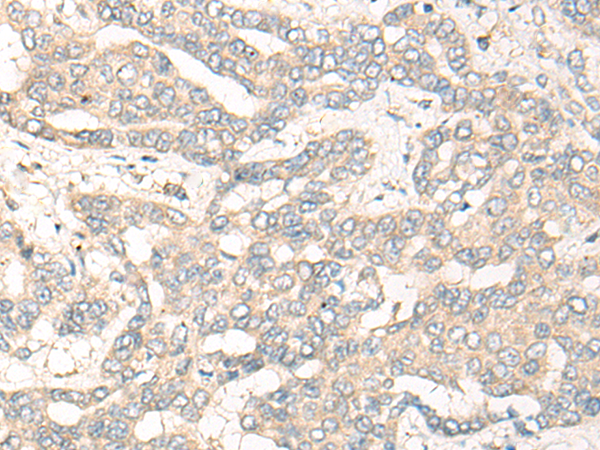
The image is immunohistochemistry of paraffin-embedded Human colorectal cancer tissue using 46944(CCNY Antibody) at dilution 1/35. (Original magnification: ?00)
Cyclins, such as CCNY, control cell division cycles and regulate cyclin-dependent kinases (e.g., CDC2; MIM 116940) (Li et al., 2009 [PubMed 18060517]).

如果您使用该产品46944发表了文章,请通知我们,让我们可以引用您的文献。

et al,Brusatol ameliorates irinotecan-induced delayed diarrhea via inhibition of the cGAS-STING pathway and modulation of intestinal flora , (2025),
PMID: 40684488

注释

应用

  • WB免疫印迹
  • IHC免疫组化
  • IF免疫荧光
  • ICC免疫细胞化学
  • FC流式细胞
  • IP免疫沉淀
  • E酶联免疫吸附法
  • DB免疫斑点法
  • ChIP染色质免疫沉淀
  • GICA胶体金免疫层析法
  • NC阴性对照

种属反应性

  • Hu
  • Ms小鼠
  • Rt大鼠
  • Dm果蝇
  • C线虫
  • Mk
  • Rb
  • B
  • D
  • P
  • Hm仓鼠
  • ChHm中国仓鼠
  • Chk
;

联系我们

Location :

南京市高新开发区星火路10号人才大厦C座

Phone :

400-9961-933
025-58868422

Email Address

info@sabbiotech.com