免费电话:400-9961-933
邮箱:info@sabbiotech.com
欢迎光临本站
川博智能体 English
位置: 首页 > 多克隆抗体 > DBX1 Antibody

DBX1 Antibody#47022

是否有货: 有货
产品详情

产品名称DBX1 Antibody

来源种属Rabbit

克隆性Polyclonal

纯化Antigen affinity purification

应用IHC

种属反应性Human

特异性The antibody detects endogenous levels of total DBX1 protein.

免疫原类型peptide

免疫原描述Synthetic peptide of human DBX1

基因/蛋白名称DBX1

标记Unconjugated

数据库入口号Swiss-Prot#:A6NMT0
NCBI Gene ID:120237
Gene Accssion:NP_001025036

Uniprot A6NMT0

浓度0.4mg/ml

配方Rabbit IgG in pH7.4 PBS, 0.05% NaN3, 40% Glycerol.

保存Store at -20C

应用详情

Immunofluorescence:1: 20-100
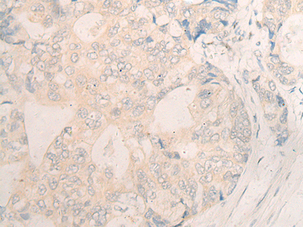
The image is immunohistochemistry of paraffin-embedded Human liver cancer tissue using 47022(DBX1 Antibody) at dilution 1/20. (Original magnification: ?00)
The image is immunohistochemistry of paraffin-embedded Human gastric cancer tissue using 47022(DBX1 Antibody) at dilution 1/20. (Original magnification: ?00)
Could have a role in patterning the central nervous system during embryogenesis. Has a key role in regulating the distinct phenotypic features that distinguish two major classes of ventral interneurons, V0 and V1 neurons. Regulates the transcription factor profile, neurotransmitter phenotype, intraspinal migratory path and axonal trajectory of V0 neurons, features that differentiate them from an adjacent set of V1 neurons (By similarity).

如果您使用该产品47022发表了文章,请通知我们,让我们可以引用您的文献。

et al,Overexpression of CX3CL1-CX3CR1 Signaling in the Stria Vascularis Rather Than the Basilar Membrane may be the trigger for inflammaging in the Cochlea , (2025),
PMID: 40058359

注释

应用

  • WB免疫印迹
  • IHC免疫组化
  • IF免疫荧光
  • ICC免疫细胞化学
  • FC流式细胞
  • IP免疫沉淀
  • E酶联免疫吸附法
  • DB免疫斑点法
  • ChIP染色质免疫沉淀
  • GICA胶体金免疫层析法
  • NC阴性对照

种属反应性

  • Hu
  • Ms小鼠
  • Rt大鼠
  • Dm果蝇
  • C线虫
  • Mk
  • Rb
  • B
  • D
  • P
  • Hm仓鼠
  • ChHm中国仓鼠
  • Chk
;

联系我们

Location :

南京市高新开发区星火路10号人才大厦C座

Phone :

400-9961-933
025-58868422

Email Address

info@sabbiotech.com