免费电话:400-9961-933
邮箱:info@sabbiotech.com
欢迎光临本站
川博智能体 English
位置: 首页 > 重组兔单抗 > SOX10 Rabbit mAb

SOX10 Rabbit mAb#49193

是否有货: Yes
产品详情

产品名称SOX10 Rabbit mAb

克隆号SD204-04

来源种属Recombinant Rabbit

克隆性 Monoclonal antibody

纯化ProA affinity purified

应用WB, ICC/IF, IHC

种属反应性Human;Mouse;Rat

免疫原描述recombinant protein

标记Unconjugated

别名DOM antibody
DOM antibody
Dominant megacolon mouse human homolog of antibody
MGC15649 antibody
PCWH antibody
SOX 10 antibody
SOX10 antibody
SOX10_HUMAN antibody
SRY (sex determining region Y) box 10 antibody
SRY (sex determining region Y) box 10 antibody
SRY box 10 antibody
SRY box containing gene 10 antibody
SRY related HMG box gene 10 antibody
SRY related HMG box gene 10 antibody
Transcription factor SOX 10 antibody
Transcription factor SOX-10 antibody
WS2E antibody
WS4 antibody
WS4C antibody

数据库入口号Swiss-Prot#:P56693

Uniprot P56693

计算分子量60 kDa

配方1*TBS (pH7.4), 1%BSA, 40%Glycerol. Preservative: 0.05% Sodium Azide.

保存Store at -20˚C

应用详情
WB: 1:1,000
IHC: 1:50-1:200
ICC: 1:50-1:200

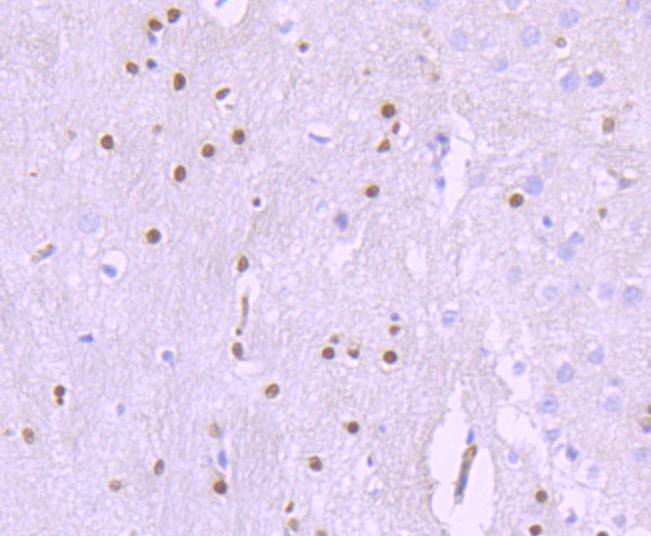
Immunohistochemical analysis of paraffin-embedded rat brain tissue using anti-SOX10 antibody. Counter stained with hematoxylin.
Immunohistochemical analysis of paraffin-embedded mouse brain tissue using anti-SOX10 antibody. Counter stained with hematoxylin.
ICC staining SOX10 in HepG2 cells (green). The nuclear counter stain is DAPI (blue). Cells were fixed in paraformaldehyde, permeabilised with 0.25% Triton X100/PBS.
ICC staining SOX10 in NCCIT cells (green). The nuclear counter stain is DAPI (blue). Cells were fixed in paraformaldehyde, permeabilised with 0.25% Triton X100/PBS.
All lanes use the Antibody at 1:1K dilution for 1 hour at room temperature.
All lanes use the Antibody at 1:1K dilution for 1 hour at room temperature.
Sox genes comprise a family of genes that are related to the mammalian sex determining gene SRY. These genes similarly contain sequences that encode for the HMG-box domain, which is responsible for the sequence-specific DNA-binding activity. Sox genes encode putative transcriptional regulators implicated in the decision of cell fates during development and the control of diverse developmental processes. The highly complex group of Sox genes cluster at least 40 different loci that rapidly diverged in various animal lineages. At present, 30 Sox genes have been identified. Members of this family have been shown to be conserved during evolution and to play key roles during animal development. Some are involved in human diseases, including sex reversal.

如果您使用该产品49193发表了文章,请通知我们,让我们可以引用您的文献。

et al,One-Pot Preparation of an Antioxidant, Anti-Inflammatory, and Analgesic Hydrogel for Oral Mucosal Lesions , (2025),
PMID: 40522041

注释

应用

  • WB免疫印迹
  • IHC免疫组化
  • IF免疫荧光
  • ICC免疫细胞化学
  • FC流式细胞
  • IP免疫沉淀
  • E酶联免疫吸附法
  • DB免疫斑点法
  • ChIP染色质免疫沉淀
  • GICA胶体金免疫层析法
  • NC阴性对照

种属反应性

  • Hu
  • Ms小鼠
  • Rt大鼠
  • Dm果蝇
  • C线虫
  • Mk
  • Rb
  • B
  • D
  • P
  • Hm仓鼠
  • ChHm中国仓鼠
  • Chk
;

联系我们

Location :

南京市高新开发区星火路10号人才大厦C座

Phone :

400-9961-933
025-58868422

Email Address

info@sabbiotech.com