免费电话:400-9961-933
邮箱:info@sabbiotech.com
欢迎光临本站
川博智能体 English
位置: 首页 > 多克隆抗体 > Bcl-2 Antibody

Bcl-2 Antibody#48496

是否有货: Yes
产品详情

产品名称Bcl-2 Antibody

来源种属Rabbit

克隆性Polyclonal

纯化Peptide affinity purified

应用WB;ICC;;IHC;FC

种属反应性Human

免疫原描述Synthetic peptide (KLH-coupled) within human Bcl-2 aa 20-80.

标记Unconjugated

别名Apoptosis regulator Bcl 2 antibody
Apoptosis regulator Bcl-2 antibody
Apoptosis regulator Bcl2 antibody
AW986256 antibody
B cell CLL/lymphoma 2 antibody
B cell leukemia/lymphoma 2 antibody
Bcl-2 antibody
Bcl2 antibody
BCL2_HUMAN antibody
C430015F12Rik antibody
D630044D05Rik antibody
D830018M01Rik antibody
Leukemia/lymphoma, B-cell, 2 antibody
Oncogene B-cell leukemia 2 antibody
PPP1R50 antibody
Protein phosphatase 1, regulatory subunit 50 antibody

数据库入口号Swiss-Prot#:P10415

Uniprot P10415

计算分子量26kDa

实际分子量26kDa

配方1*TBS (pH7.4), 1%BSA, 40%Glycerol. Preservative: 0.05% Sodium Azide.

保存Store at -20˚C

应用详情
WB 1:500-1:2000; IHC 1:50-1:200; ICC 1:50-1:200; FC: 1:50-1:100
Western blot analysis of extracts from 293T, Hela and HL-60 cells using BCL-2 Antibody.
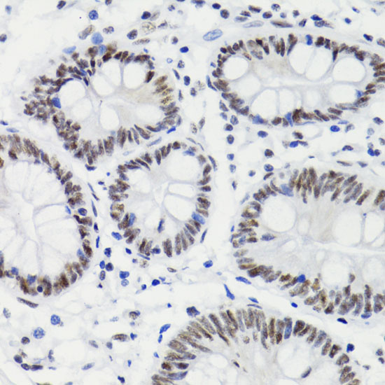
Immunohistochemical analysis of paraffin-embedded human colon carcinoma tissue using Bcl-2 Antibody. Counter stained with hematoxylin.
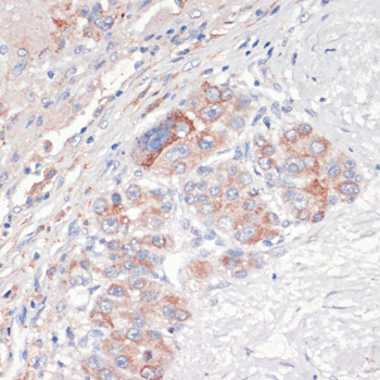
Immunohistochemical analysis of paraffin-embedded human tonsil tissue using Bcl-2 Antibody. Counter stained with hematoxylin.
Immunohistochemical analysis of paraffin-embedded human stomach tissue using Bcl-2 Antibody.
Immunohistochemistry of paraffin-embedded human liver cancer using Bcl-2 Antibody at dilution of 1:200 (40x lens).
Immunofluorescence analysis of methanol-fixed Hela cells (green) using Bcl-2 Antibody.
Immunofluorescence analysis of methanol-fixed A549 cells using Bcl-2 Antibody.
Damage to the Bcl-2 gene has been identified as a cause of a number of cancers, including melanoma, breast, prostate, chronic lymphocytic leukemia, and lung cancer, and a possible cause of schizophrenia and autoimmunity. It is also a cause of resistance to cancer treatments. Antibodies to Bcl-2 can be used with immunohistochemistry to identify cells containing the antigen. In healthy tissue, these antibodies will react with B-cells in the mantle zone, as well as some T-cells. However, there is a considerable increase in positive cells in follicular lymphoma, as well as many other forms of cancer. In some cases, the presence or absence of Bcl-2 staining in biopsies may be significant for the patient's prognosis or likelihood of relapse.

如果您使用该产品48496发表了文章,请通知我们,让我们可以引用您的文献。

et al,5鈥慛itro锟?锟?3鈥憄henylpropylamino) benzoic acid induces apoptosis of human lens epithelial cells via reactive oxygen species and endoplasmic reticulum stress through the mitochondrial apoptosis pathway. In Int J Mol Med on 2021 Apr by Lingzhi Niu, Xin Liu,et al..PMID:33604681 , (2021),
PMID: 33604681
et al,Neferine, a novel ROCK1-targeting inhibitor, blocks EMT process and induces apoptosis in non-small cell lung cancer. In J Cancer Res Clin Oncol on 2022 Aug 19 by Po Hu, Peng Wan, et al..PMID:35984492 , (2022),
PMID: 35984492
et al,RHOBTB2 enhances cell proliferation of acute myeloid leukemia by modulating Hippo-YAP1 signaling and dependent of KLHL13 , (2025),
PMID: 41107424

注释

应用

  • WB免疫印迹
  • IHC免疫组化
  • IF免疫荧光
  • ICC免疫细胞化学
  • FC流式细胞
  • IP免疫沉淀
  • E酶联免疫吸附法
  • DB免疫斑点法
  • ChIP染色质免疫沉淀
  • GICA胶体金免疫层析法
  • NC阴性对照

种属反应性

  • Hu
  • Ms小鼠
  • Rt大鼠
  • Dm果蝇
  • C线虫
  • Mk
  • Rb
  • B
  • D
  • P
  • Hm仓鼠
  • ChHm中国仓鼠
  • Chk
;

联系我们

Location :

南京市高新开发区星火路10号人才大厦C座

Phone :

400-9961-933
025-58868422

Email Address

info@sabbiotech.com