免费电话:400-9961-933
邮箱:info@sabbiotech.com
欢迎光临本站
川博智能体 English
位置: 首页 > 重组兔单抗 > SOD2 Rabbit mAb

SOD2 Rabbit mAb#49265

是否有货: Yes
产品详情

产品名称SOD2 Rabbit mAb

克隆号JJ089-02

来源种属Recombinant Rabbit

克隆性 Monoclonal antibody

纯化ProA affinity purified

应用WB, IHC

种属反应性Human;Mouse;Rat

免疫原描述recombinant protein

标记Unconjugated

别名Indophenoloxidase B antibody
IPO B antibody
IPOB antibody
Manganese containing superoxide dismutase antibody
Manganese SOD antibody
Manganese superoxide dismutase antibody
Mangano superoxide dismutase antibody
Mn SOD antibody
Mn superoxide dismutase antibody
MNSOD antibody
MVCD6 antibody
SOD 2 antibody
SOD2 antibody
SODM_HUMAN antibody
Superoxide dismutase [Mn] mitochondrial antibody
Superoxide dismutase [Mn], mitochondrial antibody
Superoxide dismutase 2 mitochondrial antibody

数据库入口号Swiss-Prot#:P04179

Uniprot P04179

计算分子量21 kDa

配方1*TBS (pH7.4), 1%BSA, 40%Glycerol. Preservative: 0.05% Sodium Azide.

保存Store at -20˚C

应用详情
WB: 1:1,000-1:2,000
IHC: 1:50-1:200


Western blot analysis of SOD2 on different lysates using anti-SOD2 antibody at 1/1,000 dilution. Positive control:
Lane 1: Mouse brain
Lane 2: SH-SY-5Y
Lane 3: Human heart
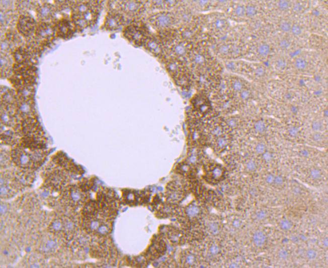
Immunohistochemical analysis of paraffin-embedded human liver tissue using anti-SOD2 antibody. Counter stained with hematoxylin.
Immunohistochemical analysis of paraffin-embedded human kidney tissue using anti-SOD2 antibody. Counter stained with hematoxylin.
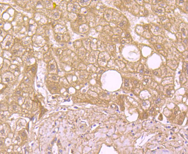
Immunohistochemical analysis of paraffin-embedded mouse liver tissue using anti-SOD2 antibody. Counter stained with hematoxylin.
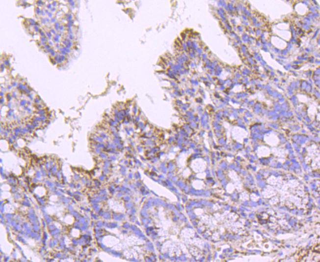
Immunohistochemical analysis of paraffin-embedded mouse colon tissue using anti-SOD2 antibody. Counter stained with hematoxylin.
Immunohistochemical analysis of paraffin-embedded mouse heart tissue using anti-SOD2 antibody. Counter stained with hematoxylin.
The superoxide dismutase family is composed of three metalloenzymes (SOD-1, SOD-2 and SOD-3) that catalyze the oxido-reduction of reactive oxygen species (ROS) such as superoxide anion. The SOD-2 precursor is a 222 amino acid protein that is encoded by nuclear chromatin, synthesized in the cytosol and imported posttranslationally into the mitochondrial matrix. Unlike SOD-1, which is a homodimeric cytosolic Cu-Zn enzyme, SOD-2 is a homotetrameric manganese enzyme (also known as MnSOD) that functions in the mitochondrion. ROS are implicated in a wide range of degenerative processes, including Alzheimer��s disease, Parkinson��s disease and ischemic heart disease. Homozygous mutant mice, which lack SOD-2, exhibit dilated cardiomyopathy, accumulation of lipid in liver and skeletal muscle, metabolic acidosis, oxidative DNA damage and respiratory chain deficiencies in heart and skeletal muscle. Polymorphisms in the SOD-2 gene have also been implicated in nonfamilial, idiopathic, dilated cardiomyopathy in humans.

如果您使用该产品49265发表了文章,请通知我们,让我们可以引用您的文献。

et al,Classical prescription Daqinjiao decoction inhibit cerebral ischemia/reperfusion induced necroptosis and ferroptosis through multiple mechanisms. , (2025),
PMID: 39736347

注释

应用

  • WB免疫印迹
  • IHC免疫组化
  • IF免疫荧光
  • ICC免疫细胞化学
  • FC流式细胞
  • IP免疫沉淀
  • E酶联免疫吸附法
  • DB免疫斑点法
  • ChIP染色质免疫沉淀
  • GICA胶体金免疫层析法
  • NC阴性对照

种属反应性

  • Hu
  • Ms小鼠
  • Rt大鼠
  • Dm果蝇
  • C线虫
  • Mk
  • Rb
  • B
  • D
  • P
  • Hm仓鼠
  • ChHm中国仓鼠
  • Chk
;

联系我们

Location :

南京市高新开发区星火路10号人才大厦C座

Phone :

400-9961-933
025-58868422

Email Address

info@sabbiotech.com