免费电话:400-9961-933
邮箱:info@sabbiotech.com
欢迎光临本站
川博智能体 English
位置: 首页 > 多克隆抗体 > GRP78 Antibody

GRP78 Antibody#48584

是否有货: Yes
产品详情

产品名称GRP78 Antibody

来源种属Rabbit

克隆性Polyclonal

纯化Peptide affinity purified

应用WB;ICC;IHC;FC

种属反应性Human;Mouse;Rat

免疫原描述peptide

标记Unconjugated

别名78 kDa glucose regulated protein antibody
78 kDa glucose-regulated protein antibody
AL022860 antibody
AU019543 antibody
BIP antibody
D2Wsu141e antibody
D2Wsu17e antibody
Endoplasmic reticulum lumenal Ca(2+)-binding protein grp78 antibody
Endoplasmic reticulum lumenal Ca2+ binding protein grp78 antibody
Epididymis secretory sperm binding protein Li 89n antibody
FLJ26106 antibody
Glucose Regulated Protein 78kDa antibody
GRP 78 antibody
GRP-78 antibody
GRP78 antibody
GRP78_HUMAN antibody
Heat shock 70 kDa protein 5 antibody
Heat Shock 70kDa Protein 5 antibody
Heat shock protein family A (Hsp70) member 5 antibody
HEL S 89n antibody
Hsce70 antibody
HSPA 5 antibody
HSPA5 antibody
Immunoglobulin Heavy Chain Binding Protein antibody
Immunoglobulin heavy chain-binding protein antibody
mBiP antibody
MIF2 antibody
Sez7 antibody

数据库入口号Swiss-Prot#:P11021

Uniprot P11021

计算分子量78kDa

实际分子量72-78kDa

配方1*TBS (pH7.4), 1%BSA, 40%Glycerol. Preservative: 0.05% Sodium Azide.

保存Store at -20˚C

应用详情
WB: 1:2,000
IHC: 1:200
ICC: 1:200

FC: 1:100-1:200
Western blot analysis of extracts from various cell lines using GRP78 antibody.
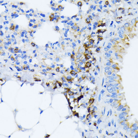
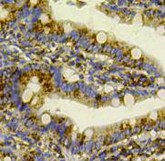
Immunohistochemical analysis of paraffin-embedded rat small intestine tissue using GRP78 Antibody.
Immunohistochemical analysis of paraffin-embedded human breast carcinoma tissue using GRP78 Antibody.
Immunohistochemical analysis of paraffin-embedded mouse lung tissue using GRP78 Antibody.
Immunohistochemical analysis of paraffin-embedded human colon cancer tissue using GRP78 Antibody.
Immunofluorescence analysis of Hela cells (green) using GRP78 Antibody.
Immunofluorescence analysis of SK-BR-3 cells (green) using GRP78 Antibody.
Immunofluorescence analysis of HepG2 cells (green) using GRP78 Antibody.
Immunofluorescence analysis of Hela cells (green) using GRP78 Antibody.Blue: DAPI for nuclear staining.
Binding immunoglobulin protein (BiP) also known as 78 kDa glucose-regulated protein (GRP-78) or heat shock 70 kDa protein 5 (HSPA5) is a protein that in humans is encoded by the HSPA5 gene. BiP is a HSP70 molecular chaperone located in the lumen of the endoplasmic reticulum (ER) that binds newly synthesized proteins as they are translocated into the ER, and maintains them in a state competent for subsequent folding and oligomerization. BiP is also an essential component of the translocation machinery, as well as playing a role in retrograde transport across the ER membrane of aberrant proteins destined for degradation by the proteasome. Like many stress and heat shock proteins, BiP/GRP78 has potent immunological activity when released from the internal environment of the cell into the extracelluar space.specifically, it feeds anti-inflammatory and pro-resolutory signals into immune networks, thus helping to resolve inflammation.

如果您使用该产品48584发表了文章,请通知我们,让我们可以引用您的文献。

et al,Peroxiredoxin 4 deficiency induces accelerated ovarian aging through destroyed proteostasis in granulosa cells. In Biochim Biophys Acta Mol Basis Dis on 2024 Oct by Xiaofei Zou, Xiuru Liang et al..PMID:38971505 , (2024),
PMID: 38971505

注释

应用

  • WB免疫印迹
  • IHC免疫组化
  • IF免疫荧光
  • ICC免疫细胞化学
  • FC流式细胞
  • IP免疫沉淀
  • E酶联免疫吸附法
  • DB免疫斑点法
  • ChIP染色质免疫沉淀
  • GICA胶体金免疫层析法
  • NC阴性对照

种属反应性

  • Hu
  • Ms小鼠
  • Rt大鼠
  • Dm果蝇
  • C线虫
  • Mk
  • Rb
  • B
  • D
  • P
  • Hm仓鼠
  • ChHm中国仓鼠
  • Chk
;

联系我们

Location :

南京市高新开发区星火路10号人才大厦C座

Phone :

400-9961-933
025-58868422

Email Address

info@sabbiotech.com