免费电话:400-9961-933
邮箱:info@sabbiotech.com
欢迎光临本站
川博智能体 English
位置: 首页 > 重组兔单抗 > GPX4 Rabbit mAb

GPX4 Rabbit mAb#49731

是否有货: Yes
产品详情

产品名称GPX4 Rabbit mAb

克隆号JU11-31

来源种属Recombinant Rabbit

克隆性Monoclonal

纯化ProA affinity purified

应用WB,IHC

种属反应性Human;Mouse;Rat

免疫原描述Synthetic peptide within Human GPX4

标记Unconjugated

别名Glutathione peroxidase 4 antibody
GPX 4 antibody
GPX-4 antibody
GPX4 antibody
GPX4_HUMAN antibody
GSHPx-4 antibody
MCSP antibody
mitochondrial antibody
PHGPx antibody
Phospholipid hydroperoxidase antibody
Phospholipid hydroperoxide glutathione peroxidase antibody
Phospholipid hydroperoxide glutathione peroxidase mitochondrial antibody
snGPx antibody
snPHGPx antibody
Sperm nucleus glutathione peroxidase antibody

数据库入口号Swiss-Prot#:P36969

Uniprot P36969

计算分子量22 kDa Clone number: JU11-31

浓度1ug/ul

配方1*TBS (pH7.4), 0.05% BSA, 40% Glycerol. Preservative: 0.05% Sodium Azide.

保存Store at -20˚C

应用详情
WB 1:10000
IHC-P 1:1000-1:5000
Western blot analysis of GPX4 on different lysates with GPX4 antibody at 1/10,000 dilution
Lane 1: HeLa cell lysate (20 µg/Lane)
Lane 2: A549 cell lysate (20 µg/Lane)
Lane
Observed band size: 20 kDa
Exposure time: 2 minutes;
4-20% SDS-PAGE gel.
Western blot analysis of GPX4 on zebrafish tissue lysates with GPX4 antibody at 1/500 dilution.
Lysates/proteins at 10 µg/Lane.
Predicted band size: 22 kDa
Observed band size: 17 kDa
Exposure time: 2 minutes;
12% SDS-PAGE gel.
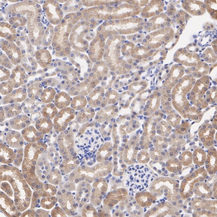
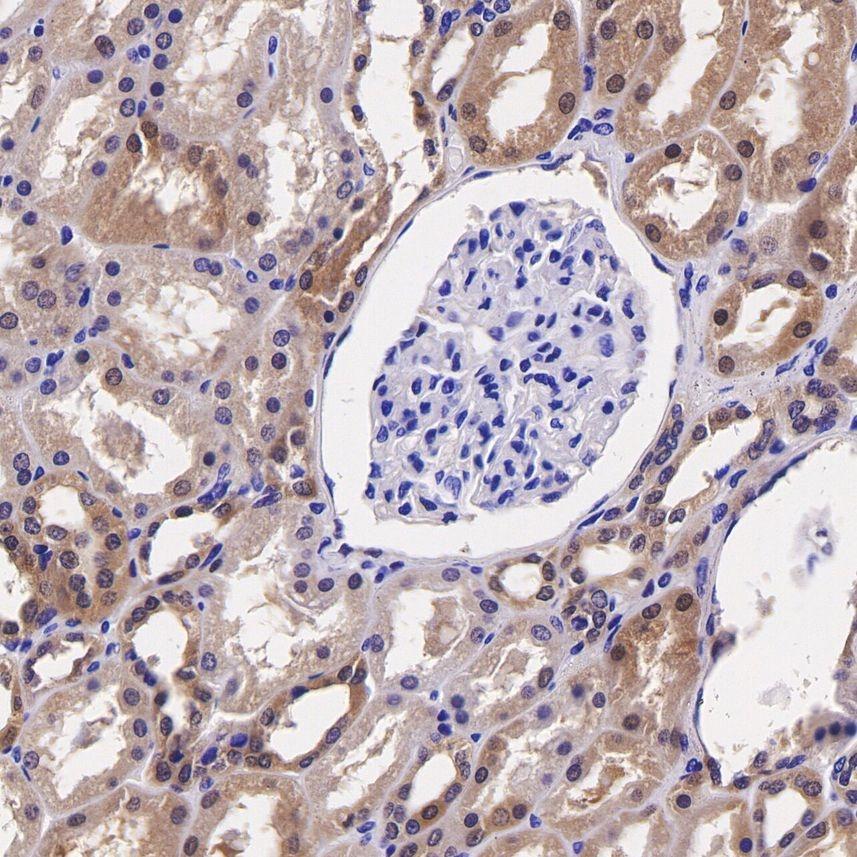
Immunohistochemical analysis of paraffin-embedded human kidney tissue with GPX4 antibody at 1/1,000 dilution.
Immunohistochemical analysis of paraffin-embedded mouse kidney tissue with GPX4 antibody at 1/1,000 dilution.
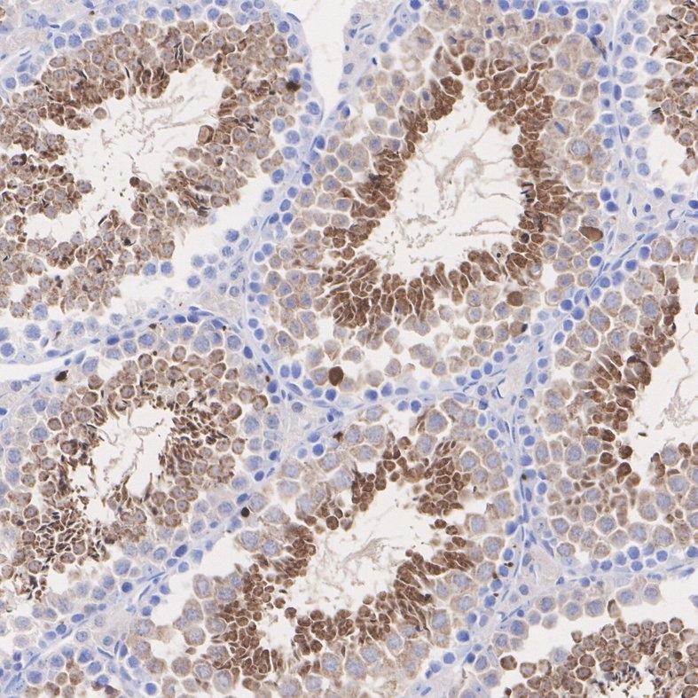
Immunohistochemical analysis of paraffin-embedded mouse testis tissue with GPX4 antibody at 1/5,000 dilution.

