免费电话:400-9961-933
邮箱:info@sabbiotech.com
欢迎光临本站
川博智能体 English
位置: 首页 > 重组兔单抗 > TRAF2 Rabbit mAb

TRAF2 Rabbit mAb#49161

是否有货: Yes
产品详情

产品名称TRAF2 Rabbit mAb

克隆号SD205-06

来源种属Recombinant Rabbit

克隆性 Monoclonal antibody

纯化ProA affinity purified

应用WB, ICC/IF, IHC, IP, FC

种属反应性Human;Mouse;Rat

免疫原描述recombinant protein

标记Unconjugated

别名E3 ubiquitin-protein ligase TRAF2 antibody
MGC:45012 antibody
OTTHUMP00000022625 antibody
OTTHUMP00000064745 antibody
TNF receptor associated factor 2 antibody
TNF receptor-associated factor 2 antibody
TNF receptor-associated protein antibody
TRAF 2 antibody
TRAF2 antibody
TRAF2_HUMAN antibody
TRAP 3 antibody
TRAP antibody
TRAP3 antibody
Tumor necrosis factor type 2 receptor associated protein 3 antibody
Tumor necrosis factor type 2 receptor-associated protein 3 antibody

数据库入口号Swiss-Prot#:Q12933

Uniprot Q12933

计算分子量56 kDa

配方1*TBS (pH7.4), 1%BSA, 40%Glycerol. Preservative: 0.05% Sodium Azide.

