免费电话:400-9961-933
邮箱:info@sabbiotech.com
欢迎光临本站
川博智能体 English
位置: 首页 > 重组兔单抗 > KDEL Rabbit mAb

KDEL Rabbit mAb#49864

是否有货: Yes
产品详情

产品名称KDEL Rabbit mAb

克隆号JB42-04

来源种属Recombinant Rabbit

克隆性 Monoclonal antibody

纯化ProA affinity purified

应用WB,ICC,IF,IHC,FC

种属反应性Human;Mouse;Rat

免疫原描述Recombinant protein

标记Unconjugated

别名ER lumen protein retaining receptor 1 antibody
ERD2.1 antibody
ERD21_HUMAN antibody
KDEL endoplasmic reticulum protein retention receptor 1 antibody
KDEL receptor 1 antibody
Kdelr1 antibody
Putative MAPK-activating protein PM23 antibody

数据库入口号Swiss-Prot#:P24390

Uniprot P24390

计算分子量24/17 kDa(Predicted band size)

配方1*TBS (pH7.4), 1%BSA, 40%Glycerol. Preservative: 0.05% Sodium Azide.

保存Store at -20˚C

应用详情
WB: 1:500-1:2000
IHC: 1:100-1:400
ICC: 1:400-1:800

FC: 1:50-1:100
Western blot analysis of KDEL on different lysates using anti-KDEL antibody at 1/1,000 dilution.
Positive control��
Lane 1: Rat testis tissue
Lane 2: Human placenta tissue
Lane 3: Mouse testis tissue
Lane 4: 293
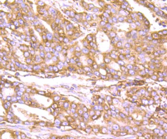
Immunohistochemical analysis of paraffin-embedded human placenta tissue using anti-KDEL antibody. Counter stained with hematoxylin.
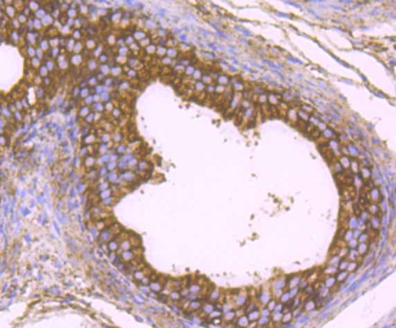
Immunohistochemical analysis of paraffin-embedded human stomach cancer tissue using anti-KDEL antibody. Counter stained with hematoxylin.
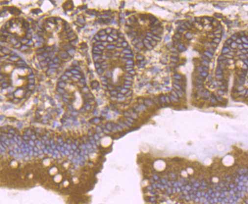
Immunohistochemical analysis of paraffin-embedded mouse small intestine tissue using anti-KDEL antibody. Counter stained with hematoxylin.
Immunohistochemical analysis of paraffin-embedded rat epididymis tissue using anti-KDEL antibody. Counter stained with hematoxylin.
ICC staining KDEL in A549 cells (green). The nuclear counter stain is DAPI (blue). Cells were fixed in paraformaldehyde, permeabilised with 0.25% Triton X100/PBS.
ICC staining KDEL in HepG2 cells (green). The nuclear counter stain is DAPI (blue). Cells were fixed in paraformaldehyde, permeabilised with 0.25% Triton X100/PBS.
ICC staining KDEL in 293T cells (green). The nuclear counter stain is DAPI (blue). Cells were fixed in paraformaldehyde, permeabilised with 0.25% Triton X100/PBS.
Flow cytometric analysis of HepG2 cells with KDEL antibody at 1/100 dilution (red) compared with an unlabelled control (cells without incubation with primary antibody; black). Alexa Fluor 488-conjugated goat anti rabbit IgG was used as the secondary antibody.
Soluble proteins in the endoplasmic reticulum (ER) contain a specific carboxy terminal sequence KDEL (Lys-Asp-Glu-Leu), and include the coat proteins required for vesicle budding from the ER, proteins that form retrograde vesicles on post-ER compartments, and integral membrane proteins that target vesicles to their correct destination. The retention of these soluble proteins in the ER depends on the interaction of the KDEL sequence with the corresponding KDEL receptor, also designated ERD2, in the Golgi apparatus. When KDEL proteins reach the Golgi complex, they are recognized by the KDEL receptor and transported retrograde in COPI-coated vesicles back to the ER. The small GTPase ADP-ribosylation factor 1 (ARF1), a regulator of vesicle transport, interacts with the KDEL receptor. Subsequently, this interaction allows the KDEL receptor to recruit a GTPase-activating protein (GAP) from the cytosol to membranes, which inactivates ARF1.

如果您使用该产品49864发表了文章,请通知我们,让我们可以引用您的文献。

et al,Artemisinin alleviates astrocyte overactivation and neuroinflammation by modulating the IRE1/NF-κB signaling pathway in in vitro and in vivo Alzheimer's disease models. , (2025),
PMID: 39826816

注释

应用

  • WB免疫印迹
  • IHC免疫组化
  • IF免疫荧光
  • ICC免疫细胞化学
  • FC流式细胞
  • IP免疫沉淀
  • E酶联免疫吸附法
  • DB免疫斑点法
  • ChIP染色质免疫沉淀
  • GICA胶体金免疫层析法
  • NC阴性对照

种属反应性

  • Hu
  • Ms小鼠
  • Rt大鼠
  • Dm果蝇
  • C线虫
  • Mk
  • Rb
  • B
  • D
  • P
  • Hm仓鼠
  • ChHm中国仓鼠
  • Chk
;

联系我们

Location :

南京市高新开发区星火路10号人才大厦C座

Phone :

400-9961-933
025-58868422

Email Address

info@sabbiotech.com