Glutathione peroxidase (GPx) enzymes are generally selenium-containing tetrameric glycoproteins that help prevent lipid peroxidation of cell membranes. GPx enzymes reduce lipid hydroperoxides to alcohols, and reduce free hydrogen peroxide to water. GPx members are among the few proteins known in higher vertebrates to contain selenocysteine, which occurs at the active site of glutathione peroxidase and is coded by the nonsense (stop) codon TGA. There are eight GPx homologs (GPx-1-8). GPx-1, Gpx-2 and Gpx-3 exist as homotetramers. Gpx-4 has a high tendancy to form high molecular weight oligomers.

如果您使用该产品49731发表了文章,请通知我们,让我们可以引用您的文献。

et al,Linoleic Acid–Glucosamine Hybrid for Endogenous Iron-Activated Ferroptosis Therapy in High-Grade Serous Ovarian Cancer. In Mol Pharm on 2022 Sep 5 by Ying Chen, Xiaoming Liao, et al..PMID:35939328 , (2022),
PMID: 35939328
et al,Classical prescription Daqinjiao decoction inhibit cerebral ischemia/reperfusion induced necroptosis and ferroptosis through multiple mechanisms. , (2025),
PMID: 39736347
et al,Polyethylene microplastics transported to nucleus pulposus cells via macrophages-derived exosomes, and promote intervertebral disc degeneration through … , (2025),
PMID: 41175705

注释

应用

  • WB免疫印迹
  • IHC免疫组化
  • IF免疫荧光
  • ICC免疫细胞化学
  • FC流式细胞
  • IP免疫沉淀
  • E酶联免疫吸附法
  • DB免疫斑点法
  • ChIP染色质免疫沉淀
  • GICA胶体金免疫层析法
  • NC阴性对照

种属反应性

  • Hu
  • Ms小鼠
  • Rt大鼠
  • Dm果蝇
  • C线虫
  • Mk
  • Rb
  • B
  • D
  • P
  • Hm仓鼠
  • ChHm中国仓鼠
  • Chk
;

联系我们

Location :

南京市高新开发区星火路10号人才大厦C座

Phone :

400-9961-933
025-58868422

Email Address

info@sabbiotech.com