免费电话:400-9961-933
邮箱:info@sabbiotech.com
欢迎光临本站
川博智能体 English
位置: 首页 > 多克隆抗体 > IGF1R Antibody

IGF1R Antibody#48175

是否有货: Yes
产品详情

产品名称IGF1R Antibody

来源种属Rabbit

克隆性Polyclonal

纯化ProA affinity purified

应用WB;IHC

种属反应性Human

免疫原描述peptide

标记Unconjugated

别名CD221 antibody
CD221 antigen antibody
IGF 1 receptor antibody
IGF 1R antibody
IGF I receptor antibody
IGF-I receptor antibody
Igf1r antibody
IGF1R_HUMAN antibody
IGFIR antibody
IGFIRC antibody
IGFR antibody
Insulin like growth factor 1 receptor antibody
Insulin like growth factor 1 receptor precursor antibody
Insulin-like growth factor 1 receptor beta chain antibody
Insulin-like growth factor I receptor antibody
JTK13 antibody
MGC142170 antibody
MGC142172 antibody
MGC18216 antibody
Soluble IGF1R variant 1 antibody
Soluble IGF1R variant 2 antibody

数据库入口号Swiss-Prot#:P08069

Uniprot P08069

计算分子量154 kDa

实际分子量95kDa

配方1*TBS (pH7.4), 0.5%BSA, 40%Glycerol. Preservative: 0.05% Sodium Azide.

保存Store at -20˚C

应用详情
WB 1:500-1:2000; IHC 1:100-1:300; IF 1:50-1:300;
Western blot analysis of extracts from various cells using IGF1R Antibody.
Western blot analysis of extracts from Hela and A375 cells using IGF1R Antibody.
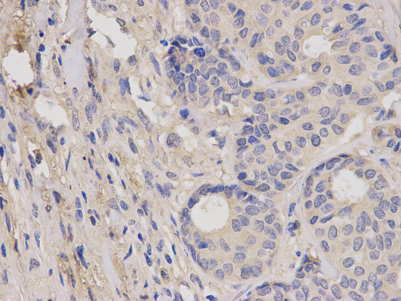
Immunohistochemical analysis of paraffin-embedded human breast carcinoma tissue using anti- IGF1R rabbit polyclonal antibody.
Immunohistochemistry analysis of paraffin-embedded human brain tissue using IGF1R Antibody.
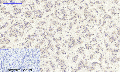
Immunohistochemistry analysis of paraffin-embedded Human liver cancer tissue using IGF1R Antibody.
Immunofluorescence staining of MCF-7 cells with IGF1R Antibody , counter-stained with DAPI.
Immunofluorescent analysis of IGF1R Antibody staining in HeLa cells.
Type I insulin-like growth factor receptor (IGF-IR) is a transmembrane receptor tyrosine kinase that is widely expressed in many cell lines and cell types within fetal and postnatal tissues. The activated IGF1R is involved in cell growth and survival control. IGF1R is crucial for tumor transformation and survival of malignant cell. Ligand binding activates the receptor kinase, leading to receptor autophosphorylation, and tyrosines phosphorylation of multiple substrates, that function as signaling adapter proteins including, the insulin-receptor substrates (IRS1/2), Shc and 14-3-3 proteins. Phosphorylation of IRSs proteins lead to the activation of two main signaling pathways: the PI3K-AKT/PKB pathway and the Ras-MAPK pathway. The result of activating the MAPK pathway is increased cellular proliferation, whereas activating the PI3K pathway inhibits apoptosis and stimulates protein synthesis.

如果您使用该产品48175发表了文章,请通知我们,让我们可以引用您的文献。

et al,Investigating Serum and Placental Levels of IGF-1 and IGF-1R in Preeclampsia Patients and Their Clinical Implications. , (2025),
PMID: 40099233

注释

应用

  • WB免疫印迹
  • IHC免疫组化
  • IF免疫荧光
  • ICC免疫细胞化学
  • FC流式细胞
  • IP免疫沉淀
  • E酶联免疫吸附法
  • DB免疫斑点法
  • ChIP染色质免疫沉淀
  • GICA胶体金免疫层析法
  • NC阴性对照

种属反应性

  • Hu
  • Ms小鼠
  • Rt大鼠
  • Dm果蝇
  • C线虫
  • Mk
  • Rb
  • B
  • D
  • P
  • Hm仓鼠
  • ChHm中国仓鼠
  • Chk
;

联系我们

Location :

南京市高新开发区星火路10号人才大厦C座

Phone :

400-9961-933
025-58868422

Email Address

info@sabbiotech.com