免费电话:400-9961-933
邮箱:info@sabbiotech.com
欢迎光临本站
川博智能体 English
位置: 首页 > 重组兔单抗 > PI 3 Kinase Class 3 Rabbit mAb

PI 3 Kinase Class 3 Rabbit mAb#48800

是否有货: Yes
产品详情

产品名称PI 3 Kinase Class 3 Rabbit mAb

克隆号SY0286

来源种属Recombinant Rabbit

克隆性 Monoclonal antibody

纯化ProA affinity purified

应用WB, IHC

种属反应性Human;Mouse;Rat

免疫原描述recombinant protein

标记Unconjugated

别名hVps34 antibody
MGC61518 antibody
Phosphatidylinositol 3 kinase catalytic subunit type 3 antibody
Phosphatidylinositol 3 kinase class 3 antibody
Phosphatidylinositol 3 kinase p100 subunit antibody
Phosphatidylinositol 3-kinase catalytic subunit type 3 antibody
Phosphatidylinositol 3-kinase p100 subunit antibody
Phosphoinositide 3 kinase class 3 antibody
Phosphoinositide-3-kinase class 3 antibody
PI3 kinase type 3 antibody
PI3-kinase type 3 antibody
PI3K type 3 antibody
Pik3c3 antibody
PK3C3_HUMAN antibody
PtdIns 3 kinase type 3 antibody
PtdIns-3-kinase type 3 antibody
Vps 34 antibody
Vps34 antibody

数据库入口号Swiss-Prot#:Q8NEB9

Uniprot Q8NEB9

计算分子量100 kDa

配方1*TBS (pH7.4), 1%BSA, 40%Glycerol. Preservative: 0.05% Sodium Azide.

保存Store at -20˚C

应用详情
WB: 1:1,000
IHC: 1:50-1:200


Western blot analysis of PI 3 Kinase Class 3 on C2C12 cells lysates using anti-PI 3 Kinase Class 3 antibody at 1/1,000 dilution.
Immunohistochemical analysis of paraffin-embedded rat brain tissue using anti-PI 3 Kinase Class 3 antibody. Counter stained with hematoxylin.
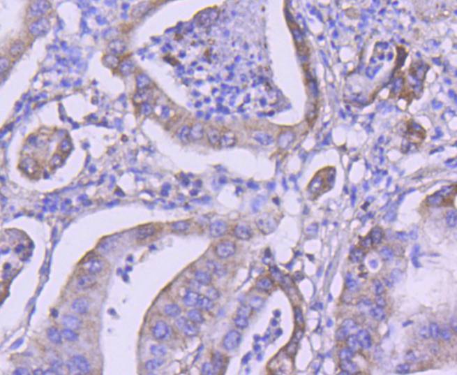
Immunohistochemical analysis of paraffin-embedded human gastric carcinoma tissue using anti-PI 3 Kinase Class 3 antibody. Counter stained with hematoxylin.
Immunohistochemical analysis of paraffin-embedded mouse brain tissue using anti-PI 3 Kinase Class 3 antibody. Counter stained with hematoxylin.
Phosphatidylinositol 3-kinases (PI3Ks) phosphorylate the 3' OH position of the inositol ring of inositol lipids. PI 3-kinase p100 (phosphoinositide-3-kinase p100 subunit), also known as hVps34 or PIK3C3 (phosphoinositide-3-kinase, class III), is a member of the PI3/PI4-kinase family. It is ubiquitously expressed with predominant expression in skeletal muscle and is believed to participate in endosome to lysosome transport, multivesicular body formation, autophagy and retrograde endosome to Golgi transport. PI 3-kinase p100 is the catalytic subunit of class III PI3Ks and forms a heterodimer with p150, a regulatory subunit of class 3 PI3Ks. PI 3-kinase p100 exclusively phosphorylates phosphatidylinositol to produce PtdIns3P. Unlike class I PI3Ks, whose activities are enhanced in the presence of magnesium, PI 3-kinase p100 activity is enhanced by manganese. Its activity can also be regulated by nutrients, suggesting an important role of PI-3 kinase p100 in the regulation of mTOR protein synthesis and autophagy.

如果您使用该产品48800发表了文章,请通知我们,让我们可以引用您的文献。

et al,Ursolic and oleanolic acids suppress MNNG induced malignant transformation of human gastric mucosal epithelium by regulating the PI3 K/AKT pathway , (2025),
PMID: 40594240

注释

应用

  • WB免疫印迹
  • IHC免疫组化
  • IF免疫荧光
  • ICC免疫细胞化学
  • FC流式细胞
  • IP免疫沉淀
  • E酶联免疫吸附法
  • DB免疫斑点法
  • ChIP染色质免疫沉淀
  • GICA胶体金免疫层析法
  • NC阴性对照

种属反应性

  • Hu
  • Ms小鼠
  • Rt大鼠
  • Dm果蝇
  • C线虫
  • Mk
  • Rb
  • B
  • D
  • P
  • Hm仓鼠
  • ChHm中国仓鼠
  • Chk
;

联系我们

Location :

南京市高新开发区星火路10号人才大厦C座

Phone :

400-9961-933
025-58868422

Email Address

info@sabbiotech.com