免费电话:400-9961-933
邮箱:info@sabbiotech.com
欢迎光临本站
川博智能体 English
位置: 首页 > 多克隆抗体 > PDIK1L Antibody

PDIK1L Antibody#47982

是否有货: Yes
产品详情

产品名称PDIK1L Antibody

来源种属Rabbit

克隆性Polyclonal

纯化The antibody was purified by immunogen affinity chromatography.

应用WB, IHC

种属反应性Human

特异性Recognizes endogenous levels of PDIK1L protein.

免疫原描述KLH-conjugated synthetic peptide encompassing a sequence within the center region of human PDIK1L.

基因/蛋白名称PDIK1L

标记Unconjugated

别名CLIK1L; Serine/threonine-protein kinase PDIK1L; PDLIM1-interacting kinase 1-like

数据库入口号Swiss-Prot#:Q8N165
NCBI Gene ID:149420

Uniprot Q8N165

计算分子量39KD

浓度1 mg/ml

配方Liquid in 0.42% Potassium phosphate, 0.87% Sodium chloride, pH 7.3, 30% glycerol, and 0.01% sodium azide.

保存Shipped at 4˚C. Upon delivery aliquot and store at -20˚C for one year. Avoid freeze/thaw cycles.

应用详情

Western blotting:1:500 - 1:1000
Immunohistochemistry:1:50 - 1:100

Western blot analysis of PDIK1L expression in LO2 (A), HEK293T (B), COS7 (C) whole cell lysates
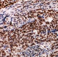
Immunohistochemical analysis of PDIK1L staining in human breast cancer formalin fixed paraffin embedded tissue section. The section was pre-treated using heat mediated antigen retrieval with sodium citrate buffer (pH 6.0). The section was then incubated with the antibody at room temperature and detected using an HRP conjugated compact polymer system. DAB was used as the chromogen. The section was then counterstained with haematoxylin and mounted with DPX.

如果您使用该产品47982发表了文章,请通知我们,让我们可以引用您的文献。

et al,Metabolic subtyping reveals PDIK1L as a dual-functional regulator of progression and PARP inhibitor sensitivity in prostate cancer , (2025),
PMID: 41262299

注释

应用

  • WB免疫印迹
  • IHC免疫组化
  • IF免疫荧光
  • ICC免疫细胞化学
  • FC流式细胞
  • IP免疫沉淀
  • E酶联免疫吸附法
  • DB免疫斑点法
  • ChIP染色质免疫沉淀
  • GICA胶体金免疫层析法
  • NC阴性对照

种属反应性

  • Hu
  • Ms小鼠
  • Rt大鼠
  • Dm果蝇
  • C线虫
  • Mk
  • Rb
  • B
  • D
  • P
  • Hm仓鼠
  • ChHm中国仓鼠
  • Chk
;

联系我们

Location :

南京市高新开发区星火路10号人才大厦C座

Phone :

400-9961-933
025-58868422

Email Address

info@sabbiotech.com