免费电话:400-9961-933
邮箱:info@sabbiotech.com
欢迎光临本站
川博智能体 English
位置: 首页 > 重组兔单抗 > Hepcidin Rabbit mAb

Hepcidin Rabbit mAb#49534

是否有货: Yes
产品详情

产品名称Hepcidin Rabbit mAb

克隆号JA11-27

来源种属Recombinant Rabbit

克隆性 Monoclonal antibody

纯化ProA affinity purified

应用WB, IHC

种属反应性Human;Rat

免疫原描述recombinant protein

标记Unconjugated

别名Hamp antibody
HEPC antibody
HEPC_HUMAN antibody
Hepc20 antibody
Hepc25 antibody
Hepcidin-20 antibody
HFE2B antibody
LEAP-1 antibody
LEAP1 antibody
Liver-expressed antimicrobial peptide 1 antibody
PLTR antibody
Putative liver tumor regressor antibody

数据库入口号Swiss-Prot#:P81172

Uniprot P81172

计算分子量3 kDa

配方1*TBS (pH7.4), 1%BSA, 40%Glycerol. Preservative: 0.05% Sodium Azide.

保存Store at -20˚C

应用详情
WB: 1:500-1:1,000
IHC: 1:50-1:200


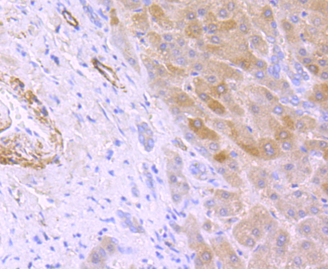
Immunohistochemical analysis of paraffin-embedded human liver tissue using anti- Hepcidin antibody. Counter stained with hematoxylin.
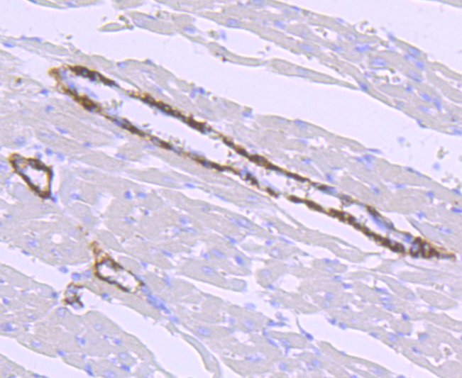
Immunohistochemical analysis of paraffin-embedded rat heart tissue using anti- Hepcidin antibody. Counter stained with hematoxylin.
Immunohistochemical analysis of paraffin-embedded rat brain tissue using anti- Hepcidin antibody. Counter stained with hematoxylin.
Hepcidin, also known as HAMP, HEPC, LEAP1 or HFE2B, is an 84 amino acid secreted protein that regulates iron-related signaling events. Highly expressed in liver with lower expression in heart, brain, lung, prostate and thyroid, hepcidin is thought to maintain iron homeostasis and, in conjunction with the HFE protein (a protein that is defective in hereditary hemochromatosis), may mediate both iron storage in macrophages and intestinal iron absorption. Additionally, hepcidin has strong antimicrobial activity against gram-positive and gram-negative bacteria, as well as certain yeast strains, suggesting that hepcidin may play a crucial role in staving off bacterial infections. Defects in the gene encoding hepcidin are the cause of hemochromatosis type 2B (also known as juvenile hemochromatosis), an early-onset autosomal recessive disorder that results in severe iron overload and is characterized by hepatic fibrosis, hypogonadotrophic hypogonadism and cardiomyopathy.

如果您使用该产品49534发表了文章,请通知我们,让我们可以引用您的文献。

et al,Vitamin D supplementation ameliorates anemia of inflammation by reducing hepcidin levels and inactivating inflammatory signaling pathways , (2025),
PMID: 40850189

注释

应用

  • WB免疫印迹
  • IHC免疫组化
  • IF免疫荧光
  • ICC免疫细胞化学
  • FC流式细胞
  • IP免疫沉淀
  • E酶联免疫吸附法
  • DB免疫斑点法
  • ChIP染色质免疫沉淀
  • GICA胶体金免疫层析法
  • NC阴性对照

种属反应性

  • Hu
  • Ms小鼠
  • Rt大鼠
  • Dm果蝇
  • C线虫
  • Mk
  • Rb
  • B
  • D
  • P
  • Hm仓鼠
  • ChHm中国仓鼠
  • Chk
;

联系我们

Location :

南京市高新开发区星火路10号人才大厦C座

Phone :

400-9961-933
025-58868422

Email Address

info@sabbiotech.com