免费电话:400-9961-933
邮箱:info@sabbiotech.com
欢迎光临本站
川博智能体 English
位置: 首页 > 鼠单克隆抗体 > Protein FAM38A Antibody

Protein FAM38A Antibody#48073

是否有货: Yes
产品详情

产品名称Protein FAM38A Antibody

克隆号2018/2/10

来源种属Mouse

克隆性Monoclonal

纯化ProA affinity purified

应用WB, IHC, ICC

种属反应性Human;Mouse

免疫原描述Recombinant protein.

标记Unconjugated

别名DHS
Fam38a
Family with sequence similarity 38 member A
KIAA0233
Membrane protein induced by beta-amyloid treatment
Mib
PIEZ1_HUMAN
Piezo-type mechanosensitive ion channel component 1
PIEZO1
Protein FAM38A
Protein FAM38B
Protein PIEZO1

数据库入口号Swiss-Prot#:Q92508

Uniprot Q92508

计算分子量287 kDa

配方1*PBS (pH7.4), 0.2% BSA, 50% Glycerol. Preservative: 0.05% Sodium Azide.

保存Store at -20˚C

应用详情
WB 1:500-1:2000; IHC 1:200-1:600; ICC 1:100;
Western blot analysis of FAM38A on MCF-7 cell lysates with Mouse anti-FAM38A antibody at 1/500 dilution.
Immunocytochemistry analysis of Hela cells with FAM38A at 1/100 dilution.
Immunocytochemistry analysis of A431 cells with FAM38A at 1/100 dilution.
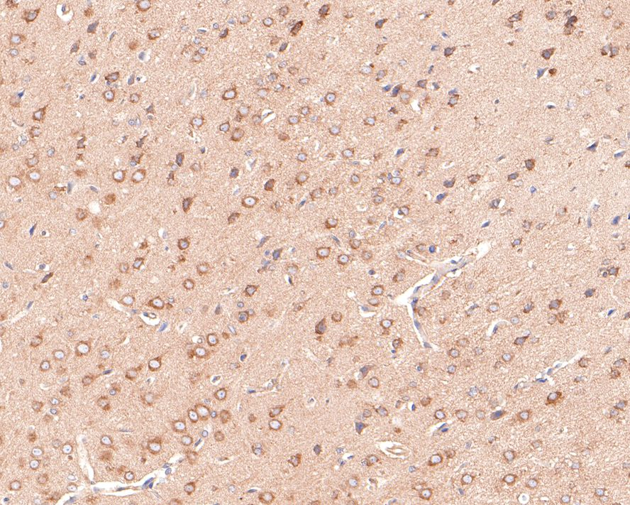
Immunohistochemical analysis of paraffin-embedded mouse brain tissue with FAM38A at 1/200 dilution.
Immunohistochemical analysis of paraffin-embedded rat brain tissue with FAM38A at 1/600 dilution.
Pore-forming subunit of a mechanosensitive non-specific cation channel. Generates currents characterized by a linear current-voltage relationship that are sensitive to ruthenium red and gadolinium. Plays a key role in epithelial cell adhesion by maintaining integrin activation through R-Ras recruitment to the ER, most probably in its activated state, and subsequent stimulation of calpain signaling. In the kidney, may contribute to the detection of intraluminal pressure changes and to urine flow sensing. Acts as shear-stress sensor that promotes endothelial cell organization and alignment in the direction of blood flow through calpain activation. Plays a key role in blood vessel formation and vascular structure in both development and adult physiology.

如果您使用该产品48073发表了文章,请通知我们,让我们可以引用您的文献。

et al,Impaired AT2 to AT1 cell transition in PM2.5-induced mouse model of chronic obstructive pulmonary disease. In Respir Res on 2022 Mar 25 by Hongjiao Yu, Yingnan Lin,et al..PMID:35337337 , (2022),
PMID: 35337337

注释

应用

  • WB免疫印迹
  • IHC免疫组化
  • IF免疫荧光
  • ICC免疫细胞化学
  • FC流式细胞
  • IP免疫沉淀
  • E酶联免疫吸附法
  • DB免疫斑点法
  • ChIP染色质免疫沉淀
  • GICA胶体金免疫层析法
  • NC阴性对照

种属反应性

  • Hu
  • Ms小鼠
  • Rt大鼠
  • Dm果蝇
  • C线虫
  • Mk
  • Rb
  • B
  • D
  • P
  • Hm仓鼠
  • ChHm中国仓鼠
  • Chk
;

联系我们

Location :

南京市高新开发区星火路10号人才大厦C座

Phone :

400-9961-933
025-58868422

Email Address

info@sabbiotech.com