免费电话:400-9961-933
邮箱:info@sabbiotech.com
欢迎光临本站
川博智能体 English
位置: 首页 > 多克隆抗体 > GFI1 Antibody

GFI1 Antibody#47575

是否有货: Yes
产品详情

产品名称GFI1 Antibody

来源种属Rabbit

克隆性Polyclonal

纯化Antigen affinity purification

应用IHC

种属反应性Human;Mouse;Rat

特异性The antibody detects endogenous levels of total GFI1 protein.

免疫原类型Peptide

免疫原描述Synthetic peptide of human GFI1

基因/蛋白名称GFI1

标记Unconjugated

别名SCN2; GFI-1; GFI1A; ZNF163

数据库入口号Swiss-Prot#:Q99684
NCBI Gene ID:2672
Gene Accssion:NP_005254

Uniprot Q99684

浓度1.6

配方Rabbit IgG in pH7.4 PBS, 0.05% NaN3, 40% Glycerol.

保存Store at -20˚C

应用详情

IHC dilution:1: 50-300

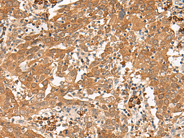
The image is immunohistochemistry of paraffin-embedded Human cervical cancer tissue using 47575(GFI1 Antibody) at dilution 1/100.(Original magnification: 200)
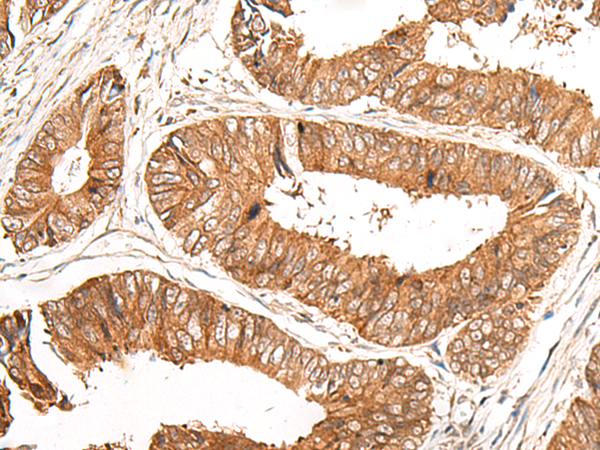
The image is immunohistochemistry of paraffin-embedded Human colorectal cancer tissue using 47575(GFI1 Antibody) at dilution 1/100.(Original magnification: 200)

This gene encodes a nuclear zinc finger protein that functions as a transcriptional repressor. This protein plays a role in diverse developmental contexts, including hematopoiesis and oncogenesis. It functions as part of a complex along with other cofactors to control histone modifications that lead to silencing of the target gene promoters. Mutations in this gene cause autosomal dominant severe congenital neutropenia, and also dominant nonimmune chronic idiopathic neutropenia of adults, which are heterogeneous hematopoietic disorders that cause predispositions to leukemias and infections. Multiple alternatively spliced variants, encoding the same protein, have been identified for this gene.?

如果您使用该产品47575发表了文章,请通知我们,让我们可以引用您的文献。

et al,Identification of markers associated with brain metastasis from breast cancer through bioinformatics analysis and verification in clinical samples , (2021),
PMID: 33842237

注释

应用

  • WB免疫印迹
  • IHC免疫组化
  • IF免疫荧光
  • ICC免疫细胞化学
  • FC流式细胞
  • IP免疫沉淀
  • E酶联免疫吸附法
  • DB免疫斑点法
  • ChIP染色质免疫沉淀
  • GICA胶体金免疫层析法
  • NC阴性对照

种属反应性

  • Hu
  • Ms小鼠
  • Rt大鼠
  • Dm果蝇
  • C线虫
  • Mk
  • Rb
  • B
  • D
  • P
  • Hm仓鼠
  • ChHm中国仓鼠
  • Chk
;

联系我们

Location :

南京市高新开发区星火路10号人才大厦C座

Phone :

400-9961-933
025-58868422

Email Address

info@sabbiotech.com