免费电话:400-9961-933
邮箱:info@sabbiotech.com
欢迎光临本站
川博智能体 English
位置: 首页 > 重组兔单抗 > p38 MAPK Rabbit mAb

p38 MAPK Rabbit mAb#49379

是否有货: Yes
产品详情

产品名称p38 MAPK Rabbit mAb

克隆号JF55-07

来源种属Recombinant Rabbit

克隆性 Monoclonal antibody

纯化ProA affinity purified

应用WB, ICC/IF, IHC

种属反应性Human;Mouse;Rat

免疫原描述recombinant protein

标记Unconjugated

别名CSAID-binding protein antibody
Csaids binding protein antibody
CSBP antibody
CSBP1 antibody
CSBP2 antibody
CSPB1 antibody
Cytokine suppressive anti-inflammatory drug-binding protein antibody
EXIP antibody
MAP kinase 14 antibody
MAP kinase MXI2 antibody
MAP kinase p38 alpha antibody
MAPK 14 antibody
MAPK14 antibody
MAX-interacting protein 2 antibody
Mitogen-activated protein kinase 14 antibody
Mitogen-activated protein kinase p38 alpha antibody
MK14_HUMAN antibody
Mxi2 antibody
p38 antibody
p38 MAP kinase antibody
p38 mitogen activated protein kinase antibody
p38ALPHA antibody
p38alpha Exip antibody
PRKM14 antibody
PRKM15 antibody
RK antibody
SAPK2A antibody
Stress-activated protein kinase 2a antibody

数据库入口号Swiss-Prot#:Q16539

Uniprot Q16539

计算分子量41 kDa

配方1*TBS (pH7.4), 1%BSA, 40%Glycerol. Preservative: 0.05% Sodium Azide.

保存Store at -20˚C

应用详情
WB: 1:1,000-1:2,000
IHC: 1:50-1:200
ICC: 1:50-1:200

Western blot analysis of p38 MAPK on different lysates using anti-p38 MAPK antibody at 1/1,000 dilution. Positive control:
Lane 1: NIH/3T3
Lane 2: Human brain
Lane 3: 293
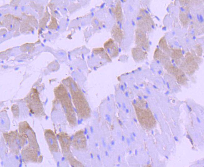
Immunohistochemical analysis of paraffin-embedded mouse heart tissue using anti-p38 MAPK antibody. Counter stained with hematoxylin.
ICC staining p38 MAPK in Hela cells (red). The nuclear counter stain is DAPI (blue). Cells were fixed in paraformaldehyde, permeabilised with 0.25% Triton X100/PBS.
ICC staining p38 MAPK in NIH/3T3 cells (red). The nuclear counter stain is DAPI (blue). Cells were fixed in paraformaldehyde, permeabilised with 0.25% Triton X100/PBS.
ICC staining p38 MAPK in 293T cells (red). The nuclear counter stain is DAPI (blue). Cells were fixed in paraformaldehyde, permeabilised with 0.25% Triton X100/PBS.
MAP (mitogen-activated protein) kinases play a significant role in many biological processes, including cell adhesion and spreading, cell differentiation and apoptosis. p38α, p38β and p38γ, also known as MAPK14, MAPK11 and MAPK12, respectively, each contain one protein kinase domain and belong to the MAP kinase family. Expressed in different areas throughout the body with common expression patterns in heart, p38 proteins use magnesium as a cofactor to catalyze the ATP-dependent phosphorylation of target proteins. Via their catalytic activity, p38α, p38β and p38γ are involved in a variety of events throughout the cell, including signal transduction pathways, cytokine production and cell proliferation and differentiation. The p38 proteins are subject to phosphoryation on Thr and Tyr residues, an event which is thought to activate the phosphorylated protein.

如果您使用该产品49379发表了文章,请通知我们,让我们可以引用您的文献。

et al,Gingerenone A Attenuates Ulcerative Colitis via Targeting IL-17RA to Inhibit Inflammation and Restore Intestinal Barrier Function. In Adv Sci (Weinh) on 2024 Jul by Jian Liang, Weigang Dai,et al..PMID:38639442 , (2024),
PMID: 38639442

注释

应用

  • WB免疫印迹
  • IHC免疫组化
  • IF免疫荧光
  • ICC免疫细胞化学
  • FC流式细胞
  • IP免疫沉淀
  • E酶联免疫吸附法
  • DB免疫斑点法
  • ChIP染色质免疫沉淀
  • GICA胶体金免疫层析法
  • NC阴性对照

种属反应性

  • Hu
  • Ms小鼠
  • Rt大鼠
  • Dm果蝇
  • C线虫
  • Mk
  • Rb
  • B
  • D
  • P
  • Hm仓鼠
  • ChHm中国仓鼠
  • Chk
;

联系我们

Location :

南京市高新开发区星火路10号人才大厦C座

Phone :

400-9961-933
025-58868422

Email Address

info@sabbiotech.com