免费电话:400-9961-933
邮箱:info@sabbiotech.com
欢迎光临本站
川博智能体 English
位置: 首页 > 重组兔单抗 > Dnmt1 Rabbit mAb

Dnmt1 Rabbit mAb#49391

是否有货: Yes
产品详情

产品名称Dnmt1 Rabbit mAb

克隆号JF09-89

来源种属Recombinant Rabbit

克隆性 Monoclonal antibody

纯化ProA affinity purified

应用WB, ICC/IF, IHC

种属反应性Human;Mouse;Rat

免疫原描述recombinant protein

标记Unconjugated

别名ADCADN antibody
AIM antibody
CXXC finger protein 9 antibody
CXXC-type zinc finger protein 9 antibody
CXXC9 antibody
DNA (cytosine 5 ) methyltransferase 1 antibody
DNA (cytosine-5)-methyltransferase 1 antibody
DNA methyltransferase 1 antibody
DNA methyltransferase HsaI antibody
DNA methyltransferase M.HsaI. antibody
DNA MTase antibody
DNA MTase HsaI antibody
DNMT 1 antibody
DNMT antibody
Dnmt1 antibody
DNMT1_HUMAN antibody
Dnmt1o antibody
FLJ16293 antibody
HSN1E antibody
M.HsaI antibody
MCMT antibody
Met1 antibody
MGC104992 antibody
mMmul antibody
MommeD2 antibody

数据库入口号Swiss-Prot#:P26358

Uniprot P26358

计算分子量183 kDa

配方1*TBS (pH7.4), 1%BSA, 40%Glycerol. Preservative: 0.05% Sodium Azide.

保存Store at -20˚C

应用详情
WB: 1:1,000-1:2,000
IHC: 1:50-1:200
ICC: 1:50-1:200

Western blot analysis of Dnmt1 on HepG2 cells lysates using anti-Dnmt1 antibody at 1/1,000 dilution.
Immunohistochemical analysis of paraffin-embedded mouse placenta tissue using anti-Dnmt1 antibody. Counter stained with hematoxylin.
ICC staining Dnmt1 in Hela cells (red). The nuclear counter stain is DAPI (blue). Cells were fixed in paraformaldehyde, permeabilised with 0.25% Triton X100/PBS.
ICC staining Dnmt1 in HepG2 cells (red). The nuclear counter stain is DAPI (blue). Cells were fixed in paraformaldehyde, permeabilised with 0.25% Triton X100/PBS.
ICC staining Dnmt1 in 293T cells (red). The nuclear counter stain is DAPI (blue). Cells were fixed in paraformaldehyde, permeabilised with 0.25% Triton X100/PBS.
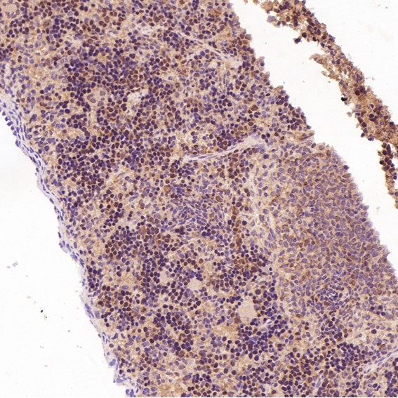
Immunohistochemical analysis of paraffin-embedded Rat spleen, using the Antibody at 1:100 dilution.
Immunohistochemical analysis of paraffin-embedded Human lung large cell cancer, using the Antibody at 1:100 dilution.
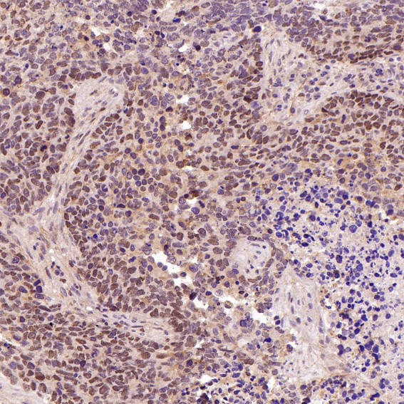
Immunohistochemical analysis of paraffin-embedded Human glioblastoma, using the Antibody at 1:100 dilution.
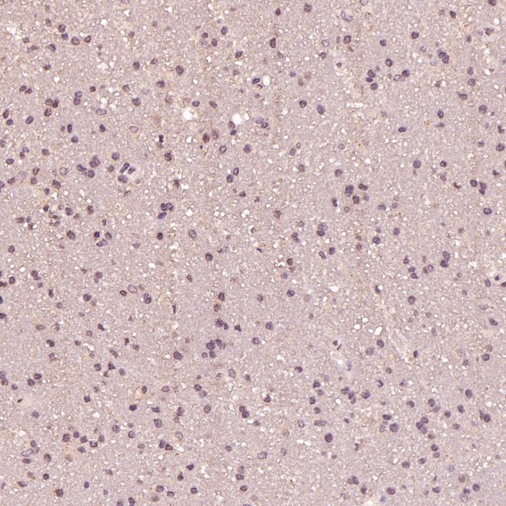
Immunohistochemical analysis of paraffin-embedded Mouse lung, using the Antibody at 1:100 dilution.
Methylation at the 5'-position of cytosine is the only known naturally occurring covalent modification of the mammalian genome. DNA methylation requires the enzymatic activity of DNA 5-cytosine methyltransferase (Dnmt) proteins, which catalyze the transfer of a methyl group from S-adenosyl methionine to the 5'-position of cytosines residing in the dinucleotide CpG motif, and this methylation results in transcriptional repression of the target gene. The Dnmt enzymes are encoded by independent genes. Dnmt1 is the most abundant, and it preferentially methylates hemimethylated DNA and coordinates gene expression during development. Additional mammalian Dnmt proteins include Dnmt2 and Dnmt3. Dnmt2 lacks the large N-terminal regulator domain of Dnmt1, is expressed at substantially lower levels in adult tissues, and is likely involved in methylating newly integrated retroviral DNA. Dnmt3a and Dnmt3b are encoded by two distinct genes, but both are abundantly expressed in embryonic stem cells, where they also methylate CpG motifs on DNA.

如果您使用该产品49391发表了文章,请通知我们,让我们可以引用您的文献。

et al,Effect of mobile phone signal radiation on epigenetic modulation in the hippocampus of Wistar rat. In Environ Res on 2021 Jan by Ranjeet Kumar, Pravin S Deshmukh,et al..PMID:33035560 , (2021),
PMID: 33035560

注释

应用

  • WB免疫印迹
  • IHC免疫组化
  • IF免疫荧光
  • ICC免疫细胞化学
  • FC流式细胞
  • IP免疫沉淀
  • E酶联免疫吸附法
  • DB免疫斑点法
  • ChIP染色质免疫沉淀
  • GICA胶体金免疫层析法
  • NC阴性对照

种属反应性

  • Hu
  • Ms小鼠
  • Rt大鼠
  • Dm果蝇
  • C线虫
  • Mk
  • Rb
  • B
  • D
  • P
  • Hm仓鼠
  • ChHm中国仓鼠
  • Chk
;

联系我们

Location :

南京市高新开发区星火路10号人才大厦C座

Phone :

400-9961-933
025-58868422

Email Address

info@sabbiotech.com