免费电话:400-9961-933
邮箱:info@sabbiotech.com
欢迎光临本站
川博智能体 English
位置: 首页 > 重组兔单抗 > ERK1 Rabbit mAb

ERK1 Rabbit mAb#48700

是否有货: Yes
产品详情

产品名称ERK1 Rabbit mAb

克隆号SP05-09

来源种属Recombinant Rabbit

克隆性 Monoclonal antibody

纯化ProA affinity purified

应用WB, ICC/IF, IHC

种属反应性Human;Mouse;Rat

免疫原描述recombinant protein

标记Unconjugated

别名ERK 1 antibody
ERK antibody
ERK-1 antibody
ERK1 antibody
ERT 2 antibody
ERT2 antibody
Extracellular Signal Regulated Kinase 1 antibody
Extracellular signal related kinase 1 antibody
Extracellular signal-regulated kinase 1 antibody
HGNC6877 antibody
HS44KDAP antibody
HUMKER1A antibody
Insulin Stimulated MAP2 Kinase antibody
Insulin-stimulated MAP2 kinase antibody
MAP kinase 1 antibody
MAP kinase 3 antibody
MAP Kinase antibody
MAP kinase isoform p44 antibody
MAPK 1 antibody
MAPK 3 antibody
MAPK antibody
MAPK1 antibody
Mapk3 antibody
MGC20180 antibody
Microtubule Associated Protein 2 Kinase antibody
Microtubule-associated protein 2 kinase antibody
Mitogen Activated Protein Kinase 3 antibody
Mitogen-activated protein kinase 1 antibody
Mitogen-activated protein kinase 3 antibody
MK03_HUMAN antibody
OTTHUMP00000174538 antibody
OTTHUMP00000174541 antibody
p44 ERK1 antibody
p44 MAPK antibody
p44-ERK1 antibody
p44-MAPK antibody
P44ERK1 antibody
P44MAPK antibody
PRKM 3 antibody
PRKM3 antibody
Protein Kinase Mitogen Activated 3 antibody

数据库入口号Swiss-Prot#:P27361

Uniprot P27361

计算分子量43 kDa

配方1*TBS (pH7.4), 1%BSA, 40%Glycerol. Preservative: 0.05% Sodium Azide.

保存Store at -20˚C

应用详情
WB: 1:1,000-1:2,000
IHC: 1:50-1:200
ICC: 1:50-1:200

Western blot analysis of ERK1 on different lysates using anti-ERK1 antibody at 1/1,000 dilution. Positive control:
Lane 1: Hela
Lane 2: Jurkat
Lane 3: K562
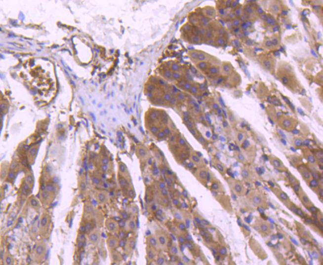
Immunohistochemical analysis of paraffin-embedded mouse stomach tissue using anti-ERK1 antibody. Counter stained with hematoxylin.
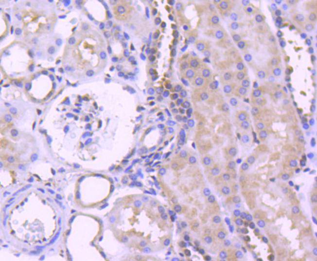
Immunohistochemical analysis of paraffin-embedded human kidney tissue using anti-ERK1 antibody. Counter stained with hematoxylin.
ICC staining ERK1 in Hela cells (green). The nuclear counter stain is DAPI (blue). Cells were fixed in paraformaldehyde, permeabilised with 0.25% Triton X100/PBS.
ICC staining ERK1 in A431 cells (green). The nuclear counter stain is DAPI (blue). Cells were fixed in paraformaldehyde, permeabilised with 0.25% Triton X100/PBS.
ICC staining ERK1 in NIH/3T3 cells (green). The nuclear counter stain is DAPI (blue). Cells were fixed in paraformaldehyde, permeabilised with 0.25% Triton X100/PBS.
All lanes : ERK1 Rabbit mAb at 1/1k dilution
Lane 1 : Wild-type HCT-116 cell lysate
Lane 2 : ERK1 knockout HCT-116 cell lysate
Lysates/proteins at 20 µg per lane.
Western blot analysis of ERK1 in NIH-3T3 cell lysate.
ERK 1 antibody ERK antibody ERK-1 antibody ERK1 antibody ERT 2 antibody ERT2 antibody Extracellular Signal Regulated Kinase 1 antibody Extracellular signal related kinase 1 antibody Extracellular signal-regulated kinase 1 antibody HGNC6877 antibody HS44KDAP antibody HUMKER1A antibody Insulin Stimulated MAP2 Kinase antibody Insulin-stimulated MAP2 kinase antibody MAP kinase 1 antibody MAP kinase 3 antibody MAP Kinase antibody MAP kinase isoform p44 antibody MAPK 1 antibody MAPK 3 antibody MAPK antibody MAPK1 antibody Mapk3 antibody MGC20180 antibody Microtubule Associated Protein 2 Kinase antibody Microtubule-associated protein 2 kinase antibody Mitogen Activated Protein Kinase 3 antibody Mitogen-activated protein kinase 1 antibody Mitogen-activated protein kinase 3 antibody MK03_HUMAN antibody OTTHUMP00000174538 antibody OTTHUMP00000174541 antibody p44 ERK1 antibody p44 MAPK antibody p44-ERK1 antibody p44-MAPK antibody P44ERK1 antibody P44MAPK antibody PRKM 3 antibody PRKM3 antibody Protein Kinase Mitogen Activated 3 antibody

如果您使用该产品48700发表了文章,请通知我们,让我们可以引用您的文献。

et al,A study on mechanism of SIRT3 inducing endocrine drug resistance in breast cancer via deacetylating YME1L1 , (2024),
PMID:

注释

应用

  • WB免疫印迹
  • IHC免疫组化
  • IF免疫荧光
  • ICC免疫细胞化学
  • FC流式细胞
  • IP免疫沉淀
  • E酶联免疫吸附法
  • DB免疫斑点法
  • ChIP染色质免疫沉淀
  • GICA胶体金免疫层析法
  • NC阴性对照

种属反应性

  • Hu
  • Ms小鼠
  • Rt大鼠
  • Dm果蝇
  • C线虫
  • Mk
  • Rb
  • B
  • D
  • P
  • Hm仓鼠
  • ChHm中国仓鼠
  • Chk
;

联系我们

Location :

南京市高新开发区星火路10号人才大厦C座

Phone :

400-9961-933
025-58868422

Email Address

info@sabbiotech.com