免费电话:400-9961-933
邮箱:info@sabbiotech.com
欢迎光临本站
川博智能体 English
位置: 首页 > 重组兔单抗 > SHP2 Rabbit mAb

SHP2 Rabbit mAb#49096

是否有货: Yes
产品详情

产品名称SHP2 Rabbit mAb

克隆号SN07-32

来源种属Recombinant Rabbit

克隆性 Monoclonal antibody

纯化ProA affinity purified

应用WB, ICC/IF, IHC, IP

种属反应性Human

免疫原描述recombinant protein

标记Unconjugated

别名BPTP3 antibody
CFC antibody
JMML antibody
METCDS antibody
MGC14433 antibody
NS1 antibody
OTTHUMP00000166107 antibody
OTTHUMP00000166108 antibody
Protein tyrosine phosphatase 2 antibody
Protein tyrosine phosphatase 2C antibody
Protein tyrosine phosphatase non receptor type 11 antibody
Protein-tyrosine phosphatase 1D antibody
Protein-tyrosine phosphatase 2C antibody
PTN11_HUMAN antibody
PTP-1D antibody
PTP-2C antibody
PTP1D antibody
PTP2C antibody
PTPN11 antibody
SAP2 antibody
SH-PTP2 antibody
SH-PTP3 antibody
SH2 domain containing protein tyrosine phosphatase 2 antibody
SHP 2 antibody
SHP-2 antibody
Shp2 antibody
SHPTP2 antibody
SHPTP3 antibody
Syp antibody
Tyrosine-protein phosphatase non-receptor type 11 antibody

数据库入口号Swiss-Prot#:Q06124

Uniprot Q06124

计算分子量70 kDa

配方1*TBS (pH7.4), 1%BSA, 40%Glycerol. Preservative: 0.05% Sodium Azide.

保存Store at -20˚C

应用详情
WB: 1:1,000-1:2,000
IHC: 1:50-1:200
ICC: 1:50-1:200

Western blot analysis of SHP2 on different lysates using anti-SHP2 antibody at 1/1,000 dilution. Positive control:
Lane 1: Hela
Lane 2: 293
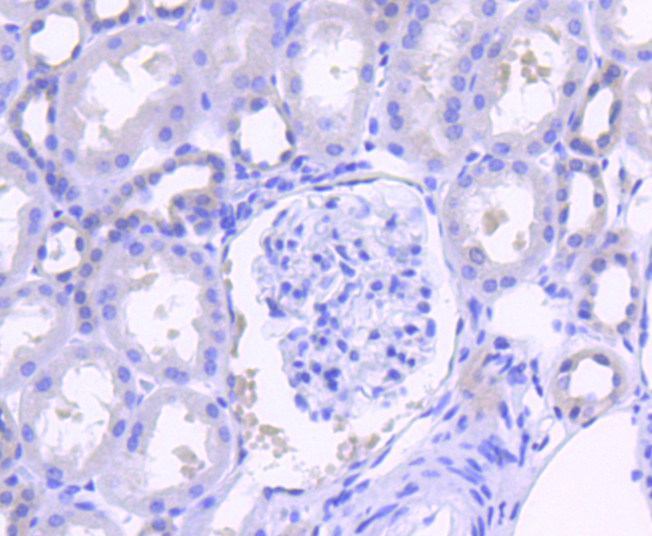
Immunohistochemical analysis of paraffin-embedded human kidney tissue using anti-SHP2 antibody. Counter stained with hematoxylin.
ICC staining SHP2 in Hela cells (green). The nuclear counter stain is DAPI (blue). Cells were fixed in paraformaldehyde, permeabilised with 0.25% Triton X100/PBS.
ICC staining SHP2 in MCF-7 cells (green). The nuclear counter stain is DAPI (blue). Cells were fixed in paraformaldehyde, permeabilised with 0.25% Triton X100/PBS.
ICC staining SHP2 in NIH/3T3 cells (green). The nuclear counter stain is DAPI (blue). Cells were fixed in paraformaldehyde, permeabilised with 0.25% Triton X100/PBS.
The steady state of protein tyrosyl phosphorylation in cells is regulated by the opposing action of tyrosine kinases and protein tyrosine phosphatases (PTPs). Several groups have independently identified a non-transmembrane PTP, designated SH-PTP1 (also known as PTP1C, HCP and SHP), which is primarily expressed in hematopoietic cells and characterized by the presence of two SH2 domains N-terminal to the PTP domain. SH2 domains generally mediate the association of regulatory molecules with specific phosphotyrosine-containing sites on autophosphorylated receptors, thereby controlling the initial interaction of receptors with these substrates. A second and much more widely expressed PTP with SH2 domains, SH-PTP2 (also designated PTP1D and Syp), has been identified. Strong sequence similarity between SH-PTP2 and the Drosophila gene corkscrew (CSW) and their similar patterns of expression suggest that SH-PTP2 is the human corkscrew homolog.

如果您使用该产品49096发表了文章,请通知我们,让我们可以引用您的文献。

et al,Grass carp (Ctenopharyngodon idellus) SHP2 suppresses IFN I expression via decreasing the phosphorylation of GSK3 beta in a non-contact manner , (2021),
PMID: 34265416

注释

应用

  • WB免疫印迹
  • IHC免疫组化
  • IF免疫荧光
  • ICC免疫细胞化学
  • FC流式细胞
  • IP免疫沉淀
  • E酶联免疫吸附法
  • DB免疫斑点法
  • ChIP染色质免疫沉淀
  • GICA胶体金免疫层析法
  • NC阴性对照

种属反应性

  • Hu
  • Ms小鼠
  • Rt大鼠
  • Dm果蝇
  • C线虫
  • Mk
  • Rb
  • B
  • D
  • P
  • Hm仓鼠
  • ChHm中国仓鼠
  • Chk
;

联系我们

Location :

南京市高新开发区星火路10号人才大厦C座

Phone :

400-9961-933
025-58868422

Email Address

info@sabbiotech.com