保存Store at -20˚C

应用详情
WB: 1:1,000-5,000
IHC: 1:50-1:200
ICC: 1:50-1:200

FC: 1:50-1:100
Western blot analysis of TRAF2 on Hela cells lysates using anti-TRAF2 antibody at 1/1,000 dilution.
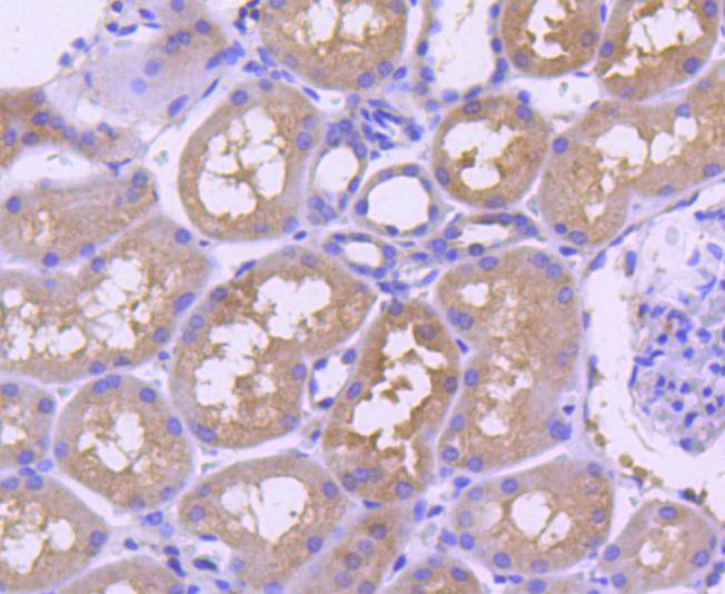
Immunohistochemical analysis of paraffin-embedded human kidney tissue using anti-TRAF2 antibody. Counter stained with hematoxylin.
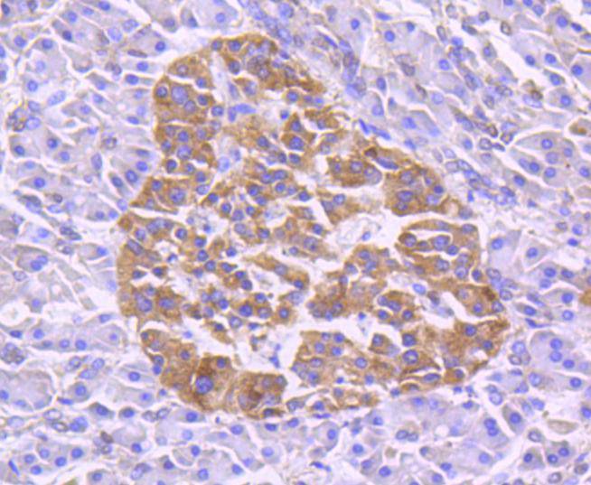
Immunohistochemical analysis of paraffin-embedded human pancreas tissue using anti-TRAF2 antibody. Counter stained with hematoxylin.
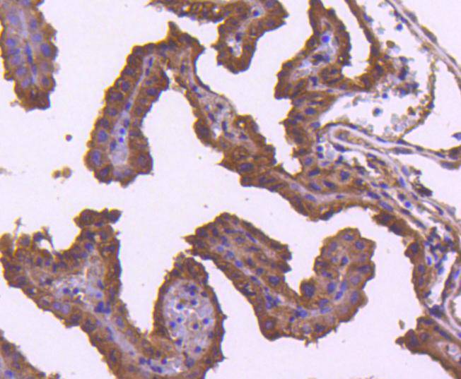
Immunohistochemical analysis of paraffin-embedded mouse placenta tissue using anti-TRAF2 antibody. Counter stained with hematoxylin.
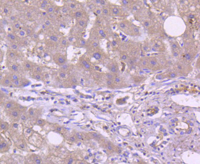
Immunohistochemical analysis of paraffin-embedded human liver tissue using anti-TRAF2 antibody. Counter stained with hematoxylin.
ICC staining TRAF2 in Hela cells (green). The nuclear counter stain is DAPI (blue). Cells were fixed in paraformaldehyde, permeabilised with 0.25% Triton X100/PBS.
ICC staining TRAF2 in PANC-1 cells (green). The nuclear counter stain is DAPI (blue). Cells were fixed in paraformaldehyde, permeabilised with 0.25% Triton X100/PBS.
ICC staining TRAF2 in RH-35 cells (green). The nuclear counter stain is DAPI (blue). Cells were fixed in paraformaldehyde, permeabilised with 0.25% Triton X100/PBS.
Flow cytometric analysis of Hela cells with TRAF2 antibody at 1/50 dilution (red) compared with an unlabelled control (cells without incubation with primary antibody; black). Alexa Fluor 488-conjugated goat anti rabbit IgG was used as the secondary antibody.
Tumor necrosis factor (TNF)-activated cell signaling is mediated primarily through the TNF receptor 1 (TNF-R1) and, to a lesser extent, TNF-R2. Both TNF receptors are members of the expanding TNF receptor superfamily, which includes the FAS antigen and CD40. Potential insight into an understanding of TNF receptor-mediated signaling was provided by the identification of two related proteins, TRAF1 and TRAF2 (for TNF receptor-associated factors 1 and 2, respectively). Both function to form heterodimeric complexes and associate with the cytoplasmic domain of TNF-R2. A third member of this protein family, alternatively designated CD40 bp, CRAF1, LAP1 or TRAF3, has been identified and shown to associate with the cytoplasmic domain of CD40. The similarity between a specific region of TRAF3 with regions of TRAF1 and TRAF2 define a ��TRAF-C�� domain that is necessary and sufficient for CD40 binding and homodimerization.

如果您使用该产品49161发表了文章,请通知我们,让我们可以引用您的文献。

et al,Artemisinin alleviates astrocyte overactivation and neuroinflammation by modulating the IRE1/NF-κB signaling pathway in in vitro and in vivo Alzheimer's disease models. , (2025),
PMID: 39826816

注释

应用

  • WB免疫印迹
  • IHC免疫组化
  • IF免疫荧光
  • ICC免疫细胞化学
  • FC流式细胞
  • IP免疫沉淀
  • E酶联免疫吸附法
  • DB免疫斑点法
  • ChIP染色质免疫沉淀
  • GICA胶体金免疫层析法
  • NC阴性对照

种属反应性

  • Hu
  • Ms小鼠
  • Rt大鼠
  • Dm果蝇
  • C线虫
  • Mk
  • Rb
  • B
  • D
  • P
  • Hm仓鼠
  • ChHm中国仓鼠
  • Chk
;

联系我们

Location :

南京市高新开发区星火路10号人才大厦C座

Phone :

400-9961-933
025-58868422

Email Address

info@sabbiotech.com