免费电话:400-9961-933
邮箱:info@sabbiotech.com
欢迎光临本站
川博智能体 English
位置: 首页 > 重组兔单抗 > CDC42 Rabbit mAb

CDC42 Rabbit mAb#49282

是否有货: Yes
产品详情

产品名称CDC42 Rabbit mAb

克隆号JJ086-04

来源种属Recombinant Rabbit

克隆性Monoclonal antibody

纯化ProA affinity purified

应用WB, IHC, IP, FC

种属反应性Human;Mouse;Rat

免疫原描述recombinant protein

标记Unconjugated

别名CDC42 antibody
CDC42_HUMAN antibody
CDC42Hs antibody
Cell division control protein 42 homolog antibody
Cell division cycle 42 (GTP binding protein 25kDa) antibody
Cell division cycle 42 antibody
dJ224A6.1.1 (cell division cycle 42 (GTP-binding protein, 25kD)) antibody
dJ224A6.1.2 (cell division cycle 42 (GTP-binding protein, 25kD)) antibody
G25K antibody
G25K GTP-binding protein antibody
Growth regulating protein antibody
GTP binding protein 25kDa antibody
Small GTP binding protein CDC42 antibody
TKS antibody

数据库入口号Swiss-Prot#:P60953

Uniprot P60953

计算分子量21 kDa

实际分子量21 kDa

配方1*TBS (pH7.4), 1%BSA, 40%Glycerol. Preservative: 0.05% Sodium Azide.

保存Store at -20˚C

应用详情
WB: 1:1,000
IHC: 1:50-1:200


FC: 1:50-1:100
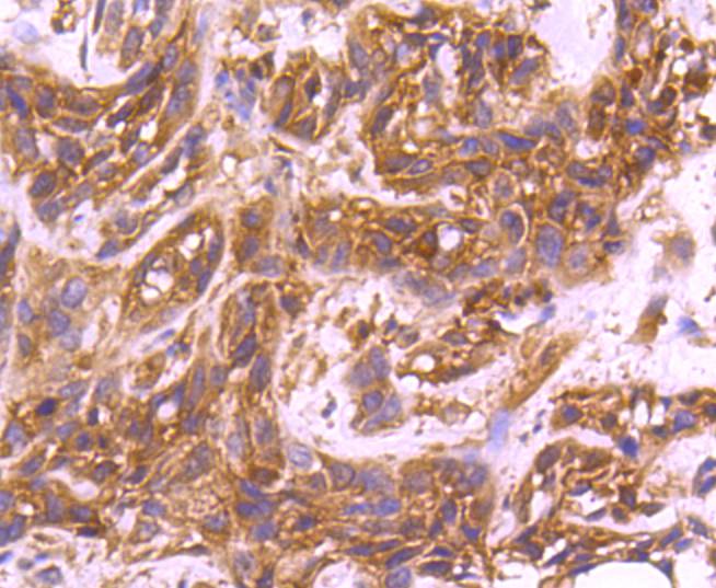
Immunohistochemical analysis of paraffin-embedded human breast carcinoma tissue using anti-CDC42 antibody. Counter stained with hematoxylin.
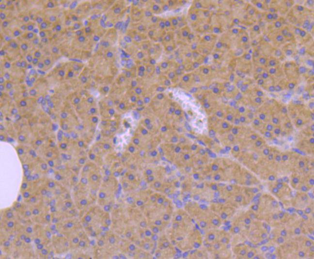
Immunohistochemical analysis of paraffin-embedded human pancreas tissue using anti-CDC42 antibody. Counter stained with hematoxylin.
Immunohistochemical analysis of paraffin-embedded mouse pancreas tissue using anti-CDC42 antibody. Counter stained with hematoxylin.
Flow cytometric analysis of Hela cells with CDC42 antibody at 1/50 dilution (red) compared with an unlabelled control (cells without incubation with primary antibody; black). Alexa Fluor 488-conjugated goat anti rabbit IgG was used as the secondary antibody.
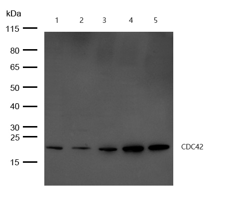
All lanes: CDC42 Rabbit mAb at 1/1k dilution
Lane 1 : Hela whole cell lysates
Lane 2 : JK whole cell lysates
Lane 3 : C6 whole cell lysates
Lane 4 : Mouse brain lysates
Lane 5 : Rat brain lysates
Lysates/proteins at 20 µg per lane.
Secondary
All lanes : Goat Anti-Rabbit IgG H&L (HRP) at 1/20000 dilution
Predicted band size: 21 kDa
Observed band size: 21 kDa
Exposure time: 3 seconds
All lanes:CDC42 Rabbit mAb at 1/1k dilution
Lane 1 : Wild-type Hela cell lysate
Lane 2 : CDC42 knockdown Hela cell lysate
Lysates/proteins at 20 µg per lane.
The superfamily of GTP-binding proteins, for which the Ras proteins are prototypes, has been implicated in regulation of diverse biological activities involving various aspects of cell growth and division. One mammalian member of the family, Cdc42, has an amino acid sequence that is similar to those of various members of the Ras superfamily proteins, including N-, K- and H-Ras, Rho proteins and the Rac proteins. On the basis of in vitro phosphorylation studies, it has been suggested that human Cdc42 may function in the signaling pathway of the EGF receptor or related growth factor receptor protein kinases. The Dbl oncogene has been shown to specifically catalyze dissociation of GDP from human Cdc42.

如果您使用该产品49282发表了文章,请通知我们,让我们可以引用您的文献。

et al,A transcribed ultraconserved noncoding RNA, uc.285+, promotes colorectal cancer proliferation through dual targeting of CDC42 by directly binding mRNA and protein. In Transl Res on 2024 Aug by Sixian Chen, Qingyun Zhao,et al..PMID:38552953 , (2024),
PMID: 38552953
et al,A transcribed ultraconserved noncoding RNA, uc.285+, promotes colorectal cancer proliferation through dual targeting of CDC42 by directly binding mRNA and protein , (2024),
PMID:

注释

应用

  • WB免疫印迹
  • IHC免疫组化
  • IF免疫荧光
  • ICC免疫细胞化学
  • FC流式细胞
  • IP免疫沉淀
  • E酶联免疫吸附法
  • DB免疫斑点法
  • ChIP染色质免疫沉淀
  • GICA胶体金免疫层析法
  • NC阴性对照

种属反应性

  • Hu
  • Ms小鼠
  • Rt大鼠
  • Dm果蝇
  • C线虫
  • Mk
  • Rb
  • B
  • D
  • P
  • Hm仓鼠
  • ChHm中国仓鼠
  • Chk
;

联系我们

Location :

南京市高新开发区星火路10号人才大厦C座

Phone :

400-9961-933
025-58868422

Email Address

info@sabbiotech.com