免费电话:400-9961-933
邮箱:info@sabbiotech.com
欢迎光临本站
川博智能体 English
位置: 首页 > 重组兔单抗 > FGFR1 Rabbit mAb

FGFR1 Rabbit mAb#49175

是否有货: Yes
产品详情

产品名称FGFR1 Rabbit mAb

克隆号SD08-25

来源种属Recombinant Rabbit

克隆性Monoclonal antibody

纯化Affinity-chromatography

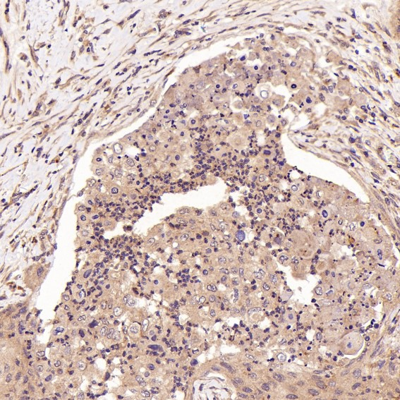
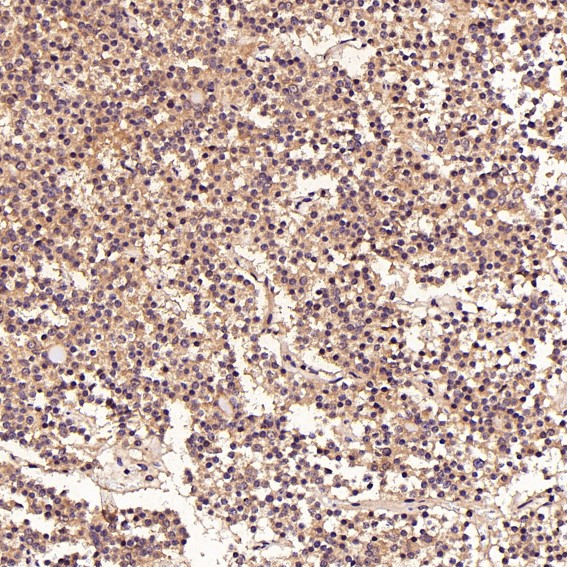
应用WB;IHC;ICC/IF

种属反应性Human

免疫原类型peptide

免疫原描述A synthesized peptide derived from human FGFR1

标记Unconjugated

别名Basic fibroblast growth factor receptor 1 antibody
bFGF-R-1 antibody
BFGFR antibody
CD331 antibody
CEK antibody
FGFBR antibody
FGFR 1 antibody
FGFR-1 antibody
FGFR1 antibody
FGFR1/PLAG1 fusion antibody
FGFR1_HUMAN antibody
fibroblast growth factor receptor 1 antibody
FLG antibody
FLT-2 antibody
FLT2 antibody
Fms-like gene antibody
Fms-like tyrosine kinase 2 antibody
fms-related tyrosine kinase 2 antibody
HBGFR antibody
heparin-binding growth factor receptor antibody
HH2 antibody
HRTFDS antibody
hydroxyaryl-protein kinase antibody
KAL2 antibody
N-SAM antibody
OGD antibody
Proto-oncogene c-Fgr antibody

数据库入口号Swiss-Prot#:P11362

Uniprot P11362

计算分子量92 kDa

实际分子量120, 140 kDa

浓度2mg/ml

配方Rabbit IgG in 10mM phosphate buffered saline , pH 7.4, 150mM sodium chloride, 0.05% BSA, 0.02% sodium azide and 50% glycerol.

保存Store at +4°C for short term. Store at -20°C for long term. Avoid freeze/thaw cycle.

应用详情
WB 1:1000-1:2000; IHC 1:50-1:100; ICC/IF 1:50-1:200
Immunofluorescent analysis of HeLa cells, using FGFR1 Antibody.
Immunohistochemical analysis of paraffin-embedded Rat pancreas, using the Antibody at 1:50 dilution.
Immunohistochemical analysis of paraffin-embedded Human thymoma, using the Antibody at 1:50 dilution.
Immunohistochemical analysis of paraffin-embedded Human pituitary tumor, using the Antibody at 1:50 dilution.
Western blot analysis of FGFR1 expression in SH-SY5Y cell lysate.
Tyrosine-protein kinase that acts as a cell-surface receptor for fibroblast growth factors and plays an essential role in the regulation of embryonic development, cell proliferation, differentiation and migration.

如果您使用该产品49175发表了文章,请通知我们,让我们可以引用您的文献。

et al,METTL3 suppresses anlotinib sensitivity by regulating m6A modification of FGFR3 in oral squamous cell carcinoma. In Cancer Cell Int on 2022 Sep 27 by Jie Chen, Shuai Li,et al..PMID:36167542 , (2022),
PMID: 36167542

注释

应用

  • WB免疫印迹
  • IHC免疫组化
  • IF免疫荧光
  • ICC免疫细胞化学
  • FC流式细胞
  • IP免疫沉淀
  • E酶联免疫吸附法
  • DB免疫斑点法
  • ChIP染色质免疫沉淀
  • GICA胶体金免疫层析法
  • NC阴性对照

种属反应性

  • Hu
  • Ms小鼠
  • Rt大鼠
  • Dm果蝇
  • C线虫
  • Mk
  • Rb
  • B
  • D
  • P
  • Hm仓鼠
  • ChHm中国仓鼠
  • Chk
;

联系我们

Location :

南京市高新开发区星火路10号人才大厦C座

Phone :

400-9961-933
025-58868422

Email Address

info@sabbiotech.com